Suppr超能文献

复杂病例中失败的下腔静脉滤器取出术的管理:病例系列

Management of failed inferior vena cava filter retrieval for complex cases: A case series.

作者信息

Kwok Po Lam, Shiu Wai Hung Lester, Tang Yip Kan Kendrick, Leung Kam Wing

机构信息

Department of Radiology, Pamela Youde Nethersole Eastern Hospital, Chai Wan, Hong Kong.

出版信息

J Clin Imaging Sci. 2023 May 19;13:14. doi: 10.25259/JCIS_30_2023. eCollection 2023.

Abstract

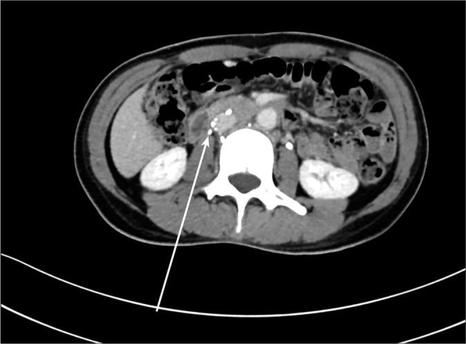
The aim of this report is to describe our experience in managing cases of difficult inferior vena cava (IVC) filter retrieval with emphasis on different advanced retrieval techniques. We report three cases of difficult IVC filter retrieval at our institution. We included three patients age ranging from 42 to 72 years. Two of the cases were presenting with the lower limb deep vein thrombosis and one of the cases had pulmonary embolism and they all had Retrievable Celect Platinum IVC filter (Cook Medical, Bloomington, Ind.) inserted preoperatively. One case was managed conservatively after failing IVC filter retrieval using standard retrieval set, meaning the filter was left in place, one was successfully removed with advanced endovascular retrieval techniques, and one failing advanced endovascular retrieval and finally had it removed with open surgery. We reviewed the risk factors contributing to difficult IVC filter retrieval and discussed the different options for managing these cases including conservative management, endovascular treatment, and open surgery for retrievable type of IVC filter which can be placed permanently. Knowledge of these options will help us better understand conditions, leading to difficult IVC retrieval on insertion, hopefully to minimize the occurrence of these cases, and to better manage cases with difficult IVC filter retrieval to decide the best option for each patient after careful consideration and multidisciplinary discussion with surgeons and patients.

摘要

本报告旨在描述我们在处理下腔静脉(IVC)滤器取出困难病例方面的经验,重点是不同的先进取出技术。我们报告了本院三例IVC滤器取出困难的病例。我们纳入了三名年龄在42岁至72岁之间的患者。其中两例患者表现为下肢深静脉血栓形成,一例患有肺栓塞,他们均在术前植入了可回收的Celect Platinum IVC滤器(库克医疗公司,印第安纳州布卢明顿)。一例在使用标准取出套件进行IVC滤器取出失败后采取了保守治疗,即滤器留在原位;一例通过先进的血管内取出技术成功取出;一例先进的血管内取出失败,最终通过开放手术取出。我们回顾了导致IVC滤器取出困难的危险因素,并讨论了处理这些病例的不同选择,包括保守治疗、血管内治疗以及对于可永久放置的可回收型IVC滤器的开放手术。了解这些选择将有助于我们更好地理解导致IVC取出困难的情况,有望尽量减少这些病例的发生,并更好地处理IVC滤器取出困难的病例,以便在与外科医生和患者进行仔细考虑和多学科讨论后为每位患者确定最佳选择。

https://cdn.ncbi.nlm.nih.gov/pmc/blobs/5ced/10246343/e782d71d8f72/JCIS-13-14-g001.jpg

文献AI研究员

20分钟写一篇综述,助力文献阅读效率提升50倍。

立即体验

用中文搜PubMed

大模型驱动的PubMed中文搜索引擎

马上搜索

文档翻译

学术文献翻译模型,支持多种主流文档格式。

立即体验