Suppr超能文献

直肠出血揭示同时性结肠腺癌和1型乳头状肾细胞癌,一例罕见病例报告。

Rectorrhagia revealing synchronous colonic adenocarcinoma and papillary renal cell carcinoma type 1, an exceptional case report.

作者信息

A Okiyeh Yacoub, Boukhannous Ibrahim, El Moudane Anouar, Ahmed Jdaini, Aurtz Tombet Craig, Barki Ali

机构信息

Department of Urology, Mohammed VI University Hospital, Oujda, Morocco.

Faculty of Medicine and Pharmacy of Oujda, Mohammed First University of Oujda, Morocco.

出版信息

Urol Case Rep. 2023 May 14;49:102434. doi: 10.1016/j.eucr.2023.102434. eCollection 2023 Jul.

Abstract

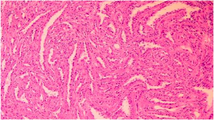
Colorectal cancer (CRC) is the most prevalent type of cancer affecting the gastrointestinal tract. The synchronous occurrence of CRC and renal cell carcinoma is rare, and even rarer when the renal cell carcinoma is of papillary origin, with only two cases reported in the literature. The synchronous detection of colon cancer and other primary tumors has been extensively studied and reported in the literature, either falling within the framework of well-defined clinical syndromes such as Lynch syndrome or occurring sporadically. This article aims to report and expose a literature review of the synchrony of colorectal cancer and renal carcinoma.

摘要

结直肠癌(CRC)是影响胃肠道的最常见癌症类型。CRC与肾细胞癌同时发生的情况较为罕见,而肾细胞癌为乳头状起源时则更为罕见,文献中仅报道过两例。结肠癌与其他原发性肿瘤的同步检测已在文献中得到广泛研究和报道,要么属于如林奇综合征等明确临床综合征的范畴,要么为散发性发生。本文旨在报告并呈现一篇关于结直肠癌与肾癌同步性的文献综述。

https://cdn.ncbi.nlm.nih.gov/pmc/blobs/f659/10248790/ad740b5b72e2/gr1.jpg

文献AI研究员

20分钟写一篇综述,助力文献阅读效率提升50倍。

立即体验

用中文搜PubMed

大模型驱动的PubMed中文搜索引擎

马上搜索

文档翻译

学术文献翻译模型,支持多种主流文档格式。

立即体验