• 文献检索
  • 文档翻译
  • 深度研究
  • 学术资讯
  • Suppr Zotero 插件Zotero 插件
  • 邀请有礼
  • 套餐&价格
  • 历史记录
应用&插件
Suppr Zotero 插件Zotero 插件浏览器插件Mac 客户端Windows 客户端微信小程序
定价
高级版会员购买积分包购买API积分包
服务
文献检索文档翻译深度研究API 文档MCP 服务
关于我们
关于 Suppr公司介绍联系我们用户协议隐私条款
关注我们

Suppr 超能文献

核心技术专利:CN118964589B侵权必究
粤ICP备2023148730 号-1Suppr @ 2026

文献检索

告别复杂PubMed语法,用中文像聊天一样搜索,搜遍4000万医学文献。AI智能推荐,让科研检索更轻松。

立即免费搜索

文件翻译

保留排版,准确专业,支持PDF/Word/PPT等文件格式,支持 12+语言互译。

免费翻译文档

深度研究

AI帮你快速写综述,25分钟生成高质量综述,智能提取关键信息,辅助科研写作。

立即免费体验

肺部对孢子的炎症反应特征

Characterization of Lung Inflammatory Response to Spores.

作者信息

Bouyssi Alexandra, Déméautis Tanguy, Trecourt Alexis, Delles Marie, Agostini Fany, Monneret Guillaume, Glehen Olivier, Wallon Martine, Persat Florence, Devouassoux Gilles, Bentaher Abderrazzak, Menotti Jean

机构信息

UR3738 Centre pour l'lnnovation en Cancérologie de Lyon, Team Inflammation and Immunity of the Respiratory Epithelium, Claude Bernard University-Lyon 1, 69495 Pierre Bénite, France.

Department of Pathology, South Lyon Hospital, Hospices Civils de Lyon, 69495 Pierre Bénite, France.

出版信息

J Fungi (Basel). 2023 Jun 17;9(6):682. doi: 10.3390/jof9060682.

DOI:10.3390/jof9060682
PMID:37367618
原文链接:https://pmc.ncbi.nlm.nih.gov/articles/PMC10305343/
Abstract

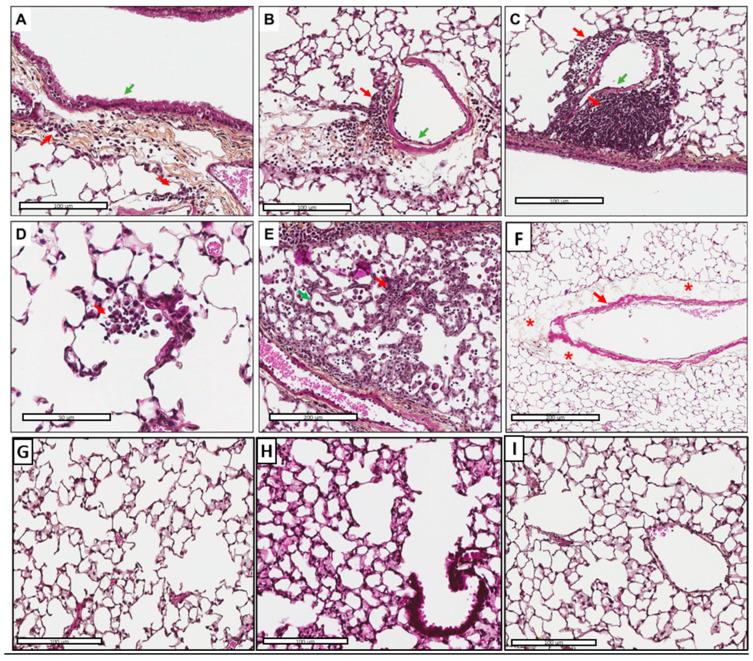
The airway exposure to spores (AFsp) is associated with an inflammatory response, potentially leading to allergic and/or chronic pulmonary aspergillosis. The aim of our study is to better understand the host response, first in vitro, then in vivo, following the chronic exposure of mice to AFsp. We investigated the inflammatory response to AFsp in cell mono- and co-culture systems with murine macrophages and alveolar epithelial cells. The mice were subjected to two intranasal instillations using 10 AFsp. Their lungs were processed for inflammatory and histopathological analyses. In cell culture, the gene expressions significantly increased for TNF-α, CXCL-1, CXCL-2, IL-1β, IL-1α and GM-CSF in macrophages, with these increases being limited for TNF-α, CXCL-1 and IL-1α in epithelial cells. In co-culture, increases in the TNF-α, CXCL-2 and CXCL-1 gene expressions were observed to be associated with increased protein levels. The in vivo lung histological analyses of mice challenged by AFsp showed cellular infiltrates in the peribronchial and/or alveolar spaces. A Bio-Plex approach on the bronchoalveolar lavage revealed significant increases in the protein secretion of selected mediators of the challenged mice compared to the unchallenged mice. In conclusion, the exposure to AFsp resulted in a marked inflammatory response of macrophages and epithelial cells. These inflammatory findings were confirmed in mouse models associated with lung histologic changes.

摘要

气道暴露于孢子(AFsp)与炎症反应相关,可能导致变应性和/或慢性肺曲霉病。我们研究的目的是更好地了解小鼠长期暴露于AFsp后,首先在体外,然后在体内的宿主反应。我们在小鼠巨噬细胞和肺泡上皮细胞的细胞单培养和共培养系统中研究了对AFsp的炎症反应。给小鼠进行两次鼻内滴注10个AFsp。对它们的肺进行炎症和组织病理学分析。在细胞培养中,巨噬细胞中TNF-α、CXCL-1、CXCL-2、IL-1β、IL-1α和GM-CSF的基因表达显著增加,而上皮细胞中TNF-α、CXCL-1和IL-1α的增加有限。在共培养中,观察到TNF-α、CXCL-2和CXCL-1基因表达的增加与蛋白质水平的增加相关。对受AFsp攻击的小鼠进行的体内肺组织学分析显示,支气管周围和/或肺泡间隙有细胞浸润。支气管肺泡灌洗的生物芯片方法显示,与未受攻击的小鼠相比,受攻击小鼠的选定介质的蛋白质分泌显著增加。总之,暴露于AFsp导致巨噬细胞和上皮细胞出现明显的炎症反应。这些炎症发现在与肺组织学变化相关的小鼠模型中得到了证实。

https://cdn.ncbi.nlm.nih.gov/pmc/blobs/587e/10305343/447269161650/jof-09-00682-g008.jpg
https://cdn.ncbi.nlm.nih.gov/pmc/blobs/587e/10305343/f3820912355b/jof-09-00682-g001.jpg
https://cdn.ncbi.nlm.nih.gov/pmc/blobs/587e/10305343/46882dc9f73f/jof-09-00682-g002.jpg
https://cdn.ncbi.nlm.nih.gov/pmc/blobs/587e/10305343/b4d5f6378326/jof-09-00682-g003.jpg
https://cdn.ncbi.nlm.nih.gov/pmc/blobs/587e/10305343/c546f24237b9/jof-09-00682-g004.jpg
https://cdn.ncbi.nlm.nih.gov/pmc/blobs/587e/10305343/e5892862d1db/jof-09-00682-g005.jpg
https://cdn.ncbi.nlm.nih.gov/pmc/blobs/587e/10305343/943409949ae7/jof-09-00682-g006.jpg
https://cdn.ncbi.nlm.nih.gov/pmc/blobs/587e/10305343/55138575e7af/jof-09-00682-g007.jpg
https://cdn.ncbi.nlm.nih.gov/pmc/blobs/587e/10305343/447269161650/jof-09-00682-g008.jpg
https://cdn.ncbi.nlm.nih.gov/pmc/blobs/587e/10305343/f3820912355b/jof-09-00682-g001.jpg
https://cdn.ncbi.nlm.nih.gov/pmc/blobs/587e/10305343/46882dc9f73f/jof-09-00682-g002.jpg
https://cdn.ncbi.nlm.nih.gov/pmc/blobs/587e/10305343/b4d5f6378326/jof-09-00682-g003.jpg
https://cdn.ncbi.nlm.nih.gov/pmc/blobs/587e/10305343/c546f24237b9/jof-09-00682-g004.jpg
https://cdn.ncbi.nlm.nih.gov/pmc/blobs/587e/10305343/e5892862d1db/jof-09-00682-g005.jpg
https://cdn.ncbi.nlm.nih.gov/pmc/blobs/587e/10305343/943409949ae7/jof-09-00682-g006.jpg
https://cdn.ncbi.nlm.nih.gov/pmc/blobs/587e/10305343/55138575e7af/jof-09-00682-g007.jpg
https://cdn.ncbi.nlm.nih.gov/pmc/blobs/587e/10305343/447269161650/jof-09-00682-g008.jpg

相似文献

1
Characterization of Lung Inflammatory Response to Spores.肺部对孢子的炎症反应特征
J Fungi (Basel). 2023 Jun 17;9(6):682. doi: 10.3390/jof9060682.
2
Vitamin D reduces autophagy by regulating NF-κB resistance to Aspergillus fumigatus infection.维生素 D 通过调节 NF-κB 抵抗烟曲霉感染来减少自噬。
Gene. 2020 Aug 30;753:144819. doi: 10.1016/j.gene.2020.144819. Epub 2020 May 30.
3
Chlorine gas exposure increases susceptibility to invasive lung fungal infection.氯气暴露会增加侵袭性肺部真菌感染的易感性。
Am J Physiol Lung Cell Mol Physiol. 2013 Jun 1;304(11):L765-73. doi: 10.1152/ajplung.00030.2013. Epub 2013 Apr 5.
4
Cytokine and chemokine responses following pulmonary challenge with Aspergillus fumigatus: obligatory role of TNF-alpha and GM-CSF in neutrophil recruitment.烟曲霉肺部攻击后细胞因子和趋化因子的反应:肿瘤坏死因子-α和粒细胞-巨噬细胞集落刺激因子在中性粒细胞募集中的关键作用
Med Mycol. 1999 Jun;37(3):183-94. doi: 10.1046/j.1365-280x.1999.00219.x.
5
Three-Dimensional Light Sheet Fluorescence Microscopy of Lungs To Dissect Local Host Immune-Aspergillus fumigatus Interactions.肺部三维光片荧光显微镜检查以剖析局部宿主免疫-烟曲霉相互作用。
mBio. 2020 Feb 4;11(1):e02752-19. doi: 10.1128/mBio.02752-19.
6
PU.1-CD23 signaling mediates pulmonary innate immunity against Aspergillus fumigatus infection by driving inflammatory response.PU.1-CD23 信号通过驱动炎症反应介导肺部固有免疫抵抗烟曲霉感染。
BMC Immunol. 2023 Jan 17;24(1):4. doi: 10.1186/s12865-023-00539-2.
7
Airway remodeling is absent in CCR1-/- mice during chronic fungal allergic airway disease.在慢性真菌过敏性气道疾病期间,CCR1基因敲除小鼠不存在气道重塑现象。
J Immunol. 2000 Aug 1;165(3):1564-72. doi: 10.4049/jimmunol.165.3.1564.
8
IL-1α signaling is critical for leukocyte recruitment after pulmonary Aspergillus fumigatus challenge.白细胞介素-1α信号传导对于肺部烟曲霉攻击后的白细胞募集至关重要。
PLoS Pathog. 2015 Jan 28;11(1):e1004625. doi: 10.1371/journal.ppat.1004625. eCollection 2015 Jan.
9
Expression of the protein serum amyloid A in response to Aspergillus fumigatus in murine models of allergic airway inflammation.在变应性气道炎症小鼠模型中,血清淀粉样蛋白A蛋白对烟曲霉的应答表达。
Rev Iberoam Micol. 2015 Jan-Mar;32(1):25-9. doi: 10.1016/j.riam.2013.03.005. Epub 2013 Apr 17.
10
An inhalation model of airway allergic response to inhalation of environmental Aspergillus fumigatus conidia in sensitized BALB/c mice.致敏 BALB/c 小鼠吸入环境烟曲霉分生孢子后气道过敏反应的吸入模型。
Med Mycol. 2010 Dec;48(8):1056-65. doi: 10.3109/13693786.2010.485582. Epub 2010 May 20.

引用本文的文献

1
Proteomic characterization of - host interactions using the pig lung (EVPL) model.使用猪肺(EVPL)模型对宿主相互作用进行蛋白质组学表征。
Virulence. 2025 Dec;16(1):2530675. doi: 10.1080/21505594.2025.2530675. Epub 2025 Jul 15.
2
Immune modulating effects of continuous bioaerosol and terpene exposure over three years among sawmill workers in Norway.挪威锯木厂工人连续三年暴露于生物气溶胶和萜烯中的免疫调节作用。
Scand J Work Environ Health. 2025 Sep 1;51(5):433-443. doi: 10.5271/sjweh.4240. Epub 2025 Jul 8.
3
Aspergillus fumigatus is responsible for inflammation in a murine model of chronic obstructive pulmonary disease exacerbation.

本文引用的文献

1
Chronic Occupational Mold Exposure Drives Expansion of -Reactive Type 1 and Type 2 T-Helper Cell Responses.慢性职业性霉菌暴露促使针对霉菌的1型和2型辅助性T细胞反应扩增。
J Fungi (Basel). 2021 Aug 27;7(9):698. doi: 10.3390/jof7090698.
2
Invasive pulmonary aspergillosis associated with viral pneumonitis.侵袭性肺曲霉病合并病毒性肺炎。
Curr Opin Microbiol. 2021 Aug;62:21-27. doi: 10.1016/j.mib.2021.04.006. Epub 2021 May 23.
3
Dual vaccination against IL-4 and IL-13 protects against chronic allergic asthma in mice.抗 IL-4 和 IL-13 双重疫苗接种可预防小鼠慢性过敏性哮喘。
烟曲霉在慢性阻塞性肺疾病加重的小鼠模型中引发炎症。
Respir Res. 2025 Jan 18;26(1):25. doi: 10.1186/s12931-024-03092-7.
4
Spatiotemporal modeling quantifies cellular contributions to uptake of Aspergillus fumigatus in the human lung.时空建模量化了细胞对人类肺部烟曲霉摄取的贡献。
Commun Biol. 2024 Dec 4;7(1):1615. doi: 10.1038/s42003-024-07302-2.
5
Nanotechnology-Based Drug Delivery Systems to Control Bacterial-Biofilm-Associated Lung Infections.基于纳米技术的药物递送系统用于控制细菌生物膜相关的肺部感染。
Pharmaceutics. 2023 Nov 3;15(11):2582. doi: 10.3390/pharmaceutics15112582.
Nat Commun. 2021 May 11;12(1):2574. doi: 10.1038/s41467-021-22834-5.
4
Pulmonary aspergillosis in critically ill patients with Coronavirus Disease 2019 (COVID-19).COVID-19 相关危重症患者的肺部曲霉病。
Med Mycol. 2021 Jan 4;59(1):110-114. doi: 10.1093/mmy/myaa078.
5
Invasive Pulmonary Aspergillosis in Chronic Obstructive Pulmonary Disease Exacerbations.慢性阻塞性肺疾病加重期的侵袭性肺曲霉病。
Semin Respir Crit Care Med. 2020 Dec;41(6):851-861. doi: 10.1055/s-0040-1702210. Epub 2020 Jun 29.
6
Th2 cells promote eosinophil-independent pathology in a murine model of allergic bronchopulmonary aspergillosis.Th2 细胞促进变应性支气管肺曲霉病小鼠模型中嗜酸性粒细胞非依赖性的病理学改变。
Eur J Immunol. 2020 Jul;50(7):1044-1056. doi: 10.1002/eji.201948411. Epub 2020 Mar 8.
7
Invasive Pulmonary Aspergillosis.侵袭性肺曲霉病。
Semin Respir Crit Care Med. 2020 Feb;41(1):80-98. doi: 10.1055/s-0039-3401990. Epub 2020 Jan 30.
8
Critical role of CCL4 in eosinophil recruitment into the airway.CCL4 在嗜酸性粒细胞向气道募集中的关键作用。
Clin Exp Allergy. 2019 Jun;49(6):853-860. doi: 10.1111/cea.13382. Epub 2019 Mar 29.
9
Global and Multi-National Prevalence of Fungal Diseases-Estimate Precision.全球及多国真菌病患病率——估计精度
J Fungi (Basel). 2017 Oct 18;3(4):57. doi: 10.3390/jof3040057.
10
Circulating DNA Is Quantitatively Correlated to Galactomannan in Serum.循环DNA与血清中的半乳甘露聚糖在数量上相关。
Front Microbiol. 2017 Oct 31;8:2040. doi: 10.3389/fmicb.2017.02040. eCollection 2017.