Suppr超能文献

尿道损伤后尿外渗的伤口愈合反应。

Wound healing responses of urinary extravasation after urethral injury.

机构信息

Department of Developmental Genetics Institute of Advanced Medicine, Wakayama Medical University, Kimiidera 811-1, Wakayama City, Wakayama, 641-8509, Japan.

Department of Pediatric Urology, Jichi Medical University Children's Medical Center Tochigi, Yakushiji 3311-1, Shimotsuke City, Tochigi, 329-0498, Japan.

出版信息

Sci Rep. 2023 Jun 30;13(1):10628. doi: 10.1038/s41598-023-37610-2.

Abstract

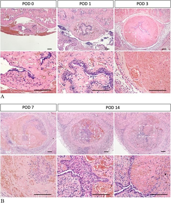
The post-surgical fluid leakage from the tubular tissues is a critical symptom after gastrointestinal or urinary tract surgeries. Elucidating the mechanism for such abnormalities is vital in surgical and medical science. The exposure of the fluid such as peritonitis due to urinary or gastrointestinal perforation has been reported to induce severe inflammation to the surrounding tissue. However, there have been no reports for the tissue responses by fluid extravasation and assessment of post-surgical and injury complication processes is therefore vital. The current model mouse study aims to investigate the effect of the urinary extravasation of the urethral injuries. Analyses on the urinary extravasation affecting both urethral mesenchyme and epithelium and the resultant spongio-fibrosis/urethral stricture were performed. The urine was injected from the lumen of urethra exposing the surrounding mesenchyme after the injury. The wound healing responses with urinary extravasation were shown as severe edematous mesenchymal lesions with the narrow urethral lumen. The epithelial cell proliferation was significantly increased in the wide layers. The mesenchymal spongio-fibrosis was induced by urethral injury with subsequent extravasation. The current report thus offers a novel research tool for surgical sciences on the urinary tract.

摘要

管状组织手术后的液体渗漏是胃肠道或泌尿道手术后的一个关键症状。阐明这种异常的机制在外科和医学科学中至关重要。已经有报道称,由于尿或胃肠道穿孔导致的液体暴露,如腹膜炎,会引起周围组织的严重炎症。然而,目前还没有关于液体外渗引起的组织反应的报道,因此评估手术后和损伤并发症过程至关重要。本研究旨在探讨尿外渗对尿道损伤的影响。分析了尿道损伤中尿道的间充质和上皮的尿液外渗,并对由此引起的海绵纤维化/尿道狭窄进行了研究。在损伤后,将尿液从尿道腔注射到周围的间充质中。结果显示,尿外渗导致严重的水肿性间质性病变,尿道腔狭窄。上皮细胞增殖在宽层中显著增加。尿道损伤后继发的尿外渗可导致间质海绵纤维化。本报告因此为外科科学提供了一种新的研究工具,用于研究泌尿道。

https://cdn.ncbi.nlm.nih.gov/pmc/blobs/7684/10313654/fc1fd49c7a8c/41598_2023_37610_Fig1_HTML.jpg

文献AI研究员

20分钟写一篇综述,助力文献阅读效率提升50倍。

立即体验

用中文搜PubMed

大模型驱动的PubMed中文搜索引擎

马上搜索

文档翻译

学术文献翻译模型,支持多种主流文档格式。

立即体验