Programa de Biología Celular y Molecular, Instituto de Ciencias Biomédicas, Facultad de Medicina, Universidad de Chile, Santiago 8380453, Chile.
Centro de Oncología de Precisión (COP), Facultad de Medicina y Ciencias de la Salud, Universidad Mayor, Santiago 7560908, Chile.
Int J Mol Sci. 2023 May 30;24(11):9472. doi: 10.3390/ijms24119472.
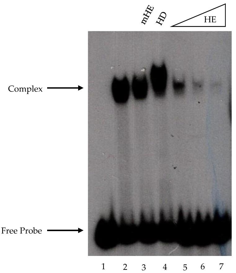
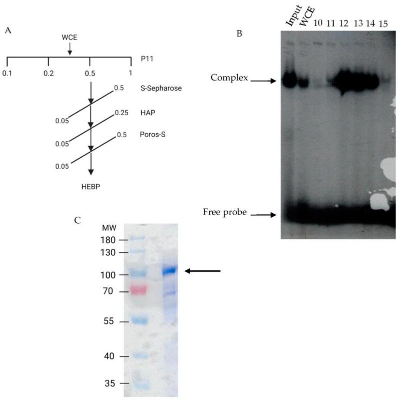
Fission yeast ribosomal protein genes (RPGs) contain a HomolD box as a core promoter element required for transcription. Some of the RPGs also contain a consensus sequence named HomolE, located upstream of the HomolD box. The HomolE box acts as an upstream activating sequence (UAS), and it is able to activate transcription in RPG promoters containing a HomolD box. In this work, we identified a HomolE-binding protein (HEBP) as a polypeptide of 100 kDa, which was able to bind to the HomolE box in a Southwestern blot assay. The features of this polypeptide were similar to the product of the gene of fission yeast. The Fhl1 protein is the homolog of the FHL1 protein of budding yeast and possesses fork-head-associated (FHA) and fork-head (FH) domains. The product of the gene was expressed and purified from bacteria, and it was demonstrated that is able to bind the HomolE box in an electrophoretic mobility assay (EMSA), as well as being able to activate in vitro transcription from an RPG gene promoter containing HomolE boxes upstream of the HomolD box. These results indicate that the product of the gene of fission yeast can bind to the HomolE box, and it activates the transcription of RPGs.
裂殖酵母核糖体蛋白基因 (RPGs) 含有 HomolD 框作为转录所需的核心启动子元件。一些 RPGs 还含有一个名为 HomolE 的共有序列,位于 HomolD 框的上游。HomolE 框作为一个上游激活序列 (UAS),它能够激活含有 HomolD 框的 RPG 启动子的转录。在这项工作中,我们鉴定了一种 HomolE 结合蛋白 (HEBP) 作为一种 100 kDa 的多肽,它能够在 Southwestern blot 分析中与 HomolE 框结合。该多肽的特征与裂殖酵母基因的产物相似。Fhl1 蛋白是芽殖酵母 FHL1 蛋白的同源物,具有 fork-head-associated (FHA) 和 fork-head (FH) 结构域。来自细菌的基因产物被表达和纯化,结果表明它能够在电泳迁移率测定 (EMSA) 中结合 HomolE 框,并且能够激活含有 HomolE 框的 RPG 基因启动子的体外转录,该启动子的 HomolD 框上游有 HomolE 框。这些结果表明裂殖酵母基因的产物能够结合 HomolE 框,并激活 RPGs 的转录。