Suppr超能文献

氧化镁给药对正畸牙齿移动后复发影响的临床和组织学评价(兔模型研究)

Clinical and histological evaluation of the effect of magnesium oxide administration on relapse after orthodontic teeth movement (Rabbit Model Study).

作者信息

Mohammed Roaa E, Salih Al Qassar Sarmad S, Taqa Ghada A

机构信息

Basic Science Department, University of Mosul, Mosul, Iraq.

Pedodontics, Orthodontics and Preventive Department (POP), College of Dentistry, University of Mosul, Mosul, Iraq.

出版信息

J Orthod Sci. 2023 Mar 18;12:19. doi: 10.4103/jos.jos_80_22. eCollection 2023.

Abstract

OBJECTIVE

This study aimed to evaluate the clinical and histological administration of magnesium oxide (MgO) supplementation on orthodontic relapse and bone remodeling.

MATERIALS AND METHODS

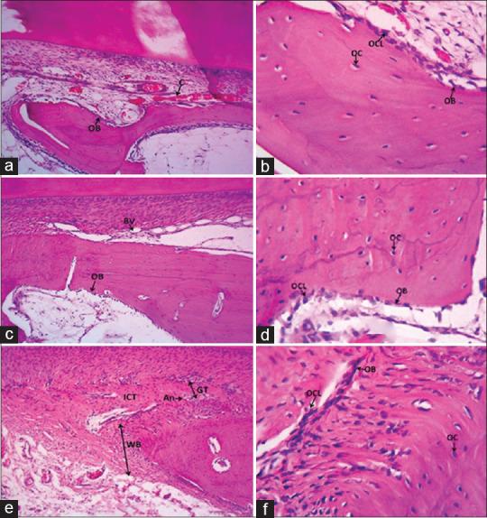
Twenty male albino rabbits were classified into four groups (five animals for each as two control (positive and negative), plus two experimental (low dose 40 mg/kg) and (high dose 80 mg/kg)/b.w. daily). An orthodontic force was applied (40 gm) to the lower incisors using modified orthodontic appliance adapted on the lower central incisors. During the period of retention, MgO was given orally. Relapse was estimated after appliance removal. A digital Calliper was used to compete the space between incisors' mesial tips of rabbits at six successive time points (0, 3, 7, 10, 15, and 21 days). Histologically, osteoblast, osteoclast, and osteocyte account were assessed. Data analyses were performed by SPSS using ANOVA and Tukay HSD ( ≤ 0.05) for statistically significant differences between groups.

RESULTS

The high dose group had a lower relapse rate than the low dose and control groups. Histologically, the high dose group had more osteoblasts and osteocytes than low dose and control groups. While osteoclasts were significantly lower than the control group in low and high dose groups.

CONCLUSIONS

MgO supplementation during an orthodontic retention phase, particularly at a level of high dose, clinically decreased orthodontic relapse in a rabbit model. Histologically, MgO has a significant effect on alveolar bone after the orthodontic retention period.

摘要

目的

本研究旨在评估补充氧化镁(MgO)对正畸复发和骨重塑的临床及组织学影响。

材料与方法

将20只雄性白化兔分为四组(每组五只,两组为对照组(阳性和阴性),另外两组为实验组(低剂量40mg/kg)和(高剂量80mg/kg)/体重,每日一次)。使用适配于下中切牙的改良正畸矫治器对下切牙施加正畸力(40克)。在保持期内,口服MgO。去除矫治器后评估复发情况。使用数字卡尺在六个连续时间点(0、3、7、10、15和21天)测量兔切牙近中尖端之间的间隙。组织学上,评估成骨细胞、破骨细胞和骨细胞数量。使用SPSS进行数据分析,采用方差分析和Tukay HSD检验(≤0.05)比较组间统计学显著差异。

结果

高剂量组的复发率低于低剂量组和对照组。组织学上,高剂量组的成骨细胞和骨细胞比低剂量组和对照组更多。而低剂量组和高剂量组的破骨细胞均显著低于对照组。

结论

在正畸保持阶段补充MgO,尤其是高剂量水平,在兔模型中临床上可降低正畸复发率。组织学上,MgO在正畸保持期后对牙槽骨有显著影响。

https://cdn.ncbi.nlm.nih.gov/pmc/blobs/8383/10282529/c1e5ed127bb8/JOS-12-19-g001.jpg

文献AI研究员

20分钟写一篇综述,助力文献阅读效率提升50倍。

立即体验

用中文搜PubMed

大模型驱动的PubMed中文搜索引擎

马上搜索

文档翻译

学术文献翻译模型,支持多种主流文档格式。

立即体验