Suppr超能文献

肼屈嗪诱发的狼疮在伴有血管性水肿的心包炎背景下的罕见表现。

A Rare Presentation of Hydralazine-Induced Lupus in the Setting of Pericarditis With Concomitant Angioedema.

作者信息

Everett Scott C, Ananth Deepasri, Alejo Andrew L, Shaub Timothy, Gan Jonathan

机构信息

College of Medicine, Northeast Ohio Medical University, Rootstown, USA.

Internal Medicine, Summa Health, Akron, USA.

出版信息

Cureus. 2023 May 1;15(5):e38376. doi: 10.7759/cureus.38376. eCollection 2023 May.

Abstract

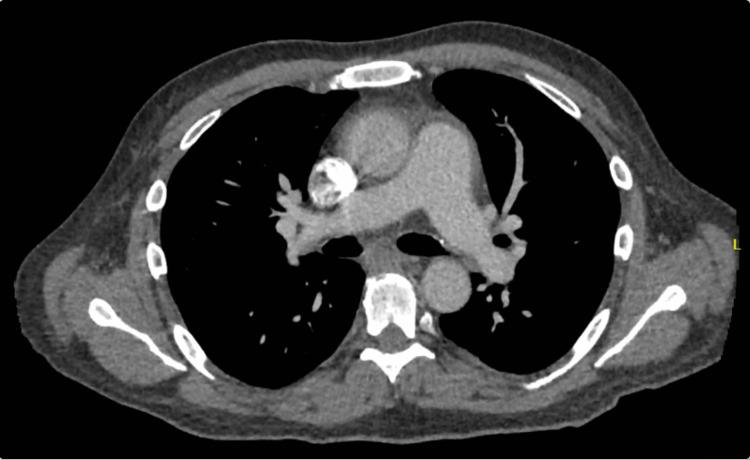
Drug-induced lupus (DIL) usually presents after starting a medication known to induce DIL. However unusual presentations are rare, as such, our patient presented with initial signs and symptoms of pericarditis. Once treated as such, he progressively declined to symptoms of angioedema and worsening cardiopulmonary status. On first admission, the patient presented with chest pain that was worsened by laying down and improved by sitting up. CT Angiography (CTA) showed mild pericardial effusion, and EKG showed diffuse ST elevation, both suggestive of pericarditis, for which the patient was discharged on colchicine. The patient was readmitted one day later with swelling of the neck and tongue. The patient was re-evaluated, tested for autoantibodies, and found a positive antinuclear antibody (ANA) suggesting a diagnosis of lupus, most likely due to hydralazine. We report a rare presentation of drug-induced lupus initially presenting with pericarditis which evolved into worsening angioedema which has not been reported in the literature thus far. Pericarditis and angioedema may be the initial presentation for a patient with drug-induced lupus. Antinuclear and anti-histone antibodies are highly sensitive and specific respectfully for drug-induced lupus. Early diagnosis and time-appropriate discontinuation of the offending agent for patients can be life-saving.

摘要

药物性狼疮(DIL)通常在开始使用已知可诱发DIL的药物后出现。然而,不寻常的表现很少见,因此,我们的患者最初表现为心包炎的体征和症状。在按此进行治疗后,他的病情逐渐发展为血管性水肿症状,心肺状况也不断恶化。首次入院时,患者出现胸痛,躺下时加重,坐起时缓解。CT血管造影(CTA)显示轻度心包积液,心电图显示广泛ST段抬高,两者均提示心包炎,患者因此出院时服用秋水仙碱。一天后患者再次入院,出现颈部和舌头肿胀。对患者进行了重新评估,检测了自身抗体,发现抗核抗体(ANA)呈阳性,提示狼疮诊断,很可能是由肼屈嗪引起的。我们报告了一例罕见的药物性狼疮病例,最初表现为心包炎,随后发展为不断加重的血管性水肿,迄今为止文献中尚未有过此类报道。心包炎和血管性水肿可能是药物性狼疮患者的初始表现。抗核抗体和抗组蛋白抗体分别对药物性狼疮具有高度敏感性和特异性。对患者进行早期诊断并及时停用致病药物可能会挽救生命。

https://cdn.ncbi.nlm.nih.gov/pmc/blobs/7dee/10230843/dd5d56ccbfe5/cureus-0015-00000038376-i01.jpg

文献AI研究员

20分钟写一篇综述,助力文献阅读效率提升50倍。

立即体验

用中文搜PubMed

大模型驱动的PubMed中文搜索引擎

马上搜索

文档翻译

学术文献翻译模型,支持多种主流文档格式。

立即体验