• 文献检索
  • 文档翻译
  • 深度研究
  • 学术资讯
  • Suppr Zotero 插件Zotero 插件
  • 邀请有礼
  • 套餐&价格
  • 历史记录
应用&插件
Suppr Zotero 插件Zotero 插件浏览器插件Mac 客户端Windows 客户端微信小程序
定价
高级版会员购买积分包购买API积分包
服务
文献检索文档翻译深度研究API 文档MCP 服务
关于我们
关于 Suppr公司介绍联系我们用户协议隐私条款
关注我们

Suppr 超能文献

核心技术专利:CN118964589B侵权必究
粤ICP备2023148730 号-1Suppr @ 2026

文献检索

告别复杂PubMed语法,用中文像聊天一样搜索,搜遍4000万医学文献。AI智能推荐,让科研检索更轻松。

立即免费搜索

文件翻译

保留排版,准确专业,支持PDF/Word/PPT等文件格式,支持 12+语言互译。

免费翻译文档

深度研究

AI帮你快速写综述,25分钟生成高质量综述,智能提取关键信息,辅助科研写作。

立即免费体验

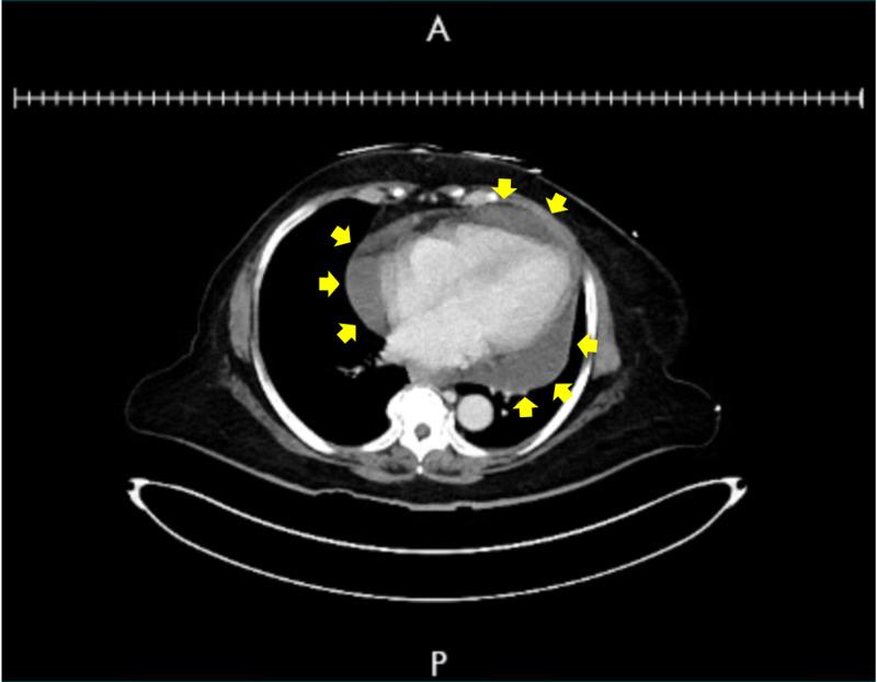
以大量心包积液为表现的肼屈嗪诱发的狼疮综合征。

Hydralazine-Induced Lupus Syndrome Manifesting as Large Pericardial Effusion.

作者信息

Wilson Nathaniel R, Chauhan Siddharth, Aisenberg Gabriel

机构信息

Internal Medicine, University of Texas Health Science Center at Houston, Houston, USA.

出版信息

Cureus. 2020 Aug 19;12(8):e9867. doi: 10.7759/cureus.9867.

DOI:10.7759/cureus.9867
PMID:32963908
原文链接:https://pmc.ncbi.nlm.nih.gov/articles/PMC7500742/
Abstract

Hydralazine-induced lupus syndrome (HILS) is a rare clinical entity with variable manifestations. Pericardial involvement is an uncommon but serious manifestation of the condition. In this report, we present a case of large symptomatic pericardial effusion secondary to HILS. We highlight the important considerations in the evaluation and management of this rare syndrome. HILS should be considered in the differential diagnosis for cardiac tamponade of otherwise unclear etiology in patients taking 100 mg daily or more of hydralazine for longer than three months. A temporal association between the offending drug and presenting symptoms, resolution of symptoms upon discontinuation, and a positive anti-histone antibody test can all support the diagnosis of this syndrome.

摘要

肼屈嗪诱发的狼疮综合征(HILS)是一种临床表现多样的罕见临床病症。心包受累是该病症一种不常见但严重的表现。在本报告中,我们呈现了一例继发于HILS的大量有症状心包积液病例。我们强调了对这一罕见综合征进行评估和管理时的重要注意事项。对于服用每日100毫克或更多肼屈嗪超过三个月、病因不明的心源性心包填塞患者,鉴别诊断时应考虑HILS。致病药物与出现症状之间的时间关联、停药后症状缓解以及抗组蛋白抗体检测呈阳性均有助于支持该综合征的诊断。

https://cdn.ncbi.nlm.nih.gov/pmc/blobs/ec31/7500742/b2a0cf5d7dc4/cureus-0012-00000009867-i03.jpg
https://cdn.ncbi.nlm.nih.gov/pmc/blobs/ec31/7500742/fe2f9463458c/cureus-0012-00000009867-i01.jpg
https://cdn.ncbi.nlm.nih.gov/pmc/blobs/ec31/7500742/13531788e05f/cureus-0012-00000009867-i02.jpg
https://cdn.ncbi.nlm.nih.gov/pmc/blobs/ec31/7500742/b2a0cf5d7dc4/cureus-0012-00000009867-i03.jpg
https://cdn.ncbi.nlm.nih.gov/pmc/blobs/ec31/7500742/fe2f9463458c/cureus-0012-00000009867-i01.jpg
https://cdn.ncbi.nlm.nih.gov/pmc/blobs/ec31/7500742/13531788e05f/cureus-0012-00000009867-i02.jpg
https://cdn.ncbi.nlm.nih.gov/pmc/blobs/ec31/7500742/b2a0cf5d7dc4/cureus-0012-00000009867-i03.jpg

相似文献

1
Hydralazine-Induced Lupus Syndrome Manifesting as Large Pericardial Effusion.以大量心包积液为表现的肼屈嗪诱发的狼疮综合征。
Cureus. 2020 Aug 19;12(8):e9867. doi: 10.7759/cureus.9867.
2
A Case of Seronegative ANA Hydralazine-Induced Lupus Presenting With Pericardial Effusion and Pleural Effusion.1例血清阴性抗核抗体(ANA)肼屈嗪诱导的狼疮伴心包积液和胸腔积液
Cureus. 2020 Aug 18;12(8):e9831. doi: 10.7759/cureus.9831.
3
Hydralazine Induced Lupus Syndrome Presenting with Recurrent Pericardial Effusion and a Negative Antinuclear Antibody.以复发性心包积液和抗核抗体阴性为表现的肼屈嗪诱发的狼疮综合征
Case Rep Rheumatol. 2017;2017:5245904. doi: 10.1155/2017/5245904. Epub 2017 Jan 17.
4
Antinuclear antibody-negative lupus? An ominous presentation of hydralazine-induced lupus syndrome.抗核抗体阴性的狼疮?肼屈嗪诱发的狼疮综合征的一种不祥表现。
Eur J Rheumatol. 2018 Dec;5(4):272-274. doi: 10.5152/eurjrheum.2018.18040. Epub 2018 Jun 20.
5
Hydralazine-induced pericardial effusion.肼屈嗪诱发的心包积液。
Proc (Bayl Univ Med Cent). 2019 Jun 10;32(3):377-378. doi: 10.1080/08998280.2019.1613331. eCollection 2019 Jul.
6
Pericardial tamponade: a major presenting manifestation of hydralazine-induced lupus syndrome.
Am J Med. 1973 Jan;54(1):84-7. doi: 10.1016/0002-9343(73)90086-7.
7
A Rare Presentation of Hydralazine-Induced Lupus in the Setting of Pericarditis With Concomitant Angioedema.肼屈嗪诱发的狼疮在伴有血管性水肿的心包炎背景下的罕见表现。
Cureus. 2023 May 1;15(5):e38376. doi: 10.7759/cureus.38376. eCollection 2023 May.
8
ANA-Negative Hydralazine-Induced Pericardial Effusion.抗核抗体阴性的肼屈嗪诱发的心包积液
Case Rep Med. 2017;2017:3521541. doi: 10.1155/2017/3521541. Epub 2017 Dec 17.
9
Acute low-dose hydralazine induced lupus syndrome (HILS).急性小剂量肼苯哒嗪诱发的狼疮综合征(HILS)。
J Natl Med Assoc. 1981 Mar;73(3):278-80.
10
Hydralazine-associated vasculitis: Overlapping features of drug-induced lupus and vasculitis.肼屈嗪相关性血管炎:药物诱导性狼疮和血管炎的重叠表现。
Semin Arthritis Rheum. 2018 Oct;48(2):283-287. doi: 10.1016/j.semarthrit.2018.01.005. Epub 2018 Jan 12.

引用本文的文献

1
Risk of drug-induced pericardial effusion: a disproportionality analysis of the FAERS database.药物性心包积液的风险:对FDA不良事件报告系统(FAERS)数据库的不成比例性分析
BMC Pharmacol Toxicol. 2025 Feb 7;26(1):27. doi: 10.1186/s40360-025-00867-6.

本文引用的文献

1
ANA-Negative Hydralazine-Induced Pericardial Effusion.抗核抗体阴性的肼屈嗪诱发的心包积液
Case Rep Med. 2017;2017:3521541. doi: 10.1155/2017/3521541. Epub 2017 Dec 17.
2
Hydralazine Induced Lupus Syndrome Presenting with Recurrent Pericardial Effusion and a Negative Antinuclear Antibody.以复发性心包积液和抗核抗体阴性为表现的肼屈嗪诱发的狼疮综合征
Case Rep Rheumatol. 2017;2017:5245904. doi: 10.1155/2017/5245904. Epub 2017 Jan 17.
3
Hydralazine-induced lupus syndrome presenting with large pericardial effusion.肼屈嗪诱发的狼疮综合征伴大量心包积液。
QJM. 2014 Apr;107(4):305-7. doi: 10.1093/qjmed/hct223. Epub 2013 Nov 5.
4
Hydralazine-induced lupus erythematosis.肼屈嗪诱发的红斑狼疮
J Clin Hypertens (Greenwich). 2012 Feb;14(2):133-136. doi: 10.1111/j.1751-7176.2011.00573.x. Epub 2011 Dec 9.
5
Drug-induced lupus.药物性狼疮。
Ann N Y Acad Sci. 2007 Jun;1108:166-82. doi: 10.1196/annals.1422.019.
6
Cardiac tamponade in hydrallazine-induced systemic lupus erythematosus.
Aust N Z J Med. 1982 Oct;12(5):546-7. doi: 10.1111/j.1445-5994.1982.tb03845.x.
7
The lupus syndrome induced by hydralazine: a common complication with low dose treatment.肼屈嗪诱发的狼疮综合征:低剂量治疗时的常见并发症。
Br Med J (Clin Res Ed). 1984 Aug 18;289(6442):410-2. doi: 10.1136/bmj.289.6442.410.
8
Pericardial tamponade: a major presenting manifestation of hydralazine-induced lupus syndrome.
Am J Med. 1973 Jan;54(1):84-7. doi: 10.1016/0002-9343(73)90086-7.
9
The diagnostic value of antihistone antibodies in drug-induced lupus erythematosus.抗组蛋白抗体在药物性红斑狼疮中的诊断价值。
Arthritis Rheum. 1985 Feb;28(2):158-62. doi: 10.1002/art.1780280209.
10
Cardiac tamponade, associated with hydralazine therapy, in a patient with rapid acetylator status.
Br J Clin Pract. 1986 Jul;40(7):305-6.