• 文献检索
  • 文档翻译
  • 深度研究
  • 学术资讯
  • Suppr Zotero 插件Zotero 插件
  • 邀请有礼
  • 套餐&价格
  • 历史记录
应用&插件
Suppr Zotero 插件Zotero 插件浏览器插件Mac 客户端Windows 客户端微信小程序
定价
高级版会员购买积分包购买API积分包
服务
文献检索文档翻译深度研究API 文档MCP 服务
关于我们
关于 Suppr公司介绍联系我们用户协议隐私条款
关注我们

Suppr 超能文献

核心技术专利:CN118964589B侵权必究
粤ICP备2023148730 号-1Suppr @ 2026

文献检索

告别复杂PubMed语法,用中文像聊天一样搜索,搜遍4000万医学文献。AI智能推荐,让科研检索更轻松。

立即免费搜索

文件翻译

保留排版,准确专业,支持PDF/Word/PPT等文件格式,支持 12+语言互译。

免费翻译文档

深度研究

AI帮你快速写综述,25分钟生成高质量综述,智能提取关键信息,辅助科研写作。

立即免费体验

蒽基发色团光毒性的新见解:氯盐效应†。

New Insights into the Phototoxicity of Anthracene-Based Chromophores: The Chloride Salt Effect†.

机构信息

Department of Chemistry, Georgia State University, Atlanta, Georgia 30303, United States.

出版信息

Chem Res Toxicol. 2023 Jul 17;36(7):1002-1020. doi: 10.1021/acs.chemrestox.2c00235. Epub 2023 Jun 22.

DOI:10.1021/acs.chemrestox.2c00235
PMID:37347986
原文链接:https://pmc.ncbi.nlm.nih.gov/articles/PMC10354805/
Abstract

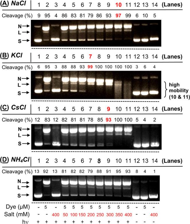
Unraveling the causes underlying polycyclic aromatic hydrocarbon phototoxicity is an essential step in understanding the harmful effects of these compounds in nature. Toward this end, we have studied the DNA interactions and photochemistry of -(anthracen-9-ylmethyl)ethane-1,2-diaminium dichloride in the presence and absence of NaF, KF, NaCl, KCl, NaBr, KBr, NaI, and KI (350 nm hν, pH 7.0). Exposing pUC19 plasmid to UV light in solutions containing 400 mM KCl formed significantly more direct strand breaks in DNA compared to no-salt control reactions. In contrast, NaCl increased DNA damage moderately, while the sodium(I) and potassium(I) fluoride, bromide, and iodide salts generally inhibited cleavage (I > Br > F). A halide anion-induced heavy-atom effect was indicated by monitoring anthracene photodegradation and by employing the hydroxyl radical (OH) probe hydroxyphenyl fluorescein (HPF). These studies revealed that among no-salt controls and the eight halide salts, only NaCl and KCl enabled the anthracene to photosensitize the production of high levels of DNA-damaging reactive oxygen species (ROS). Pre-irradiation of -(anthracen-9-ylmethyl)ethane-1,2-diaminium dichloride at 350 nm increased the amounts of chloride salt-induced OH detected by HPF in subsequent anthracene photoactivation experiments. Taking into consideration that OH and other highly reactive ROS are extremely short-lived, this result suggests that the pre-irradiation step might lead to the formation of oxidized anthracene photoproducts that are exceedingly redox-active. The fluorometric probes HPF and Singlet Oxygen Sensor Green revealed that KCl concentrations ranging from 150 to 400 mM and from 100 to 400 mM, respectively, enhanced -(anthracen-9-ylmethyl)ethane-1,2-diaminium dichloride photosensitized OH and singlet oxygen (O) production over no-salt controls. Considering the relatively high levels of Na, K, and Cl ions that exist in the environment and in living organisms, our findings may be relevant to the phototoxic effects exhibited by anthracenes and other polycyclic hydrocarbons .

摘要

阐明多环芳烃光毒性的原因是理解这些化合物在自然界中有害影响的重要步骤。为此,我们研究了 -(9-蒽甲基)乙烷-1,2-二胺二盐酸盐在有和无 NaF、KF、NaCl、KCl、NaBr、KBr、NaI 和 KI 存在时的 DNA 相互作用和光化学反应(350nm hν,pH7.0)。将 pUC19 质粒暴露于含有 400mM KCl 的溶液中的紫外光下,与无盐对照反应相比,DNA 中形成的直接链断裂明显更多。相比之下,NaCl 适度增加 DNA 损伤,而氟化钠(I)、氟化钾(I)、溴化钠(I)和碘化钾(I)盐通常抑制裂解(I > Br > F)。通过监测蒽的光降解和使用羟基自由基(OH)探针羟基苯基荧光素(HPF),表明卤化物阴离子诱导的重原子效应。这些研究表明,在无盐对照和八种卤化物盐中,只有 NaCl 和 KCl 使蒽能够敏化产生高水平的 DNA 损伤活性氧物种(ROS)。在 350nm 处预先辐照 -(9-蒽甲基)乙烷-1,2-二胺二盐酸盐会增加随后蒽光活化实验中 HPF 检测到的氯化盐诱导的 OH 的量。考虑到 OH 和其他高反应性 ROS 极其短暂,这一结果表明预辐照步骤可能导致形成氧化的蒽光产物,这些产物具有极高的氧化还原活性。荧光探针 HPF 和单线态氧传感器绿表明,KCl 浓度范围为 150 至 400mM 和 100 至 400mM 分别增强了 -(9-蒽甲基)乙烷-1,2-二胺二盐酸盐敏化 OH 和单线态氧(O)的产生超过无盐对照。考虑到环境中和生物体中存在的相对较高水平的 Na、K 和 Cl 离子,我们的发现可能与蒽和其他多环碳氢化合物表现出的光毒性效应有关。

https://cdn.ncbi.nlm.nih.gov/pmc/blobs/498f/10354805/7fe1f2b5257a/tx2c00235_0014.jpg
https://cdn.ncbi.nlm.nih.gov/pmc/blobs/498f/10354805/ed0c1a90973c/tx2c00235_0015.jpg
https://cdn.ncbi.nlm.nih.gov/pmc/blobs/498f/10354805/2cf7b1ddfc13/tx2c00235_0002.jpg
https://cdn.ncbi.nlm.nih.gov/pmc/blobs/498f/10354805/e2dafd782a81/tx2c00235_0003.jpg
https://cdn.ncbi.nlm.nih.gov/pmc/blobs/498f/10354805/ffc84dddd256/tx2c00235_0004.jpg
https://cdn.ncbi.nlm.nih.gov/pmc/blobs/498f/10354805/6824f53d07c3/tx2c00235_0005.jpg
https://cdn.ncbi.nlm.nih.gov/pmc/blobs/498f/10354805/82764baff107/tx2c00235_0006.jpg
https://cdn.ncbi.nlm.nih.gov/pmc/blobs/498f/10354805/04eba9d9a40d/tx2c00235_0007.jpg
https://cdn.ncbi.nlm.nih.gov/pmc/blobs/498f/10354805/22163dd759e0/tx2c00235_0008.jpg
https://cdn.ncbi.nlm.nih.gov/pmc/blobs/498f/10354805/6c89fec38e36/tx2c00235_0016.jpg
https://cdn.ncbi.nlm.nih.gov/pmc/blobs/498f/10354805/3a2556904d1d/tx2c00235_0009.jpg
https://cdn.ncbi.nlm.nih.gov/pmc/blobs/498f/10354805/b62041c6e25a/tx2c00235_0010.jpg
https://cdn.ncbi.nlm.nih.gov/pmc/blobs/498f/10354805/a5442ba5c376/tx2c00235_0017.jpg
https://cdn.ncbi.nlm.nih.gov/pmc/blobs/498f/10354805/533c179f3393/tx2c00235_0011.jpg
https://cdn.ncbi.nlm.nih.gov/pmc/blobs/498f/10354805/020f2f60532f/tx2c00235_0012.jpg
https://cdn.ncbi.nlm.nih.gov/pmc/blobs/498f/10354805/9bbf0fef0856/tx2c00235_0013.jpg
https://cdn.ncbi.nlm.nih.gov/pmc/blobs/498f/10354805/7fe1f2b5257a/tx2c00235_0014.jpg
https://cdn.ncbi.nlm.nih.gov/pmc/blobs/498f/10354805/ed0c1a90973c/tx2c00235_0015.jpg
https://cdn.ncbi.nlm.nih.gov/pmc/blobs/498f/10354805/2cf7b1ddfc13/tx2c00235_0002.jpg
https://cdn.ncbi.nlm.nih.gov/pmc/blobs/498f/10354805/e2dafd782a81/tx2c00235_0003.jpg
https://cdn.ncbi.nlm.nih.gov/pmc/blobs/498f/10354805/ffc84dddd256/tx2c00235_0004.jpg
https://cdn.ncbi.nlm.nih.gov/pmc/blobs/498f/10354805/6824f53d07c3/tx2c00235_0005.jpg
https://cdn.ncbi.nlm.nih.gov/pmc/blobs/498f/10354805/82764baff107/tx2c00235_0006.jpg
https://cdn.ncbi.nlm.nih.gov/pmc/blobs/498f/10354805/04eba9d9a40d/tx2c00235_0007.jpg
https://cdn.ncbi.nlm.nih.gov/pmc/blobs/498f/10354805/22163dd759e0/tx2c00235_0008.jpg
https://cdn.ncbi.nlm.nih.gov/pmc/blobs/498f/10354805/6c89fec38e36/tx2c00235_0016.jpg
https://cdn.ncbi.nlm.nih.gov/pmc/blobs/498f/10354805/3a2556904d1d/tx2c00235_0009.jpg
https://cdn.ncbi.nlm.nih.gov/pmc/blobs/498f/10354805/b62041c6e25a/tx2c00235_0010.jpg
https://cdn.ncbi.nlm.nih.gov/pmc/blobs/498f/10354805/a5442ba5c376/tx2c00235_0017.jpg
https://cdn.ncbi.nlm.nih.gov/pmc/blobs/498f/10354805/533c179f3393/tx2c00235_0011.jpg
https://cdn.ncbi.nlm.nih.gov/pmc/blobs/498f/10354805/020f2f60532f/tx2c00235_0012.jpg
https://cdn.ncbi.nlm.nih.gov/pmc/blobs/498f/10354805/9bbf0fef0856/tx2c00235_0013.jpg
https://cdn.ncbi.nlm.nih.gov/pmc/blobs/498f/10354805/7fe1f2b5257a/tx2c00235_0014.jpg

相似文献

1
New Insights into the Phototoxicity of Anthracene-Based Chromophores: The Chloride Salt Effect†.蒽基发色团光毒性的新见解:氯盐效应†。
Chem Res Toxicol. 2023 Jul 17;36(7):1002-1020. doi: 10.1021/acs.chemrestox.2c00235. Epub 2023 Jun 22.
2
Physiologically relevant concentrations of NaCl and KCl increase DNA photocleavage by an N-substituted 9-aminomethylanthracene dye.生理相关浓度的 NaCl 和 KCl 增加了 N-取代的 9-氨基甲基蒽染料的 DNA 光解。
Biochemistry. 2011 Nov 29;50(47):10375-89. doi: 10.1021/bi200972c. Epub 2011 Nov 3.
3
Monitoring singlet oxygen and hydroxyl radical formation with fluorescent probes during photodynamic therapy.在光动力疗法期间使用荧光探针监测单线态氧和羟基自由基的形成。
Photochem Photobiol. 2009 Sep-Oct;85(5):1177-81. doi: 10.1111/j.1751-1097.2009.00555.x. Epub 2009 Apr 6.
4
Effect of Toxic Metal Ions on Photosensitized Singlet Oxygen Generation for Photodegradation of Polyaromatic Hydrocarbon Derivatives and Inactivation of Escherichia coli.有毒金属离子对光降解多环芳烃衍生物和大肠杆菌失活动力学的敏化单线态氧生成的影响。
Photochem Photobiol. 2019 May;95(3):823-832. doi: 10.1111/php.13050. Epub 2018 Dec 5.
5
Effects of oil dispersants on photodegradation of parent and alkylated anthracene in seawater.油类分散剂对海水中母体和烷基化蒽光降解的影响。
Environ Pollut. 2017 Oct;229:272-280. doi: 10.1016/j.envpol.2017.05.084. Epub 2017 Jun 7.
6
Activation of tubulo-glomerular feedback by chloride transport.通过氯离子转运激活肾小管-肾小球反馈。
Pflugers Arch. 1976 Apr 6;362(3):229-40. doi: 10.1007/BF00581175.
7
Photodegradation and phototoxicity studies of furosemide. Involvement of singlet oxygen in the photoinduced hemolysis and lipid peroxidation.呋塞米的光降解和光毒性研究。单线态氧在光诱导溶血和脂质过氧化中的作用。
J Photochem Photobiol B. 1998 Mar;42(3):219-25. doi: 10.1016/s1011-1344(98)00074-8.
8
Cyclometalated iridium(III) complexes containing an anthracene unit for sensing and imaging singlet oxygen in cellular mitochondria.含有蒽单元的环金属化铱(III)配合物用于细胞线粒体内单线态氧的传感与成像
J Inorg Biochem. 2020 Aug;209:111106. doi: 10.1016/j.jinorgbio.2020.111106. Epub 2020 May 22.
9
Na+ and Cl(-) ions show additive effects under NaCl stress on induction of oxidative stress and the responsive antioxidative defense in rice.在氯化钠胁迫下,钠离子和氯离子对水稻氧化应激的诱导及相应的抗氧化防御表现出累加效应。
Protoplasma. 2015 Jul;252(4):1149-65. doi: 10.1007/s00709-014-0749-2. Epub 2014 Dec 30.
10
Impact of Reactive Oxygen Species Scavenging on the Intermediate Production of Anthracene and Anthraquinone in Fresh versus Saltwater Environments.活性氧物种清除对淡水与咸水环境中蒽和蒽醌中间产物生成的影响。
Environ Toxicol Chem. 2023 Aug;42(8):1721-1729. doi: 10.1002/etc.5687. Epub 2023 Jul 4.

引用本文的文献

1
Single-Photon DNA Photocleavage up to 905 nm by a Benzylated 4-Quinolinium Carbocyanine Dye.一种苄基化4-喹啉鎓碳菁染料实现高达905纳米的单光子DNA光裂解
ACS Omega. 2025 Feb 11;10(7):6544-6558. doi: 10.1021/acsomega.4c07083. eCollection 2025 Feb 25.
2
Theoretical study of the photoisomerization of 1,2-bispyrazinyl-ethylene and the halogen ion salts of 1-Pyrazinyl-2-(4'-methylpyrazinyl)ethylene.1,2 - 双吡嗪基乙烯及1 - 吡嗪基 - 2 -(4'-甲基吡嗪基)乙烯的卤离子盐的光异构化理论研究
J Mol Model. 2024 Mar 20;30(4):109. doi: 10.1007/s00894-024-05881-9.

本文引用的文献

1
Evaluation of relative efficiency of PDT photosensitizers in producing hydroxyl radicals and singlet oxygen in aqueous media using a UV-visible spectroscopy pNDA dosage.使用紫外可见光谱法和对硝基二乙胺(pNDA)剂量评估光动力疗法(PDT)光敏剂在水介质中产生羟基自由基和单线态氧的相对效率。
J Photochem Photobiol B. 2023 Apr;241:112664. doi: 10.1016/j.jphotobiol.2023.112664. Epub 2023 Feb 7.
2
A review of human and animals exposure to polycyclic aromatic hydrocarbons: Health risk and adverse effects, photo-induced toxicity and regulating effect of microplastics.多环芳烃对人类和动物暴露的评估:健康风险和不良影响、光诱导毒性和微塑料的调节作用。
Sci Total Environ. 2021 Jun 15;773:145403. doi: 10.1016/j.scitotenv.2021.145403. Epub 2021 Jan 28.
3
Considerations for Prioritization of Polycyclic Aromatic Compounds as Environmental Contaminants.将多环芳烃化合物列为环境污染物的优先排序考量因素。
Environ Sci Technol. 2020 Dec 1;54(23):14787-14789. doi: 10.1021/acs.est.0c04892. Epub 2020 Nov 13.
4
The Use of Fluorescent Probes to Detect ROS in Photodynamic Therapy.荧光探针在光动力学疗法中检测活性氧的应用。
Methods Mol Biol. 2021;2202:215-229. doi: 10.1007/978-1-0716-0896-8_17.
5
Single photon DNA photocleavage at 830 nm by quinoline dicarbocyanine dyes.单光子 DNA 光解在 830nm 由喹啉二碳菁染料。
Chem Commun (Camb). 2019 Oct 17;55(84):12667-12670. doi: 10.1039/c9cc04751d.
6
Halogen Radical Oxidants in Natural and Engineered Aquatic Systems.天然和人工水生态系统中的卤素自由基氧化剂。
Environ Sci Technol. 2018 Sep 4;52(17):9579-9594. doi: 10.1021/acs.est.8b02219. Epub 2018 Aug 23.
7
Chronic polycyclic aromatic hydrocarbon exposure causes DNA damage and genomic instability in lung epithelial cells.长期接触多环芳烃会导致肺上皮细胞的DNA损伤和基因组不稳定。
Oncotarget. 2017 Sep 15;8(45):79034-79045. doi: 10.18632/oncotarget.20891. eCollection 2017 Oct 3.
8
The effects of DNA supercoiling on G-quadruplex formation.DNA超螺旋对G-四链体形成的影响。
Nucleic Acids Res. 2017 Dec 1;45(21):12069-12079. doi: 10.1093/nar/gkx856.
9
High lumenal chloride in the lysosome is critical for lysosome function.溶酶体腔内的高氯离子浓度对溶酶体功能至关重要。
Elife. 2017 Jul 25;6:e28862. doi: 10.7554/eLife.28862.
10
Type I and Type II Photosensitized Oxidation Reactions: Guidelines and Mechanistic Pathways.I 型和 II 型光致氧化反应:指南和机制途径。
Photochem Photobiol. 2017 Jul;93(4):912-919. doi: 10.1111/php.12716. Epub 2017 Mar 27.