Suppr超能文献

CS-VIBE 加速 MRI 技术在颅内转移诊断中的临床可行性。

Clinical feasibility of CS-VIBE accelerates MRI techniques in diagnosing intracranial metastasis.

机构信息

Department of Radiology, Chung-Ang University Hospital, Chung-Ang University College of Medicine, 102 Heukseok-ro, Dongjak-gu, Seoul, Republic of Korea.

Department of Radiology, Human Medical Imaging and Intervention Center, Seoul, Korea.

出版信息

Sci Rep. 2023 Jun 20;13(1):10012. doi: 10.1038/s41598-023-37148-3.

Abstract

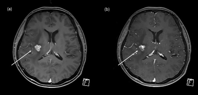
Our objective was to evaluate and compare the diagnostic performance of post-contrast 3D compressed-sensing volume-interpolated breath-hold examination (CS-VIBE) and 3D T1 magnetization-prepared rapid-acquisition gradient-echo (MPRAGE) in detecting intracranial metastasis. Additionally, we analyzed and compared the image quality between the two. We enrolled 164 cancer patients who underwent contrast-enhanced brain MRI. Two neuroradiologists independently reviewed all the images. The signal-to-noise ratio (SNR), contrast-to noise ratio (CNR) were compared between two sequences. For patients with intracranial metastasis, we measured enhancement degree and CNR of the lesion. The overall image quality, motion artifact, gray-white matter discrimination and enhancing lesion conspicuity were analyzed. Both MPRAGE and CS-VIBE showed similar performance in diagnosing intracranial metastasis. Overall image quality of CS-VIBE was better with less motion artifact; however conventional MPRAGE was superior in enhancing lesion conspicuity. Overall, the SNR and CNR of conventional MPRAGE were higher than those of CS-VIBE. For 30 enhancing intracranial metastatic lesions, MPRAGE showed a lower CNR (p = 0.02) and contrast ratio (p = 0.03). MPRAGE and CS-VIBE were preferred in 11.6 and 13.4% of cases, respectively. In comparison with conventional MPRAGE, CS-VIBE achieved comparable image quality and visualization, with the scan time being half of that of MPRAGE.

摘要

我们的目的是评估和比较对比增强后 3D 压缩感知容积内插屏气检查(CS-VIBE)和 3D T1 磁化准备快速获取梯度回波(MPRAGE)在检测颅内转移中的诊断性能。此外,我们还分析和比较了这两种方法的图像质量。我们纳入了 164 例接受增强脑 MRI 的癌症患者。两名神经放射科医生独立审查了所有图像。比较了两种序列的信噪比(SNR)和对比噪声比(CNR)。对于有颅内转移的患者,我们测量了病变的增强程度和 CNR。分析了整体图像质量、运动伪影、灰-白质分辨力和增强病变的显著度。MPRAGE 和 CS-VIBE 在诊断颅内转移方面均具有相似的性能。CS-VIBE 的整体图像质量更好,运动伪影更少;然而,常规 MPRAGE 在增强病变的显著度方面更优。总体而言,常规 MPRAGE 的 SNR 和 CNR 均高于 CS-VIBE。对于 30 个增强的颅内转移病变,MPRAGE 显示出较低的 CNR(p=0.02)和对比比(p=0.03)。MPRAGE 和 CS-VIBE 分别在 11.6%和 13.4%的病例中更受青睐。与常规 MPRAGE 相比,CS-VIBE 实现了可比的图像质量和可视化效果,扫描时间仅为 MPRAGE 的一半。

https://cdn.ncbi.nlm.nih.gov/pmc/blobs/0901/10282025/3d7e4b18a40a/41598_2023_37148_Fig1_HTML.jpg

文献AI研究员

20分钟写一篇综述,助力文献阅读效率提升50倍。

立即体验

用中文搜PubMed

大模型驱动的PubMed中文搜索引擎

马上搜索

文档翻译

学术文献翻译模型,支持多种主流文档格式。

立即体验