• 文献检索
  • 文档翻译
  • 深度研究
  • 学术资讯
  • Suppr Zotero 插件Zotero 插件
  • 邀请有礼
  • 套餐&价格
  • 历史记录
应用&插件
Suppr Zotero 插件Zotero 插件浏览器插件Mac 客户端Windows 客户端微信小程序
定价
高级版会员购买积分包购买API积分包
服务
文献检索文档翻译深度研究API 文档MCP 服务
关于我们
关于 Suppr公司介绍联系我们用户协议隐私条款
关注我们

Suppr 超能文献

核心技术专利:CN118964589B侵权必究
粤ICP备2023148730 号-1Suppr @ 2026

文献检索

告别复杂PubMed语法,用中文像聊天一样搜索,搜遍4000万医学文献。AI智能推荐,让科研检索更轻松。

立即免费搜索

文件翻译

保留排版,准确专业,支持PDF/Word/PPT等文件格式,支持 12+语言互译。

免费翻译文档

深度研究

AI帮你快速写综述,25分钟生成高质量综述,智能提取关键信息,辅助科研写作。

立即免费体验

胺碘酮在CT扫描上导致肝脏密度减低:毒性的警示信号及需立即停药

Amiodarone-Induced Liver Attenuation on CT Scan: Alarming Signal for Toxicity and Prompt Discontinuation.

作者信息

Tun Myo Myint, Pandey Sagar, Adhikari Samaj, Mainali Arjun, Thapa Ashish, Bisural Roshan, Bista Puspa B, Htet Shwe Yee, Chhetri Bhawana, Panigrahi Kalpana

机构信息

Internal Medicine, One Brooklyn Health - Interfaith Medical Center, Brooklyn, USA.

Internal Medicine, Nepal Medical College Teaching Hospital, Kathmandu, NPL.

出版信息

Cureus. 2023 Jun 1;15(6):e39844. doi: 10.7759/cureus.39844. eCollection 2023 Jun.

DOI:10.7759/cureus.39844
PMID:37397675
原文链接:https://pmc.ncbi.nlm.nih.gov/articles/PMC10314806/
Abstract

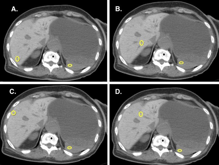
Amiodarone, a class III antiarrhythmic drug, is commonly used for the management of life-threatening ventricular arrhythmias, atrial fibrillation, and other refractory supra-ventricular arrhythmias. Factors like a large volume of distribution, lipophilic property, deposition in tissues in large amounts, etc. have led to the development of amiodarone-induced multisystem adverse events. We report a case of amiodarone-induced hepatic attenuation on computed tomography (CT) of the abdomen in an elderly female patient. Amiodarone with a composition of 40% iodine by weight deposits in the liver, leading to characteristically increased radiodensity reported as increased attenuation on CT scan. Surprisingly, the severity and extent of hepatic attenuation on CT scans do not necessarily correlate with the total exposure to amiodarone over time. Individual factors may influence the liver's response to the drug, leading to varying degrees of hepatic changes. To minimize the risk of adverse events associated with amiodarone, clinicians should carefully adjust the dosage to the lowest effective level and regularly monitor liver function tests in patients. This proactive approach enables early detection of liver dysfunction and facilitates timely adjustments or discontinuation of amiodarone, thereby reducing potential harm.

摘要

胺碘酮是一种Ⅲ类抗心律失常药物,常用于治疗危及生命的室性心律失常、心房颤动及其他难治性室上性心律失常。胺碘酮具有分布容积大、亲脂性、大量沉积于组织等特性,导致了胺碘酮诱发的多系统不良事件。我们报告一例老年女性患者腹部计算机断层扫描(CT)显示胺碘酮诱发肝脏密度增高的病例。胺碘酮含40%(重量)的碘,沉积于肝脏,导致CT扫描显示特征性的放射性密度增加,即密度增高。令人惊讶的是,CT扫描上肝脏密度增高的严重程度和范围不一定与随时间累积的胺碘酮总暴露量相关。个体因素可能影响肝脏对该药物的反应,导致不同程度的肝脏改变。为将胺碘酮相关不良事件的风险降至最低,临床医生应谨慎地将剂量调整至最低有效水平,并定期监测患者的肝功能检查。这种积极主动的方法能够早期发现肝功能障碍,并有助于及时调整或停用胺碘酮,从而减少潜在危害。

https://cdn.ncbi.nlm.nih.gov/pmc/blobs/49a3/10314806/9c58c7376569/cureus-0015-00000039844-i03.jpg
https://cdn.ncbi.nlm.nih.gov/pmc/blobs/49a3/10314806/963812c71e57/cureus-0015-00000039844-i01.jpg
https://cdn.ncbi.nlm.nih.gov/pmc/blobs/49a3/10314806/7525bebe5761/cureus-0015-00000039844-i02.jpg
https://cdn.ncbi.nlm.nih.gov/pmc/blobs/49a3/10314806/9c58c7376569/cureus-0015-00000039844-i03.jpg
https://cdn.ncbi.nlm.nih.gov/pmc/blobs/49a3/10314806/963812c71e57/cureus-0015-00000039844-i01.jpg
https://cdn.ncbi.nlm.nih.gov/pmc/blobs/49a3/10314806/7525bebe5761/cureus-0015-00000039844-i02.jpg
https://cdn.ncbi.nlm.nih.gov/pmc/blobs/49a3/10314806/9c58c7376569/cureus-0015-00000039844-i03.jpg

相似文献

1
Amiodarone-Induced Liver Attenuation on CT Scan: Alarming Signal for Toxicity and Prompt Discontinuation.胺碘酮在CT扫描上导致肝脏密度减低:毒性的警示信号及需立即停药
Cureus. 2023 Jun 1;15(6):e39844. doi: 10.7759/cureus.39844. eCollection 2023 Jun.
2
Amiodarone-induced hepatotoxicity - quantitative measurement of iodine density in the liver using dual-energy computed tomography: Three case reports.胺碘酮所致肝毒性——使用双能计算机断层扫描定量测量肝脏碘密度:三例病例报告
World J Clin Cases. 2020 Oct 26;8(20):4958-4965. doi: 10.12998/wjcc.v8.i20.4958.
3
Case Report: Amiodarone-induced multi-organ toxicity.病例报告:胺碘酮所致多器官毒性。
Front Cardiovasc Med. 2024 Jul 17;11:1401049. doi: 10.3389/fcvm.2024.1401049. eCollection 2024.
4
Iodine accumulation of the liver in patients treated with amiodarone can be unmasked using material decomposition from multiphase spectral-detector CT.经多期能谱探测器 CT 物质分解可显示胺碘酮治疗患者肝脏碘蓄积。
Sci Rep. 2020 Apr 24;10(1):6994. doi: 10.1038/s41598-020-64002-7.
5
[Analysis of increased hepatic density during chronic amiodarone therapy].
Nihon Igaku Hoshasen Gakkai Zasshi. 2003 May;63(5):221-4.
6
[Antiarrhythmic therapy in patients with heart failure].心力衰竭患者的抗心律失常治疗
Ther Umsch. 2000 May;57(5):324-32. doi: 10.1024/0040-5930.57.5.324.
7
Amiodarone: a unique antiarrhythmic agent.胺碘酮:一种独特的抗心律失常药物。
Clin Pharm. 1983 Jul-Aug;2(4):330-40.
8
Diagnosis of amiodarone pulmonary toxicity with high-resolution computerized tomographic scan.高分辨率计算机断层扫描诊断胺碘酮肺毒性
J Cardiovasc Electrophysiol. 2001 Apr;12(4):431-6. doi: 10.1046/j.1540-8167.2001.00431.x.
9
High incidence of clinical and subclinical toxicity associated with amiodarone treatment of refractory tachyarrhythmias.胺碘酮治疗难治性快速性心律失常时临床及亚临床毒性的高发生率。
Can J Cardiol. 1986 May-Jun;2(3):138-45.
10
Managing atrial fibrillation in the elderly: critical appraisal of dronedarone.老年人心房颤动的管理:决奈达隆的关键性评价。
Clin Interv Aging. 2012;7:1-13. doi: 10.2147/CIA.S16677. Epub 2011 Dec 30.

引用本文的文献

1
Changes in Hepatic Density Due to Oral Amiodarone-induced Liver injury Shown by Computed Tomography.计算机断层扫描显示口服胺碘酮所致肝损伤引起的肝脏密度变化
Intern Med. 2025 Jun 15;64(12):1828-1833. doi: 10.2169/internalmedicine.4436-24. Epub 2024 Nov 21.

本文引用的文献

1
Computed tomography of hyper-attenuated liver: Pictorial essay.肝脏高密度的计算机断层扫描:图谱文章
Clin Imaging. 2023 May;97:1-6. doi: 10.1016/j.clinimag.2023.02.012. Epub 2023 Feb 23.
2
Amiodarone-induced hepatotoxicity - quantitative measurement of iodine density in the liver using dual-energy computed tomography: Three case reports.胺碘酮所致肝毒性——使用双能计算机断层扫描定量测量肝脏碘密度:三例病例报告
World J Clin Cases. 2020 Oct 26;8(20):4958-4965. doi: 10.12998/wjcc.v8.i20.4958.
3
Autophagy alleviates amiodarone-induced hepatotoxicity.
自噬可减轻胺碘酮诱导的肝毒性。
Arch Toxicol. 2020 Oct;94(10):3527-3539. doi: 10.1007/s00204-020-02837-9. Epub 2020 Jul 10.
4
Amiodarone-induced cirrhosis of liver: what predicts mortality?胺碘酮所致肝硬化:哪些因素可预测死亡率?
ISRN Cardiol. 2013;2013:617943. doi: 10.1155/2013/617943. Epub 2013 Mar 14.
5
Amiodarone: an effective antiarrhythmic drug with unusual side effects.胺碘酮:一种具有不寻常副作用的有效抗心律失常药物。
Heart. 2010 Oct;96(19):1593-600. doi: 10.1136/hrt.2008.152652.
6
Prescribing amiodarone: an evidence-based review of clinical indications.胺碘酮的处方开具:基于证据的临床适应证综述
JAMA. 2007 Sep 19;298(11):1312-22. doi: 10.1001/jama.298.11.1312.
7
Amiodarone for atrial fibrillation.用于治疗心房颤动的胺碘酮。
N Engl J Med. 2007 Mar 1;356(9):935-41. doi: 10.1056/NEJMct065916.
8
Hepatic cirrhosis caused by low-dose oral amiodarone therapy.
Am J Med Sci. 2005 Nov;330(5):257-61. doi: 10.1097/00000441-200511000-00012.
9
Adverse effects of amiodarone.胺碘酮的不良反应。
Pacing Clin Electrophysiol. 1998 Jan;21(1 Pt 1):108-20. doi: 10.1111/j.1540-8159.1998.tb01068.x.
10
Value of hepatic computerized tomographic scanning during amiodarone therapy.胺碘酮治疗期间肝脏计算机断层扫描的价值
Am J Cardiol. 1985 Jul 1;56(1):89-92. doi: 10.1016/0002-9149(85)90572-7.