• 文献检索
  • 文档翻译
  • 深度研究
  • 学术资讯
  • Suppr Zotero 插件Zotero 插件
  • 邀请有礼
  • 套餐&价格
  • 历史记录
应用&插件
Suppr Zotero 插件Zotero 插件浏览器插件Mac 客户端Windows 客户端微信小程序
定价
高级版会员购买积分包购买API积分包
服务
文献检索文档翻译深度研究API 文档MCP 服务
关于我们
关于 Suppr公司介绍联系我们用户协议隐私条款
关注我们

Suppr 超能文献

核心技术专利:CN118964589B侵权必究
粤ICP备2023148730 号-1Suppr @ 2026

文献检索

告别复杂PubMed语法,用中文像聊天一样搜索,搜遍4000万医学文献。AI智能推荐,让科研检索更轻松。

立即免费搜索

文件翻译

保留排版,准确专业,支持PDF/Word/PPT等文件格式,支持 12+语言互译。

免费翻译文档

深度研究

AI帮你快速写综述,25分钟生成高质量综述,智能提取关键信息,辅助科研写作。

立即免费体验

应用抗精神病药、苯丙胺和多潘立酮导致的先天性血管功能衰竭迅速在大鼠中诱发严重闭塞/类闭塞综合征,稳定的胃十五肽BPC 157作为治疗药物。

Innate Vascular Failure by Application of Neuroleptics, Amphetamine, and Domperidone Rapidly Induced Severe Occlusion/Occlusion-like Syndromes in Rats and Stable Gastric Pentadecapeptide BPC 157 as Therapy.

作者信息

Strbe Sanja, Smoday Ivan Maria, Krezic Ivan, Kalogjera Luka, Vukovic Vlasta, Zizek Helena, Gojkovic Slaven, Vranes Hrvoje, Barisic Ivan, Sikiric Suncana, Tepes Marijan, Oroz Katarina, Brkic Filip, Drinkovic Martin, Beketic Oreskovic Lidija, Popic Jelena, Boban Blagaic Alenka, Skrtic Anita, Staresinic Mario, Seiwerth Sven, Sikiric Predrag

机构信息

Department of Pharmacology, School of Medicine, University of Zagreb, 10000 Zagreb, Croatia.

Department of Pathology, School of Medicine, University of Zagreb, 10000 Zagreb, Croatia.

出版信息

Pharmaceuticals (Basel). 2023 May 25;16(6):788. doi: 10.3390/ph16060788.

DOI:10.3390/ph16060788
PMID:37375736
原文链接:https://pmc.ncbi.nlm.nih.gov/articles/PMC10303627/
Abstract

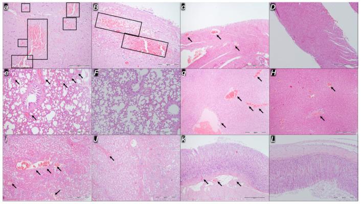
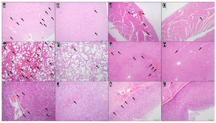
Even before behavioral disturbances, neuroleptics, amphetamine, and domperidone application rapidly emerged severe occlusion/occlusion-like syndrome, shared innate vascular and multiorgan failure in rats, comparable to occlusion/occlusion-like syndrome described with vessel(s) occlusion or similar noxious procedures application. As therapy, i.e., activation of the collateral pathways, "bypassing key" (activated azygos vein pathway, direct blood flow delivery), the stable gastric pentadecapeptide BPC 157 is a novel solution. Recently, BPC 157 therapy particularly counteracted neuroleptic- or L-NAME-induced catalepsy, lithium intoxication, and schizophrenia positive and negative symptoms (amphetamine/methamphetamine/apomorphine/ketamine). In rats with complete calvariectomy, medication (BPC 157 10 µg/kg, 10 ng/kg ip or ig) was given 5 min after distinctive dopamine agents (mg/kg ip) (haloperidol (5), fluphenazine (5), clozapine (10), risperidone (5), olanzapine (10), quetiapine (10), or aripiprazole (10), domperidone (25), amphetamine (10), and combined amphetamine and haloperidol) and assessed at 15 min thereafter. All neuroleptic-, domperidone-, and amphetamine-induced comparable vascular and multiorgan failure severe syndrome was alleviated with BPC 157 therapy as before major vessel(s) occlusion or other similar noxious procedures. Specifically, all severe lesions in the brain (i.e., immediate swelling, hemorrhage), heart (i.e., congestion, arrhythmias), and lung (i.e., congestion, hemorrhage), as well as congestion in the liver, kidney, and gastrointestinal (stomach) tract, were resolved. Intracranial (superior sagittal sinus), portal, and caval hypertension and aortal hypotension were attenuated or eliminated. BPC 157 therapy almost annihilated arterial and venous thrombosis, peripherally and centrally. Thus, rapidly acting Virchow triad circumstances that occur as dopamine central/peripheral antagonists and agonist essential class-points, fully reversed by BPC 157 therapy, might be overwhelming for both neuroleptics and amphetamine.

摘要

甚至在出现行为障碍之前,应用抗精神病药物、苯丙胺和多潘立酮后,大鼠迅速出现严重的闭塞/类闭塞综合征,伴有先天性血管和多器官功能衰竭,这与因血管闭塞或类似有害操作所描述的闭塞/类闭塞综合征相似。作为治疗方法,即激活侧支循环途径,“绕过关键部位”(激活奇静脉途径,直接输送血流),稳定的胃十五肽BPC 157是一种新的解决方案。最近,BPC 157治疗特别对抗了抗精神病药物或L-精氨酸甲酯诱导的僵住症、锂中毒以及精神分裂症的阳性和阴性症状(苯丙胺/甲基苯丙胺/阿扑吗啡/氯胺酮)。在完全颅骨切除的大鼠中,在给予不同的多巴胺药物(毫克/千克,腹腔注射)(氟哌啶醇(5)、氟奋乃静(5)、氯氮平(10)、利培酮(5)、奥氮平(10)、喹硫平(10)或阿立哌唑(10)、多潘立酮(25)、苯丙胺(10)以及苯丙胺与氟哌啶醇联合使用)5分钟后给予药物(BPC 157 10微克/千克,10纳克/千克,腹腔注射或灌胃),并在15分钟后进行评估。与主要血管闭塞或其他类似有害操作之前一样,BPC 157治疗缓解了所有抗精神病药物、多潘立酮和苯丙胺诱导的类似血管和多器官功能衰竭的严重综合征。具体而言,大脑中的所有严重病变(即立即肿胀、出血)、心脏(即充血、心律失常)和肺部(即充血、出血),以及肝脏、肾脏和胃肠道(胃)的充血均得到解决。颅内(上矢状窦)、门静脉和腔静脉高压以及主动脉低血压得到减轻或消除。BPC 157治疗几乎消除了外周和中枢的动脉和静脉血栓形成。因此,作为多巴胺中枢/外周拮抗剂和激动剂的基本类要点而出现的快速起效的维氏三联征情况,被BPC 157治疗完全逆转,这对抗精神病药物和苯丙胺来说可能都是压倒性的。

https://cdn.ncbi.nlm.nih.gov/pmc/blobs/41fb/10303627/f0356c1b4c12/pharmaceuticals-16-00788-g018.jpg
https://cdn.ncbi.nlm.nih.gov/pmc/blobs/41fb/10303627/dd66cf20e749/pharmaceuticals-16-00788-g001.jpg
https://cdn.ncbi.nlm.nih.gov/pmc/blobs/41fb/10303627/82b8cc0496b3/pharmaceuticals-16-00788-g002.jpg
https://cdn.ncbi.nlm.nih.gov/pmc/blobs/41fb/10303627/55bf410749c7/pharmaceuticals-16-00788-g003.jpg
https://cdn.ncbi.nlm.nih.gov/pmc/blobs/41fb/10303627/1e73dfb7b5a5/pharmaceuticals-16-00788-g004.jpg
https://cdn.ncbi.nlm.nih.gov/pmc/blobs/41fb/10303627/5f74040cffa6/pharmaceuticals-16-00788-g005.jpg
https://cdn.ncbi.nlm.nih.gov/pmc/blobs/41fb/10303627/336299b6743e/pharmaceuticals-16-00788-g006.jpg
https://cdn.ncbi.nlm.nih.gov/pmc/blobs/41fb/10303627/cba2d9f1d885/pharmaceuticals-16-00788-g007.jpg
https://cdn.ncbi.nlm.nih.gov/pmc/blobs/41fb/10303627/96654258e653/pharmaceuticals-16-00788-g008.jpg
https://cdn.ncbi.nlm.nih.gov/pmc/blobs/41fb/10303627/f5d6dd14908a/pharmaceuticals-16-00788-g009.jpg
https://cdn.ncbi.nlm.nih.gov/pmc/blobs/41fb/10303627/9d48b9f91054/pharmaceuticals-16-00788-g010.jpg
https://cdn.ncbi.nlm.nih.gov/pmc/blobs/41fb/10303627/9ed9b38a1b40/pharmaceuticals-16-00788-g011.jpg
https://cdn.ncbi.nlm.nih.gov/pmc/blobs/41fb/10303627/94c6ce6b338b/pharmaceuticals-16-00788-g012.jpg
https://cdn.ncbi.nlm.nih.gov/pmc/blobs/41fb/10303627/4168c87085b4/pharmaceuticals-16-00788-g013.jpg
https://cdn.ncbi.nlm.nih.gov/pmc/blobs/41fb/10303627/4493982295fd/pharmaceuticals-16-00788-g014.jpg
https://cdn.ncbi.nlm.nih.gov/pmc/blobs/41fb/10303627/d8653a3bc2cf/pharmaceuticals-16-00788-g015.jpg
https://cdn.ncbi.nlm.nih.gov/pmc/blobs/41fb/10303627/fb2525fff8af/pharmaceuticals-16-00788-g016.jpg
https://cdn.ncbi.nlm.nih.gov/pmc/blobs/41fb/10303627/37bf7afdf538/pharmaceuticals-16-00788-g017.jpg
https://cdn.ncbi.nlm.nih.gov/pmc/blobs/41fb/10303627/f0356c1b4c12/pharmaceuticals-16-00788-g018.jpg
https://cdn.ncbi.nlm.nih.gov/pmc/blobs/41fb/10303627/dd66cf20e749/pharmaceuticals-16-00788-g001.jpg
https://cdn.ncbi.nlm.nih.gov/pmc/blobs/41fb/10303627/82b8cc0496b3/pharmaceuticals-16-00788-g002.jpg
https://cdn.ncbi.nlm.nih.gov/pmc/blobs/41fb/10303627/55bf410749c7/pharmaceuticals-16-00788-g003.jpg
https://cdn.ncbi.nlm.nih.gov/pmc/blobs/41fb/10303627/1e73dfb7b5a5/pharmaceuticals-16-00788-g004.jpg
https://cdn.ncbi.nlm.nih.gov/pmc/blobs/41fb/10303627/5f74040cffa6/pharmaceuticals-16-00788-g005.jpg
https://cdn.ncbi.nlm.nih.gov/pmc/blobs/41fb/10303627/336299b6743e/pharmaceuticals-16-00788-g006.jpg
https://cdn.ncbi.nlm.nih.gov/pmc/blobs/41fb/10303627/cba2d9f1d885/pharmaceuticals-16-00788-g007.jpg
https://cdn.ncbi.nlm.nih.gov/pmc/blobs/41fb/10303627/96654258e653/pharmaceuticals-16-00788-g008.jpg
https://cdn.ncbi.nlm.nih.gov/pmc/blobs/41fb/10303627/f5d6dd14908a/pharmaceuticals-16-00788-g009.jpg
https://cdn.ncbi.nlm.nih.gov/pmc/blobs/41fb/10303627/9d48b9f91054/pharmaceuticals-16-00788-g010.jpg
https://cdn.ncbi.nlm.nih.gov/pmc/blobs/41fb/10303627/9ed9b38a1b40/pharmaceuticals-16-00788-g011.jpg
https://cdn.ncbi.nlm.nih.gov/pmc/blobs/41fb/10303627/94c6ce6b338b/pharmaceuticals-16-00788-g012.jpg
https://cdn.ncbi.nlm.nih.gov/pmc/blobs/41fb/10303627/4168c87085b4/pharmaceuticals-16-00788-g013.jpg
https://cdn.ncbi.nlm.nih.gov/pmc/blobs/41fb/10303627/4493982295fd/pharmaceuticals-16-00788-g014.jpg
https://cdn.ncbi.nlm.nih.gov/pmc/blobs/41fb/10303627/d8653a3bc2cf/pharmaceuticals-16-00788-g015.jpg
https://cdn.ncbi.nlm.nih.gov/pmc/blobs/41fb/10303627/fb2525fff8af/pharmaceuticals-16-00788-g016.jpg
https://cdn.ncbi.nlm.nih.gov/pmc/blobs/41fb/10303627/37bf7afdf538/pharmaceuticals-16-00788-g017.jpg
https://cdn.ncbi.nlm.nih.gov/pmc/blobs/41fb/10303627/f0356c1b4c12/pharmaceuticals-16-00788-g018.jpg

相似文献

1
Innate Vascular Failure by Application of Neuroleptics, Amphetamine, and Domperidone Rapidly Induced Severe Occlusion/Occlusion-like Syndromes in Rats and Stable Gastric Pentadecapeptide BPC 157 as Therapy.应用抗精神病药、苯丙胺和多潘立酮导致的先天性血管功能衰竭迅速在大鼠中诱发严重闭塞/类闭塞综合征,稳定的胃十五肽BPC 157作为治疗药物。
Pharmaceuticals (Basel). 2023 May 25;16(6):788. doi: 10.3390/ph16060788.
2
Stomach perforation-induced general occlusion/occlusion-like syndrome and stable gastric pentadecapeptide BPC 157 therapy effect.胃穿孔致全闭塞/闭塞样综合征与胃十五肽 BPC 157 的稳定治疗效果。
World J Gastroenterol. 2023 Jul 21;29(27):4289-4316. doi: 10.3748/wjg.v29.i27.4289.
3
Pentadecapeptide BPC 157 as Therapy for Inferior Caval Vein Embolization: Recovery of Sodium Laurate-Post-Embolization Syndrome in Rats.十五肽BPC 157治疗下腔静脉栓塞:大鼠月桂酸钠栓塞后综合征的恢复情况
Pharmaceuticals (Basel). 2023 Oct 23;16(10):1507. doi: 10.3390/ph16101507.
4
Stable Gastric Pentadecapeptide BPC 157 Therapy: Effect on Reperfusion Following Maintained Intra-Abdominal Hypertension (Grade III and IV) in Rats.稳定型胃十五肽BPC 157治疗:对大鼠持续性腹内高压(III级和IV级)后再灌注的影响
Pharmaceuticals (Basel). 2023 Nov 2;16(11):1554. doi: 10.3390/ph16111554.
5
Antiarrhythmic Sotalol, Occlusion/Occlusion-like Syndrome in Rats, and Stable Gastric Pentadecapeptide BPC 157 Therapy.抗心律失常药物索他洛尔、大鼠的闭塞/类闭塞综合征以及稳定型胃十五肽BPC 157治疗
Pharmaceuticals (Basel). 2023 Jul 7;16(7):977. doi: 10.3390/ph16070977.
6
Therapy Effect of the Stable Gastric Pentadecapeptide BPC 157 on Acute Pancreatitis as Vascular Failure-Induced Severe Peripheral and Central Syndrome in Rats.稳定型胃十五肽BPC 157对大鼠急性胰腺炎的治疗作用,急性胰腺炎为血管衰竭诱导的严重外周和中枢综合征
Biomedicines. 2022 Jun 1;10(6):1299. doi: 10.3390/biomedicines10061299.
7
Over-Dose Lithium Toxicity as an Occlusive-like Syndrome in Rats and Gastric Pentadecapeptide BPC 157.大鼠中锂过量毒性作为一种类似闭塞综合征及胃十五肽BPC 157
Biomedicines. 2021 Oct 20;9(11):1506. doi: 10.3390/biomedicines9111506.
8
Occlusion of the Superior Mesenteric Artery in Rats Reversed by Collateral Pathways Activation: Gastric Pentadecapeptide BPC 157 Therapy Counteracts Multiple Organ Dysfunction Syndrome; Intracranial, Portal, and Caval Hypertension; and Aortal Hypotension.大鼠肠系膜上动脉闭塞通过侧支循环激活得以逆转:胃十五肽BPC 157疗法可对抗多器官功能障碍综合征、颅内、门静脉和腔静脉高压以及主动脉低血压。
Biomedicines. 2021 May 26;9(6):609. doi: 10.3390/biomedicines9060609.
9
Stable Gastric Pentadecapeptide BPC 157 May Recover Brain-Gut Axis and Gut-Brain Axis Function.稳定的胃十五肽BPC 157可能恢复脑-肠轴和肠-脑轴功能。
Pharmaceuticals (Basel). 2023 Apr 30;16(5):676. doi: 10.3390/ph16050676.
10
BPC 157 Therapy and the Permanent Occlusion of the Superior Sagittal Sinus in Rat: Vascular Recruitment.BPC 157治疗与大鼠上矢状窦永久性闭塞:血管新生
Biomedicines. 2021 Jun 28;9(7):744. doi: 10.3390/biomedicines9070744.

引用本文的文献

1
Stable Gastric Pentadecapeptide BPC 157 as a Therapy and Safety Key: A Special Beneficial Pleiotropic Effect Controlling and Modulating Angiogenesis and the NO-System.稳定的胃十五肽BPC 157作为治疗和安全关键:控制和调节血管生成及一氧化氮系统的特殊有益多效性作用
Pharmaceuticals (Basel). 2025 Jun 19;18(6):928. doi: 10.3390/ph18060928.
2
Acute Compartment Syndrome and Intra-Abdominal Hypertension, Decompression, Current Pharmacotherapy, and Stable Gastric Pentadecapeptide BPC 157 Solution.急性筋膜室综合征与腹腔内高压、减压、当前药物治疗以及稳定型胃十五肽BPC 157溶液
Pharmaceuticals (Basel). 2025 Jun 10;18(6):866. doi: 10.3390/ph18060866.
3

本文引用的文献

1
Stable Gastric Pentadecapeptide BPC 157 May Recover Brain-Gut Axis and Gut-Brain Axis Function.稳定的胃十五肽BPC 157可能恢复脑-肠轴和肠-脑轴功能。
Pharmaceuticals (Basel). 2023 Apr 30;16(5):676. doi: 10.3390/ph16050676.
2
Stable Gastric Pentadecapeptide BPC 157 and Striated, Smooth, and Heart Muscle.稳定的胃十五肽BPC 157与横纹肌、平滑肌和心肌
Biomedicines. 2022 Dec 12;10(12):3221. doi: 10.3390/biomedicines10123221.
3
Fourier Transform Infrared Spectroscopy Reveals Molecular Changes in Blood Vessels of Rats Treated with Pentadecapeptide BPC 157.
Stable Gastric Pentadecapeptide BPC 157 and Intestinal Anastomoses Therapy in Rats-A Review.
稳定的胃十五肽BPC 157与大鼠肠吻合术治疗——综述
Pharmaceuticals (Basel). 2024 Aug 17;17(8):1081. doi: 10.3390/ph17081081.
4
New studies with stable gastric pentadecapeptide protecting gastrointestinal tract. significance of counteraction of vascular and multiorgan failure of occlusion/occlusion-like syndrome in cytoprotection/organoprotection.新的研究表明,稳定的胃十五肽对胃肠道有保护作用。在细胞保护/器官保护中,对抗血管和多器官衰竭闭塞/类似闭塞综合征的作用具有重要意义。
Inflammopharmacology. 2024 Oct;32(5):3119-3161. doi: 10.1007/s10787-024-01499-8. Epub 2024 Jul 9.
5
The Stable Gastric Pentadecapeptide BPC 157 Pleiotropic Beneficial Activity and Its Possible Relations with Neurotransmitter Activity.稳定的胃十五肽BPC 157的多效有益活性及其与神经递质活性的可能关系。
Pharmaceuticals (Basel). 2024 Apr 3;17(4):461. doi: 10.3390/ph17040461.
6
From Selye's and Szabo's Cysteamine-Duodenal Ulcer in Rats to Dopamine in the Stomach: Therapy Significance and Possibilities.从塞利和萨博关于大鼠半胱胺性十二指肠溃疡的研究到胃中多巴胺:治疗意义与可能性
Pharmaceuticals (Basel). 2023 Dec 7;16(12):1699. doi: 10.3390/ph16121699.
7
Stable Gastric Pentadecapeptide BPC 157 Therapy: Effect on Reperfusion Following Maintained Intra-Abdominal Hypertension (Grade III and IV) in Rats.稳定型胃十五肽BPC 157治疗:对大鼠持续性腹内高压(III级和IV级)后再灌注的影响
Pharmaceuticals (Basel). 2023 Nov 2;16(11):1554. doi: 10.3390/ph16111554.
8
Pentadecapeptide BPC 157 as Therapy for Inferior Caval Vein Embolization: Recovery of Sodium Laurate-Post-Embolization Syndrome in Rats.十五肽BPC 157治疗下腔静脉栓塞:大鼠月桂酸钠栓塞后综合征的恢复情况
Pharmaceuticals (Basel). 2023 Oct 23;16(10):1507. doi: 10.3390/ph16101507.
9
Antiarrhythmic Sotalol, Occlusion/Occlusion-like Syndrome in Rats, and Stable Gastric Pentadecapeptide BPC 157 Therapy.抗心律失常药物索他洛尔、大鼠的闭塞/类闭塞综合征以及稳定型胃十五肽BPC 157治疗
Pharmaceuticals (Basel). 2023 Jul 7;16(7):977. doi: 10.3390/ph16070977.
傅里叶变换红外光谱揭示了用十五肽BPC 157治疗的大鼠血管中的分子变化。
Biomedicines. 2022 Dec 4;10(12):3130. doi: 10.3390/biomedicines10123130.
4
Stable Gastric Pentadecapeptide BPC 157 as Useful Cytoprotective Peptide Therapy in the Heart Disturbances, Myocardial Infarction, Heart Failure, Pulmonary Hypertension, Arrhythmias, and Thrombosis Presentation.稳定的胃十五肽BPC 157作为心脏疾病、心肌梗死、心力衰竭、肺动脉高压、心律失常和血栓形成治疗中有价值的细胞保护肽疗法。
Biomedicines. 2022 Oct 25;10(11):2696. doi: 10.3390/biomedicines10112696.
5
Pentadecapeptide BPC 157 efficiently reduces radiation-induced liver injury and lipid accumulation through Kruppel-like factor 4 upregulation both in vivo and in vitro.十五肽 BPC 157 通过体内和体外的 Kruppel 样因子 4 上调,有效地减少了辐射诱导的肝损伤和脂质积累。
Life Sci. 2022 Dec 1;310:121072. doi: 10.1016/j.lfs.2022.121072. Epub 2022 Oct 10.
6
Stable Gastric Pentadecapeptide BPC 157: Prompt Particular Activation of Collateral Pathways.稳定的胃十五肽BPC 157:快速特异性激活侧支循环途径。
Curr Med Chem. 2023;30(13):1568-1573. doi: 10.2174/0929867329666221005111553.
7
BPC 157, L-NAME, L-Arginine, NO-Relation, in the Suited Rat Ketamine Models Resembling "Negative-Like" Symptoms of Schizophrenia.BPC 157、L-硝基精氨酸甲酯、L-精氨酸、与一氧化氮无关,在类似于精神分裂症“阴性样”症状的适宜大鼠氯胺酮模型中。
Biomedicines. 2022 Jun 21;10(7):1462. doi: 10.3390/biomedicines10071462.
8
Therapy Effect of the Stable Gastric Pentadecapeptide BPC 157 on Acute Pancreatitis as Vascular Failure-Induced Severe Peripheral and Central Syndrome in Rats.稳定型胃十五肽BPC 157对大鼠急性胰腺炎的治疗作用,急性胰腺炎为血管衰竭诱导的严重外周和中枢综合征
Biomedicines. 2022 Jun 1;10(6):1299. doi: 10.3390/biomedicines10061299.
9
Novel Therapeutic Effects in Rat Spinal Cord Injuries: Recovery of the Definitive and Early Spinal Cord Injury by the Administration of Pentadecapeptide BPC 157 Therapy.新型治疗大鼠脊髓损伤的效果:通过给予十五肽BPC 157疗法恢复明确的早期脊髓损伤
Curr Issues Mol Biol. 2022 Apr 27;44(5):1901-1927. doi: 10.3390/cimb44050130.
10
Fatal pulmonary embolism in patients on antipsychotics: case series, systematic review and meta-analysis.抗精神病药物治疗患者的致命性肺栓塞:病例系列、系统评价和荟萃分析。
Asian J Psychiatr. 2022 Jul;73:103105. doi: 10.1016/j.ajp.2022.103105. Epub 2022 Apr 12.