Suppr超能文献

原发性精囊腺癌合并精囊囊肿病史:一例报告并文献复习

Primary seminal vesicle adenocarcinoma with a history of seminal vesicle cyst: A case report and review of literature.

作者信息

Yao Yu, Liu Shuai, He Yu-Lu, Luo Lei, Zhang Gui-Ming

机构信息

Department of Urology, The Affiliated Hospital of Qingdao University, Qingdao 266003, Shandong Province, China.

Department of Pathology, The Affiliated Hospital of Qingdao University, Qingdao 266003, Shandong Province, China.

出版信息

World J Clin Cases. 2023 May 16;11(14):3261-3266. doi: 10.12998/wjcc.v11.i14.3261.

Abstract

BACKGROUND

Primary seminal vesicle adenocarcinoma is a rare malignancy that is difficult to diagnose.

CASE SUMMARY

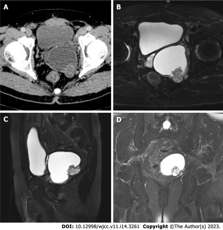
A 54-year-old man with an 18-year history of a seminal vesicle cyst presented with worsening hematospermia that had persisted for one month. Dynamic contrast-enhanced computed tomography and pelvic magnetic resonance imaging indicated a mass with a cystic-solid component. Robot-assisted seminal vesicle tumor resection was performed, and primary seminal vesicle adenocarcinoma was confirmed pathologically. The patient received pelvic radiotherapy for six weeks, and to date, no evidence of recurrence has been found.

CONCLUSION

Seminal vesicle cysts should be monitored long-term. Seminal vesicle adenocarcinoma presents with non-specific symptoms and can be diagnosed by immunohistochemistry.

摘要

背景

原发性精囊腺癌是一种罕见的恶性肿瘤,难以诊断。

病例摘要

一名有18年精囊囊肿病史的54岁男性,出现持续1个月的血精加重症状。动态对比增强计算机断层扫描和盆腔磁共振成像显示有一个囊实性成分的肿块。实施了机器人辅助精囊肿瘤切除术,病理证实为原发性精囊腺癌。患者接受了为期六周的盆腔放疗,迄今为止,未发现复发迹象。

结论

精囊囊肿应长期监测。精囊腺癌表现为非特异性症状,可通过免疫组织化学进行诊断。

https://cdn.ncbi.nlm.nih.gov/pmc/blobs/0e53/10237120/4f61a21ac635/WJCC-11-3261-g001.jpg

文献AI研究员

20分钟写一篇综述,助力文献阅读效率提升50倍。

立即体验

用中文搜PubMed

大模型驱动的PubMed中文搜索引擎

马上搜索

文档翻译

学术文献翻译模型,支持多种主流文档格式。

立即体验