• 文献检索
  • 文档翻译
  • 深度研究
  • 学术资讯
  • Suppr Zotero 插件Zotero 插件
  • 邀请有礼
  • 套餐&价格
  • 历史记录
应用&插件
Suppr Zotero 插件Zotero 插件浏览器插件Mac 客户端Windows 客户端微信小程序
定价
高级版会员购买积分包购买API积分包
服务
文献检索文档翻译深度研究API 文档MCP 服务
关于我们
关于 Suppr公司介绍联系我们用户协议隐私条款
关注我们

Suppr 超能文献

核心技术专利:CN118964589B侵权必究
粤ICP备2023148730 号-1Suppr @ 2026

文献检索

告别复杂PubMed语法,用中文像聊天一样搜索,搜遍4000万医学文献。AI智能推荐,让科研检索更轻松。

立即免费搜索

文件翻译

保留排版,准确专业,支持PDF/Word/PPT等文件格式,支持 12+语言互译。

免费翻译文档

深度研究

AI帮你快速写综述,25分钟生成高质量综述,智能提取关键信息,辅助科研写作。

立即免费体验

免疫功能正常成人的大脑炎和感染性心内膜炎:一种罕见的临床表现

Cerebritis and Infective Endocarditis in an Immunocompetent Adult: A Rare Clinical Manifestation.

作者信息

Mohan Shalini A, Sufyaan Zharif

机构信息

Department of Internal Medicine, Ampang Hospital, Ampang, Selangor, Malaysia.

出版信息

Case Rep Infect Dis. 2023 May 22;2023:7405556. doi: 10.1155/2023/7405556. eCollection 2023.

DOI:10.1155/2023/7405556
PMID:37293523
原文链接:https://pmc.ncbi.nlm.nih.gov/articles/PMC10247318/
Abstract

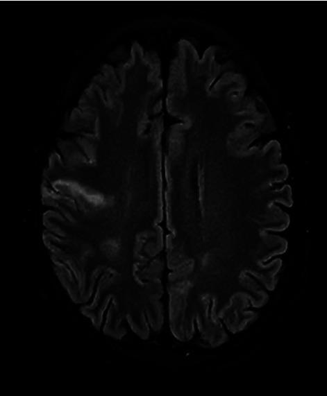
Cerebritis and infective endocarditis caused by are very rare. A 56-year-old man presented with slurring of speech and generalized body weakness of 1 week duration. He did not have any past medical history. On systemic examination, he had mild slurring of speech and facial asymmetry and was initially treated for multifocal chronic cerebral infarcts. was isolated from blood culture on day 5 of admission. A diagnosis of neurolisteriosis was made as contrast-enhanced-computed tomography (CECT) of the brain showed right frontal cerebritis. He was treated with intravenous benzyl penicillin. His general condition was improving until day 13 of hospitalization whereby he developed haemoptysis and severe Type 1 respiratory failure requiring reintubation. An urgent transthoracic echocardiogram revealed a large vegetation at the anterior mitral valve leaflet measuring 2.01 cm. No active arterial bleeding was seen on computed tomography angiography (CTA) of the thorax. Magnetic resonance imaging (MRI) of the brain showed evidence of right frontal cerebritis. He continued to deteriorate and succumbed to his illness after 3 weeks of hospitalization. Clinicians should be aware of such an occurrence and prompt recognition and adequate treatment are necessary in cases of cerebritis and infective endocarditis as both are deadly entities.

摘要

由[病原体未提及]引起的脑脊髓炎和感染性心内膜炎非常罕见。一名56岁男性出现言语不清和全身乏力,持续1周。他既往无任何病史。全身检查时,他有轻度言语不清和面部不对称,最初被诊断为多灶性慢性脑梗死并接受治疗。入院第5天血培养分离出[病原体未提及]。脑部增强计算机断层扫描(CECT)显示右额叶脑脊髓炎,从而诊断为神经李斯特菌病。他接受了静脉注射苄星青霉素治疗。直到住院第13天,他的一般状况一直在改善,然而此时他出现咯血和严重的1型呼吸衰竭,需要重新插管。紧急经胸超声心动图显示二尖瓣前叶有一个2.01厘米的大赘生物。胸部计算机断层血管造影(CTA)未发现活动性动脉出血。脑部磁共振成像(MRI)显示右额叶脑脊髓炎的迹象。他的病情继续恶化,住院3周后死亡。临床医生应意识到这种情况的发生,对于脑脊髓炎和感染性心内膜炎病例,及时识别和充分治疗是必要的,因为这两种情况都是致命的。

https://cdn.ncbi.nlm.nih.gov/pmc/blobs/3dd5/10247318/41086fd864a2/CRIID2023-7405556.001.jpg
https://cdn.ncbi.nlm.nih.gov/pmc/blobs/3dd5/10247318/41086fd864a2/CRIID2023-7405556.001.jpg
https://cdn.ncbi.nlm.nih.gov/pmc/blobs/3dd5/10247318/41086fd864a2/CRIID2023-7405556.001.jpg

相似文献

1
Cerebritis and Infective Endocarditis in an Immunocompetent Adult: A Rare Clinical Manifestation.免疫功能正常成人的大脑炎和感染性心内膜炎:一种罕见的临床表现
Case Rep Infect Dis. 2023 May 22;2023:7405556. doi: 10.1155/2023/7405556. eCollection 2023.
2
Listeria Bacteremia Presenting With Cerebral Abscess and Endocarditis in an Elderly Patient With Chronic Immune Thrombocytopenia.一名患有慢性免疫性血小板减少症的老年患者出现伴有脑脓肿和心内膜炎的李斯特菌血症
Cureus. 2021 Jul 24;13(7):e16601. doi: 10.7759/cureus.16601. eCollection 2021 Jul.
3
Severe invasive rhombencephalitis mimicking facial neuritis in a healthy middle-aged man: a case report and literature review.健康中年男性中酷似面神经炎的严重侵袭性脑桥脑炎:病例报告及文献复习。
J Int Med Res. 2021 Jan;49(1):300060520982653. doi: 10.1177/0300060520982653.
4
infective endocarditis in a man with mitral stenosis: A case report and review of the literature.一名二尖瓣狭窄男性患者的感染性心内膜炎:病例报告及文献复习
World J Clin Cases. 2022 Oct 16;10(29):10670-10680. doi: 10.12998/wjcc.v10.i29.10670.
5
Delayed patch repair of a ruptured mitral subvalvular pseudoaneurysm caused by infective endocarditis: a case report.感染性心内膜炎所致二尖瓣瓣下假性动脉瘤破裂的延迟修补术:一例报告
Eur Heart J Case Rep. 2020 Jun 17;4(4):1-6. doi: 10.1093/ehjcr/ytaa150. eCollection 2020 Aug.
6
Invasive Listeriosis of Intracardiac Device.心脏内装置的侵袭性李斯特菌病
Case Rep Med. 2018 Apr 17;2018:1309037. doi: 10.1155/2018/1309037. eCollection 2018.
7
Infective Endocarditis Leading to Intracranial Abscess: A Case Report and Literature Review.感染性心内膜炎导致颅内脓肿:一例报告及文献综述
Cureus. 2021 Jan 12;13(1):e12660. doi: 10.7759/cureus.12660.
8
Atypical case of infective endocarditis.非典型感染性心内膜炎病例。
BMJ Case Rep. 2023 May 5;16(5):e254195. doi: 10.1136/bcr-2022-254195.
9
Listeria endocarditis with acute thoracoabdominal aortic dissection.
Intern Med. 2007;46(15):1209-12. doi: 10.2169/internalmedicine.46.6247. Epub 2007 Aug 2.
10
Lower extremity mycotic aneurysm in a patient with - associated prosthetic valve endocarditis.一名患有与人工瓣膜心内膜炎相关疾病患者的下肢霉菌性动脉瘤。
JMM Case Rep. 2017 May 9;4(5):e005095. doi: 10.1099/jmmcr.0.005095. eCollection 2017 May.

引用本文的文献

1
Two Cases of -Induced Infective Endocarditis.两例[具体病因未明确,原文缺失相关信息]-诱发的感染性心内膜炎。
Infect Drug Resist. 2024 Oct 21;17:4567-4575. doi: 10.2147/IDR.S473359. eCollection 2024.
2
Infective Endocarditis by Species-A Systematic Review.按物种分类的感染性心内膜炎——一项系统综述
J Clin Med. 2024 Oct 2;13(19):5887. doi: 10.3390/jcm13195887.
3
Imaging modalities in neurolisteriosis: a literature review.神经李斯特菌病的影像学检查方法:文献综述

本文引用的文献

1
Pathogenicity and virulence of : A trip from environmental to medical microbiology.从环境微生物学到医学微生物学的致病与毒力之旅。
Virulence. 2021 Dec;12(1):2509-2545. doi: 10.1080/21505594.2021.1975526.
2
Clinical features and prognostic factors of listeriosis: the MONALISA national prospective cohort study.李斯特菌病的临床特征和预后因素:MONALISA 全国前瞻性队列研究。
Lancet Infect Dis. 2017 May;17(5):510-519. doi: 10.1016/S1473-3099(16)30521-7. Epub 2017 Jan 28.
3
Prosthetic valve endocarditis due to Listeria monocytogenes. Report of two cases and reviews.
Pol J Radiol. 2024 Jul 19;89:e345-e357. doi: 10.5114/pjr/189214. eCollection 2024.
由单核细胞增生李斯特菌引起的人工瓣膜心内膜炎。两例报告及文献复习。
Int J Infect Dis. 2004 Mar;8(2):97-102. doi: 10.1016/j.ijid.2003.06.002.
4
Multiple cerebral abscesses because of Listeria monocytogenes: three case reports and a literature review of supratentorial listerial brain abscess(es).因单核细胞增生李斯特菌引起的多发性脑脓肿:三例报告及幕上李斯特菌脑脓肿的文献综述
Surg Neurol. 2003 Apr;59(4):320-8. doi: 10.1016/s0090-3019(03)00056-9.
5
Evidence for intraaxonal spread of Listeria monocytogenes from the periphery to the central nervous system.单核细胞增生李斯特菌从外周向中枢神经系统轴突内扩散的证据。
Brain Pathol. 2001 Oct;11(4):432-8. doi: 10.1111/j.1750-3639.2001.tb00411.x.
6
Listeria endocarditis causing aortic root abscess and a fistula to the left atrium.李斯特菌性心内膜炎导致主动脉根部脓肿及与左心房形成瘘管。
Scott Med J. 1999 Aug;44(4):117-8. doi: 10.1177/003693309904400408.
7
Listeria monocytogenes endocarditis in a patient with an aortic prosthetic valve.一名患有主动脉人工瓣膜的患者发生单核细胞增生李斯特菌性心内膜炎。
Neth J Med. 1996 Jan;48(1):15-7. doi: 10.1016/0300-2977(95)00046-1.
8
Listeria monocytogenes cerebritis, bacteremia, and cutaneous lesions complicating hairy cell leukemia.
Am J Med. 1986 Dec;81(6):1068-72. doi: 10.1016/0002-9343(86)90410-9.
9
CT features of early Listeria monocytogenes cerebritis.早期单核细胞增生李斯特菌性脑炎的CT特征
AJNR Am J Neuroradiol. 1987 Mar-Apr;8(2):279-82.
10
Brain abscess due to Listeria monocytogenes: case report and literature review.
Rev Infect Dis. 1986 Nov-Dec;8(6):968-77. doi: 10.1093/clinids/8.6.968.