Suppr超能文献

1例血清阴性抗核抗体(ANA)肼屈嗪诱导的狼疮伴心包积液和胸腔积液

A Case of Seronegative ANA Hydralazine-Induced Lupus Presenting With Pericardial Effusion and Pleural Effusion.

作者信息

Elkholy Karim O, Akhtar Hamza, Chakraborti Abishek

机构信息

Internal Medicine, Brookdale University Hospital Medical Center, New York, USA.

出版信息

Cureus. 2020 Aug 18;12(8):e9831. doi: 10.7759/cureus.9831.

Abstract

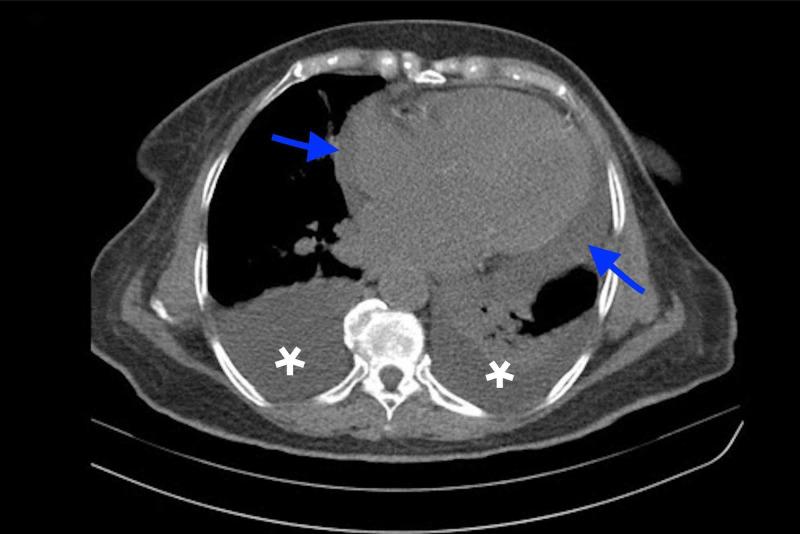
Hydralazine induced lupus syndrome (HILS), a form of Drug-Induced Lupus (DIL), was first reported in 1953. Since then, studies have shown an increasing incidence of HILS. It presents with lupus-like symptoms such as arthralgia, fever, chest pain, anorexia, fatigue, petechiae, and rash. Though rare, HILS may initially present with pericardial effusion. Lab findings of HILS usually show positive anti-nuclear antibody (ANA) in >95% of cases, antihistone abs in >95% of cases, rheumatoid factor ab in 20%, and anti-double-strand DNA in <5%. Herein we present a case of HILS which initially presented with a seronegative ANA and pericardial effusion. An 82-year-old woman who presented with shortness of breath was found to have bilateral pleural effusion and pericardial effusion. Common etiologies of pericardial effusion have been ruled out, after careful review of her home medications, hydralazine was suspected to be the culprit of her pericardial effusion. Initial ANA testing was negative, however given high clinical suspicion autoimmune disease screening was done revealing positive anti-histone antibodies. Hydralazine was deemed to be the etiology of her pericardial effusion which led to the discontinuation of the drug. Serial echocardiography revealed no recurrence of the effusion.

摘要

肼屈嗪诱发的狼疮综合征(HILS)是药物性狼疮(DIL)的一种形式,于1953年首次报道。从那时起,研究表明HILS的发病率在不断上升。它表现出类似狼疮的症状,如关节痛、发热、胸痛、厌食、疲劳、瘀点和皮疹。虽然罕见,但HILS最初可能表现为心包积液。HILS的实验室检查结果通常显示,超过95%的病例抗核抗体(ANA)呈阳性,超过95%的病例抗组蛋白抗体呈阳性,20%的病例类风湿因子抗体呈阳性,不到5%的病例抗双链DNA呈阳性。在此,我们报告一例最初表现为ANA血清阴性和心包积液的HILS病例。一名82岁出现呼吸急促的女性被发现有双侧胸腔积液和心包积液。在仔细检查其家庭用药后,排除了心包积液的常见病因,怀疑肼屈嗪是其心包积液的罪魁祸首。最初的ANA检测为阴性,但鉴于高度临床怀疑,进行了自身免疫性疾病筛查,结果显示抗组蛋白抗体呈阳性。肼屈嗪被认为是其心包积液的病因,导致停用该药物。系列超声心动图显示积液未复发。

https://cdn.ncbi.nlm.nih.gov/pmc/blobs/eb7b/7495962/a328dfb2c755/cureus-0012-00000009831-i01.jpg

文献检索

告别复杂PubMed语法,用中文像聊天一样搜索,搜遍4000万医学文献。AI智能推荐,让科研检索更轻松。

立即免费搜索

文件翻译

保留排版,准确专业,支持PDF/Word/PPT等文件格式,支持 12+语言互译。

免费翻译文档

深度研究

AI帮你快速写综述,25分钟生成高质量综述,智能提取关键信息,辅助科研写作。

立即免费体验