Suppr超能文献

piRNA-1742 通过与 hnRNPU 结合来调节 USP8 的稳定性,从而抑制 MUC12 的泛素化,促进肾细胞癌的恶性进展。

piRNA-1742 promotes renal cell carcinoma malignancy by regulating USP8 stability through binding to hnRNPU and thereby inhibiting MUC12 ubiquitination.

机构信息

Department of Urology, Shanghai Tenth People's Hospital, Tongji University, Shanghai, P. R. China.

Urologic Cancer Institute, School of Medicine, Tongji University, Shanghai, P. R. China.

出版信息

Exp Mol Med. 2023 Jun;55(6):1258-1271. doi: 10.1038/s12276-023-01010-3. Epub 2023 Jun 19.

Abstract

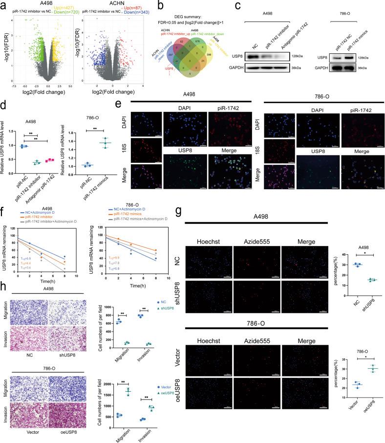
Accumulating studies have confirmed that PIWI-interacting RNAs (piRNAs) are considered epigenetic effectors in cancer. We performed piRNA microarray expression analysis on renal cell carcinoma (RCC) tumor tissues and paired normal tissues and performed a series of in vivo and in vitro experiments to explore piRNAs associated with RCC progression and investigate their functional mechanisms. We found that piR-1742 was highly expressed in RCC tumors and that patients with high piR-1742 expression had a poor prognosis. Inhibition of piR-1742 significantly reduced tumor growth in RCC xenograft and organoid models. Mechanistically, piRNA-1742 regulates the stability of USP8 mRNA by binding directly to hnRNPU, which acts as a deubiquitinating enzyme that inhibits the ubiquitination of MUC12 and promotes the development of malignant RCC. Subsequently, nanotherapeutic systems loaded with piRNA-1742 inhibitors were found to effectively inhibit the metastasis and growth of RCC in vivo. Therefore, this study highlights the functional importance of piRNA-related ubiquitination in RCC and demonstrates the development of a related nanotherapeutic system, possibly contributing to the development of therapeutic approaches for RCC.

摘要

越来越多的研究证实,PIWI 相互作用 RNA(piRNA)被认为是癌症中的表观遗传效应因子。我们对肾细胞癌(RCC)肿瘤组织和配对的正常组织进行了 piRNA 微阵列表达分析,并进行了一系列体内和体外实验,以探索与 RCC 进展相关的 piRNAs,并研究其功能机制。我们发现 piR-1742 在 RCC 肿瘤中高度表达,并且表达高 piR-1742 的患者预后不良。抑制 piR-1742 可显著减少 RCC 异种移植和类器官模型中的肿瘤生长。在机制上,piRNA-1742 通过直接与 hnRNPU 结合来调节 USP8 mRNA 的稳定性,hnRNPU 作为一种去泛素化酶,抑制 MUC12 的泛素化并促进恶性 RCC 的发展。随后,发现装载有 piRNA-1742 抑制剂的纳米治疗系统可有效抑制体内 RCC 的转移和生长。因此,这项研究强调了 piRNA 相关泛素化在 RCC 中的功能重要性,并展示了相关纳米治疗系统的开发,可能有助于开发治疗 RCC 的方法。

https://cdn.ncbi.nlm.nih.gov/pmc/blobs/c173/10318070/8898bd82bee3/12276_2023_1010_Fig1_HTML.jpg

文献检索

告别复杂PubMed语法,用中文像聊天一样搜索,搜遍4000万医学文献。AI智能推荐,让科研检索更轻松。

立即免费搜索

文件翻译

保留排版,准确专业,支持PDF/Word/PPT等文件格式,支持 12+语言互译。

免费翻译文档

深度研究

AI帮你快速写综述,25分钟生成高质量综述,智能提取关键信息,辅助科研写作。

立即免费体验