Yu Qing, Ju Peinan, Kou Wenxin, Zhai Ming, Zeng Yanxi, Maimaitiaili Nuerbiyemu, Shi Yefei, Xu Xu, Zhao Yifan, Jian Weixia, Feinberg Mark W, Xu Yawei, Zhuang Jianhui, Peng Wenhui
Department of Cardiology, Shanghai Tenth People's Hospital, School of Medicine, Tongji University, Shanghai, China.
Department of Endocrinology, Xinhua Hospital, Shanghai Jiaotong University, School of Medicine, Shanghai, China.
JACC Basic Transl Sci. 2023 Jan 18;8(5):479-496. doi: 10.1016/j.jacbts.2022.10.001. eCollection 2023 May.
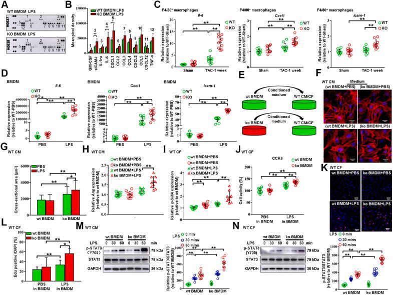
Macrophages regulate inflammation and the process of tissue repair. Therefore, a better understanding of macrophages in the pathogenesis of heart failure is needed. In patients with hypertrophic cardiomyopathy, NLRC5 was significantly increased in circulating monocytes and cardiac macrophages. Myeloid-specific deletion of NLRC5 aggravated pressure overload-induced pathological cardiac remodeling and inflammation. Mechanistically, NLRC5 interacted with HSPA8 and suppressed NF-κB pathway in macrophages. The absence of NLRC5 in macrophages promoted the secretion of cytokines such as interleukin-6 (IL-6), which affected cardiomyocyte hypertrophy and cardiac fibroblast activation. Tocilizumab, an anti-IL-6 receptor antagonist, may be a novel therapeutic strategy for cardiac remodeling and chronic heart failure.
巨噬细胞调节炎症和组织修复过程。因此,需要更好地了解巨噬细胞在心力衰竭发病机制中的作用。在肥厚型心肌病患者中,循环单核细胞和心脏巨噬细胞中的NLRC5显著增加。NLRC5的髓系特异性缺失加重了压力超负荷诱导的病理性心脏重塑和炎症。机制上,NLRC5与HSPA8相互作用并抑制巨噬细胞中的NF-κB通路。巨噬细胞中NLRC5的缺失促进了白细胞介素-6(IL-6)等细胞因子的分泌,这影响了心肌细胞肥大和心脏成纤维细胞的激活。托珠单抗,一种抗IL-6受体拮抗剂,可能是治疗心脏重塑和慢性心力衰竭的新策略。