• 文献检索
  • 文档翻译
  • 深度研究
  • 学术资讯
  • Suppr Zotero 插件Zotero 插件
  • 邀请有礼
  • 套餐&价格
  • 历史记录
应用&插件
Suppr Zotero 插件Zotero 插件浏览器插件Mac 客户端Windows 客户端微信小程序
定价
高级版会员购买积分包购买API积分包
服务
文献检索文档翻译深度研究API 文档MCP 服务
关于我们
关于 Suppr公司介绍联系我们用户协议隐私条款
关注我们

Suppr 超能文献

核心技术专利:CN118964589B侵权必究
粤ICP备2023148730 号-1Suppr @ 2026

文献检索

告别复杂PubMed语法,用中文像聊天一样搜索,搜遍4000万医学文献。AI智能推荐,让科研检索更轻松。

立即免费搜索

文件翻译

保留排版,准确专业,支持PDF/Word/PPT等文件格式,支持 12+语言互译。

免费翻译文档

深度研究

AI帮你快速写综述,25分钟生成高质量综述,智能提取关键信息,辅助科研写作。

立即免费体验

自噬基因 Atg7 调控放射性皮肤损伤和纤维化的发生发展。

Autophagy gene Atg7 regulates the development of radiation-induced skin injury and fibrosis of skin.

机构信息

Department of Oncology, Tongji Hospital, Tongji Medical College, Huazhong University of Science and Technology, Wuhan, Hubei, China.

出版信息

Skin Res Technol. 2023 Jun;29(6):e13337. doi: 10.1111/srt.13337.

DOI:10.1111/srt.13337
PMID:37357660
原文链接:https://pmc.ncbi.nlm.nih.gov/articles/PMC10230157/
Abstract

BACKGROUND

Radiation-induced skin injury, which may progress to fibrosis, is a severe side effect of radiotherapy in patients with cancer. However, currently, there is a lack of preventive or curative treatments for this injury. Meanwhile, the mechanisms underlying this injury remain poorly understood. Here, we elucidated whether autophagy is essential for the development of radiation-induced skin injury and the potential molecular pathways and mechanisms involved.

METHODS AND RESULTS

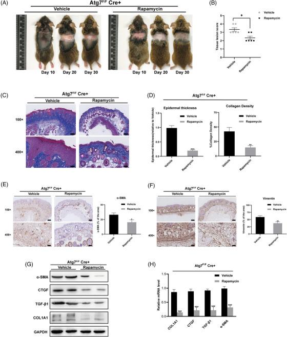
We used the myofibroblast-specific Atg7 knockout (namely, conditional Atg7 knockout) mice irradiated with a single electron beam irradiation dose of 30 Gy. Vaseline-based 0.2% rapamycin ointment was topically applied once daily from the day of irradiation for 30 days. On day 30 post irradiation, skin tissues were harvested for further analysis. In vitro, human foreskin fibroblast cells were treated with rapamycin (100 nM) for 24 h and pretreated with 3-MA (5 mM) for 12 h. Macroscopic skin manifestations, histological changes, and fibrosis markers at the mRNA and protein expression levels were measured. Post irradiation, the myofibroblast-specific autophagy-deficient (Atg7 Cre ) mice had increased fibrosis marker (COL1A1, CTGF, TGF-β1, and α-SMA) levels in the irradiated area and had more severe macroscopic skin manifestations than the control group (Atg7 Cre ) mice. Treatment with an autophagy agonist rapamycin attenuated macroscopic skin injury scores and skin fibrosis marker levels with decreased epidermal thickness and dermal collagen deposition in Atg7 Cre mice compared with the vehicle control. Moreover, in vitro experiment results were consistent with the in vivo results. Together with studies at the molecular level, we found that these changes involved the Akt/mTOR pathway. In addition, this phenomenon might also relate to Nrf2-autophagy signaling pathway under oxidative stress conditions.

CONCLUSION

In conclusion, Atg7 and autophagy-related mechanisms confer radioprotection, and reactivation of the autophagy process can be a novel therapeutic strategy to reduce and prevent the occurrence of radiodermatitis, particularly skin fibrosis, in patients with cancer.

摘要

背景

放射诱导的皮肤损伤,可能进展为纤维化,是癌症患者放疗的一种严重副作用。然而,目前对此种损伤尚无预防或治疗方法。同时,这种损伤的潜在分子途径和机制也知之甚少。在这里,我们阐明了自噬是否对放射诱导的皮肤损伤的发生至关重要,以及涉及的潜在分子途径和机制。

方法和结果

我们使用肌成纤维细胞特异性 Atg7 敲除(即条件性 Atg7 敲除)小鼠,并用单电子束照射 30Gy。从照射之日起,每天用凡士林为基质的 0.2%雷帕霉素软膏局部涂抹一次,共 30 天。照射后 30 天,采集皮肤组织进行进一步分析。在体外,用雷帕霉素(100nM)处理人包皮成纤维细胞 24 小时,并预先用 3-MA(5mM)处理 12 小时。测量照射后纤维化标志物在 mRNA 和蛋白表达水平的变化。照射后,肌成纤维细胞特异性自噬缺陷(Atg7 Cre )小鼠在照射区域的纤维化标志物(COL1A1、CTGF、TGF-β1 和α-SMA)水平升高,且宏观皮肤表现较对照组(Atg7 Cre )小鼠更严重。与载体对照组相比,自噬激动剂雷帕霉素治疗可减轻 Atg7 Cre 小鼠的宏观皮肤损伤评分和皮肤纤维化标志物水平,降低表皮厚度和真皮胶原沉积。此外,体外实验结果与体内结果一致。结合分子水平的研究,我们发现这些变化涉及 Akt/mTOR 通路。此外,这种现象可能与氧化应激条件下 Nrf2-自噬信号通路有关。

结论

总之,Atg7 和自噬相关机制提供放射保护,并且自噬过程的再激活可能成为减少和预防癌症患者放射性皮炎,特别是皮肤纤维化发生的一种新的治疗策略。

https://cdn.ncbi.nlm.nih.gov/pmc/blobs/eff5/10230157/e9f6658524f2/SRT-29-e13337-g006.jpg
https://cdn.ncbi.nlm.nih.gov/pmc/blobs/eff5/10230157/92cb85ed458c/SRT-29-e13337-g005.jpg
https://cdn.ncbi.nlm.nih.gov/pmc/blobs/eff5/10230157/93800992da92/SRT-29-e13337-g003.jpg
https://cdn.ncbi.nlm.nih.gov/pmc/blobs/eff5/10230157/27533032d409/SRT-29-e13337-g002.jpg
https://cdn.ncbi.nlm.nih.gov/pmc/blobs/eff5/10230157/528ee7769703/SRT-29-e13337-g004.jpg
https://cdn.ncbi.nlm.nih.gov/pmc/blobs/eff5/10230157/0c320977bfe8/SRT-29-e13337-g007.jpg
https://cdn.ncbi.nlm.nih.gov/pmc/blobs/eff5/10230157/f474cfd7ded8/SRT-29-e13337-g001.jpg
https://cdn.ncbi.nlm.nih.gov/pmc/blobs/eff5/10230157/e9f6658524f2/SRT-29-e13337-g006.jpg
https://cdn.ncbi.nlm.nih.gov/pmc/blobs/eff5/10230157/92cb85ed458c/SRT-29-e13337-g005.jpg
https://cdn.ncbi.nlm.nih.gov/pmc/blobs/eff5/10230157/93800992da92/SRT-29-e13337-g003.jpg
https://cdn.ncbi.nlm.nih.gov/pmc/blobs/eff5/10230157/27533032d409/SRT-29-e13337-g002.jpg
https://cdn.ncbi.nlm.nih.gov/pmc/blobs/eff5/10230157/528ee7769703/SRT-29-e13337-g004.jpg
https://cdn.ncbi.nlm.nih.gov/pmc/blobs/eff5/10230157/0c320977bfe8/SRT-29-e13337-g007.jpg
https://cdn.ncbi.nlm.nih.gov/pmc/blobs/eff5/10230157/f474cfd7ded8/SRT-29-e13337-g001.jpg
https://cdn.ncbi.nlm.nih.gov/pmc/blobs/eff5/10230157/e9f6658524f2/SRT-29-e13337-g006.jpg

相似文献

1
Autophagy gene Atg7 regulates the development of radiation-induced skin injury and fibrosis of skin.自噬基因 Atg7 调控放射性皮肤损伤和纤维化的发生发展。
Skin Res Technol. 2023 Jun;29(6):e13337. doi: 10.1111/srt.13337.
2
Autophagy Deficiency in Renal Proximal Tubular Cells Leads to an Increase in Cellular Injury and Apoptosis under Normal Fed Conditions.正常进食条件下,近端肾小管细胞自噬缺陷导致细胞损伤和凋亡增加。
Int J Mol Sci. 2019 Dec 25;21(1):155. doi: 10.3390/ijms21010155.
3
Tubular cells produce FGF2 via autophagy after acute kidney injury leading to fibroblast activation and renal fibrosis.急性肾损伤后,管状细胞通过自噬产生 FGF2,导致成纤维细胞活化和肾纤维化。
Autophagy. 2023 Jan;19(1):256-277. doi: 10.1080/15548627.2022.2072054. Epub 2022 May 18.
4
Autophagy deficient keratinocytes display increased DNA damage, senescence and aberrant lipid composition after oxidative stress in vitro and in vivo.自噬缺陷的角质形成细胞在体内外氧化应激后表现出DNA损伤增加、细胞衰老和异常脂质组成。
Redox Biol. 2017 Apr;11:219-230. doi: 10.1016/j.redox.2016.12.015. Epub 2016 Dec 18.
5
Loss of Atg7 in Endothelial Cells Enhanced Cutaneous Wound Healing in a Mouse Model.内皮细胞中 Atg7 的缺失增强了小鼠模型的皮肤伤口愈合。
J Surg Res. 2020 May;249:145-155. doi: 10.1016/j.jss.2019.12.004. Epub 2020 Jan 17.
6
Metformin alleviates hyperglycemia-induced endothelial impairment by downregulating autophagy via the Hedgehog pathway.二甲双胍通过 Hedgehog 通路下调自噬来缓解高血糖引起的内皮损伤。
Autophagy. 2019 May;15(5):843-870. doi: 10.1080/15548627.2019.1569913. Epub 2019 Jan 27.
7
Autophagy gene ATG7 regulates ultraviolet radiation-induced inflammation and skin tumorigenesis.自噬基因 ATG7 调控紫外线辐射诱导的炎症和皮肤肿瘤发生。
Autophagy. 2017;13(12):2086-2103. doi: 10.1080/15548627.2017.1380757.
8
Autophagy fosters myofibroblast differentiation through MTORC2 activation and downstream upregulation of CTGF.自噬通过激活MTORC2和下游上调结缔组织生长因子(CTGF)促进肌成纤维细胞分化。
Autophagy. 2014;10(12):2193-207. doi: 10.4161/15548627.2014.981786.
9
TGF-β/YB-1/Atg7 axis promotes the proliferation of hepatic progenitor cells and liver fibrogenesis.TGF-β/YB-1/Atg7 轴促进肝祖细胞的增殖和肝纤维化。
Biochim Biophys Acta Mol Basis Dis. 2022 Jan 1;1868(1):166290. doi: 10.1016/j.bbadis.2021.166290. Epub 2021 Oct 15.
10
Atg7 mediates renal tubular cell apoptosis in vancomycin nephrotoxicity through activation of PKC-δ.Atg7 通过激活 PKC-δ 介导线粒体细胞凋亡在万古霉素肾毒性中发挥作用。
FASEB J. 2019 Mar;33(3):4513-4524. doi: 10.1096/fj.201801515R. Epub 2018 Dec 27.

引用本文的文献

1
NKD1 enhances colon cancer progression by inhibiting the autophagic degradation of MYC.NKD1通过抑制MYC的自噬降解来促进结肠癌进展。
Cell Death Dis. 2025 Jul 17;16(1):532. doi: 10.1038/s41419-025-07875-8.
2
Comparative Transcriptomic Analysis Unveils Divergent Effects of FLASH Versus Conventional Irradiation on Skin Cells.比较转录组学分析揭示了FLASH与传统辐射对皮肤细胞的不同影响。
Dose Response. 2025 May 20;23(2):15593258251342837. doi: 10.1177/15593258251342837. eCollection 2025 Apr-Jun.
3
Radiation induced dermatitis by increasing triglyceride levels to induce autophagy and inhibit the PI3K/Akt/mTOR signaling pathway.

本文引用的文献

1
Increased Levels of Phosphorylated ERK Induce CTGF Expression in Autophagy-Deficient Mouse Hepatocytes.磷酸化 ERK 水平升高可诱导自噬缺陷型小鼠肝细胞中 CTGF 的表达。
Cells. 2022 Aug 30;11(17):2704. doi: 10.3390/cells11172704.
2
Sitagliptin Alleviates Radiation-Induced Intestinal Injury by Activating NRF2-Antioxidant Axis, Mitigating NLRP3 Inf--lammasome Activation, and Reversing Gut Microbiota Disorder.西他列汀通过激活 NRF2-抗氧化轴、减轻 NLRP3 炎症小体激活和逆转肠道微生物群紊乱来缓解辐射诱导的肠道损伤。
Oxid Med Cell Longev. 2022 May 17;2022:2586305. doi: 10.1155/2022/2586305. eCollection 2022.
3
Trehalose Protects Keratinocytes against Ultraviolet B Radiation by Activating Autophagy via Regulating TIMP3 and ATG9A.
辐射诱导的皮炎通过提高甘油三酯水平来诱导自噬并抑制PI3K/Akt/mTOR信号通路。
Lipids Health Dis. 2025 Apr 16;24(1):146. doi: 10.1186/s12944-025-02553-2.
4
FlaA N/C attenuates radiation-induced lung injury by promoting NAIP/NLRC4/ASC inflammasome autophagy and inhibiting pyroptosis.鞭毛蛋白A的N/C端通过促进NAIP/NLRC4/ASC炎性小体自噬和抑制细胞焦亡来减轻辐射诱导的肺损伤。
J Transl Med. 2025 Feb 27;23(1):237. doi: 10.1186/s12967-025-06257-0.
5
The role of autophagy in brain health and disease: Insights into exosome and autophagy interactions.自噬在脑健康与疾病中的作用:对外泌体与自噬相互作用的见解
Heliyon. 2024 Oct 4;10(21):e38959. doi: 10.1016/j.heliyon.2024.e38959. eCollection 2024 Nov 15.
6
Hypericum sampsonii ameliorates radiodermatitis by inhibiting NLRP3 inflammasome activation.金丝桃属植物通过抑制 NLRP3 炎性小体激活来改善放射性皮炎。
Skin Res Technol. 2024 Sep;30(9):e70047. doi: 10.1111/srt.70047.
7
Mechanisms of radiation-induced tissue damage and response.辐射诱导的组织损伤和反应机制。
MedComm (2020). 2024 Sep 20;5(10):e725. doi: 10.1002/mco2.725. eCollection 2024 Oct.
8
Insights on E1-like enzyme ATG7: functional regulation and relationships with aging-related diseases.E1 样酶 ATG7 的作用机制及其与衰老相关疾病的关系研究进展。
Commun Biol. 2024 Mar 29;7(1):382. doi: 10.1038/s42003-024-06080-1.
海藻糖通过调节 TIMP3 和 ATG9A 激活自噬来保护角质形成细胞免受紫外线 B 辐射的损伤。
Oxid Med Cell Longev. 2022 Apr 12;2022:9366494. doi: 10.1155/2022/9366494. eCollection 2022.
4
Kinsenoside Protects Against Radiation-Induced Liver Fibrosis Downregulating Connective Tissue Growth Factor Through TGF-1 Signaling.金参苷通过TGF-β1信号通路下调结缔组织生长因子,从而预防辐射诱导的肝纤维化。
Front Pharmacol. 2022 Jan 21;13:808576. doi: 10.3389/fphar.2022.808576. eCollection 2022.
5
Dexrazoxane ameliorates radiation-induced heart disease in a rat model.地塞米松减轻大鼠模型的放射性心脏病。
Aging (Albany NY). 2021 Jan 2;13(3):3699-3711. doi: 10.18632/aging.202332.
6
Autophagy in Human Diseases.人类疾病中的自噬
N Engl J Med. 2020 Oct 15;383(16):1564-1576. doi: 10.1056/NEJMra2022774.
7
Aerosolized Thyroid Hormone Prevents Radiation Induced Lung Fibrosis.雾化甲状腺激素可预防辐射诱导的肺纤维化。
Front Oncol. 2020 Sep 15;10:528686. doi: 10.3389/fonc.2020.528686. eCollection 2020.
8
Resveratrol inhibits hypertrophic scars formation by activating autophagy via the miR-4654/Rheb axis.白藜芦醇通过 miR-4654/Rheb 轴激活自噬抑制增生性瘢痕形成。
Mol Med Rep. 2020 Oct;22(4):3440-3452. doi: 10.3892/mmr.2020.11407. Epub 2020 Aug 4.
9
Keratinocyte autophagy enables the activation of keratinocytes and fibroblastsand facilitates wound healing.角质形成细胞自噬能够激活角质形成细胞和成纤维细胞,并促进伤口愈合。
Autophagy. 2021 Sep;17(9):2128-2143. doi: 10.1080/15548627.2020.1816342. Epub 2020 Sep 18.
10
Whole brain radiotherapy induces cognitive dysfunction in mice: key role of gut microbiota.全脑放疗诱导小鼠认知功能障碍:肠道微生物群的关键作用。
Psychopharmacology (Berl). 2020 Jul;237(7):2089-2101. doi: 10.1007/s00213-020-05520-0. Epub 2020 Jun 3.