Suppr超能文献

一个棘手的情况:嚼口香糖带来的不良后果。

A Sticky Situation: The Unfortunate Consequence of Chewing Gum.

作者信息

Lee Christopher, Dow Sam, Henkin Stanislav, Morley Benjamin D, Rassias Athos J, Taub Cynthia, Costa Salvatore P

机构信息

Heart and Vascular Center, Dartmouth-Hitchcock Medical Center, New Hampshire, Lebanon.

Department of Anesthesiology, Dartmouth-Hitchcock Medical Center, New Hampshire, Lebanon.

出版信息

CASE (Phila). 2023 Apr 14;7(6):212-214. doi: 10.1016/j.case.2023.02.005. eCollection 2023 Jun.

Abstract

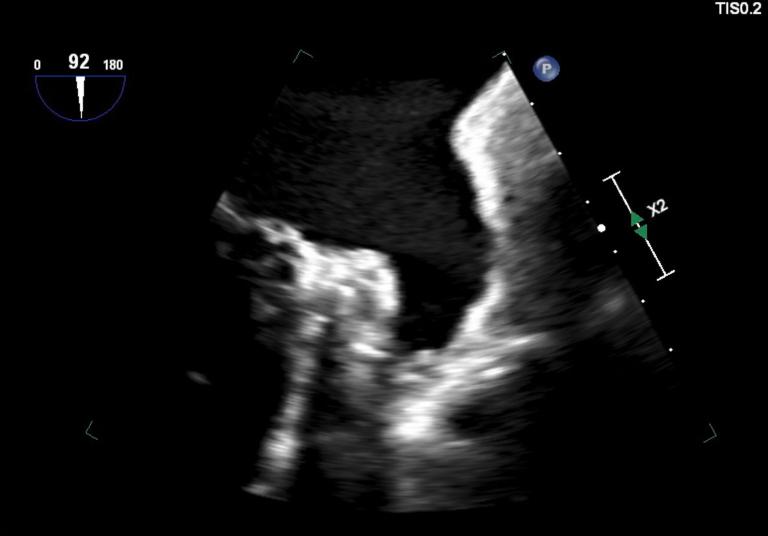
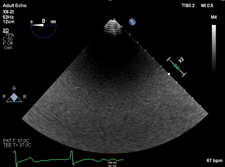
• Foreign substances can interfere with the TEE probe, causing poor image quality. • Operators should be aware of the reasons for diffusely anechoic TEE images. • Poor identification of echocardiographic artifacts may lead to adverse outcomes.

摘要

• 外来物质会干扰经食管超声心动图(TEE)探头,导致图像质量不佳。• 操作人员应了解TEE图像呈弥漫性无回声的原因。• 对超声心动图伪像识别不佳可能导致不良后果。

https://cdn.ncbi.nlm.nih.gov/pmc/blobs/e224/10307584/87255605347e/fx1.jpg

文献AI研究员

20分钟写一篇综述,助力文献阅读效率提升50倍。

立即体验

用中文搜PubMed

大模型驱动的PubMed中文搜索引擎

马上搜索

文档翻译

学术文献翻译模型,支持多种主流文档格式。

立即体验