Suppr超能文献

非青光眼性眼中局部视网膜神经纤维层缺损与代谢综合征之间的关联:一项倾向评分匹配分析。

Association between localized retinal nerve fiber layer defects in nonglaucomatous eyes and metabolic syndrome: a propensity score-matched analysis.

作者信息

Baek Jiwon, Jung Younhea, Ohn Kyoung, Jung Sam Young, Oh Si Eun, Moon Jung Il

机构信息

Department of Ophthalmology, Bucheon St. Mary's Hospital, College of Medicine, The Catholic University of Korea, Seoul, Republic of Korea.

Department of Ophthalmology, Yeouido St. Mary's Hospital, College of Medicine, The Catholic University of Korea, Seoul, Republic of Korea.

出版信息

Ann Transl Med. 2023 Jun 30;11(9):316. doi: 10.21037/atm-22-3381. Epub 2023 Apr 10.

Abstract

BACKGROUND

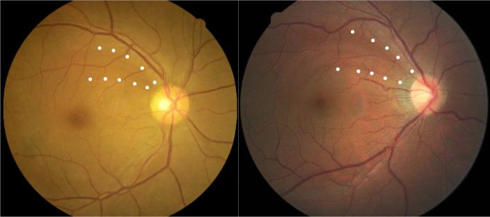
We investigated the association between metabolic syndrome and localized retinal nerve fiber layer (RNFL) defects in nonglaucomatous subjects.

METHODS

We examined 20,385 adults who visited the Health Promotion Center of Seoul St. Mary's Hospital between May 2015 and April 2016. After excluding those with known glaucoma or glaucomatous optic discs, subjects with and without localized RNFL defects were 1:5 propensity score matched. Metabolic syndrome components, including central obesity, elevated triglyceride, reduced high-density lipoprotein (HDL) cholesterol, elevated blood pressure (BP), and elevated fasting glucose, were compared between two groups. We performed logistic regression to investigate the association between RNFL defects and each component of metabolic syndrome and the number of metabolic syndrome components.

RESULTS

Subjects with RNFL defects showed higher waist-to-hip ratios, systolic BP (SBP) and diastolic BP (DBP), fasting blood glucose, and hemoglobin A1c (HbA1c) levels than did those without RNFL defects both before and after propensity score matching. The number of metabolic syndrome components was significantly greater in those with RNFL defects (1.66±1.35) than in those without (1.27±1.32, P<0.01). In multivariate logistic regression, the odds ratio (OR) of RNFL defects was significantly increased in subjects with central obesity [OR =1.53, 95% confidence interval (CI): 1.11-2.13], elevated BP (OR =1.50, 95% CI: 1.09-2.05), and an elevated fasting glucose level (OR =1.42, 95% CI: 1.03-1.97). An increased number of metabolic syndrome components was associated with a higher risk of RNFL defects.

CONCLUSIONS

Localized RNFL defects in nonglaucomatous subjects are associated with metabolic syndrome components, including central obesity, elevated BP, and an elevated fasting glucose level, suggesting that comorbid metabolic syndrome should be considered when evaluating subjects with RNFL defects.

摘要

背景

我们研究了非青光眼患者代谢综合征与局限性视网膜神经纤维层(RNFL)缺损之间的关联。

方法

我们对2015年5月至2016年4月期间前往首尔圣母医院健康促进中心就诊的20385名成年人进行了检查。在排除已知青光眼或青光眼性视盘患者后,对有和没有局限性RNFL缺损的受试者进行1:5倾向评分匹配。比较两组之间的代谢综合征组成部分,包括中心性肥胖、甘油三酯升高、高密度脂蛋白(HDL)胆固醇降低、血压(BP)升高和空腹血糖升高。我们进行了逻辑回归分析,以研究RNFL缺损与代谢综合征各组成部分以及代谢综合征组成部分数量之间的关联。

结果

在倾向评分匹配前后,有RNFL缺损的受试者的腰臀比、收缩压(SBP)和舒张压(DBP)、空腹血糖和糖化血红蛋白(HbA1c)水平均高于无RNFL缺损的受试者。有RNFL缺损的受试者的代谢综合征组成部分数量(1.66±1.35)显著多于无RNFL缺损的受试者(1.27±1.32,P<0.01)。在多变量逻辑回归中,中心性肥胖患者[比值比(OR)=1.53,95%置信区间(CI):1.11-2.13]、血压升高(OR =1.50,95%CI:1.09-2.05)和空腹血糖水平升高(OR =1.42,95%CI:1.03-1.97)的RNFL缺损的OR显著增加。代谢综合征组成部分数量增加与RNFL缺损风险较高相关。

结论

非青光眼患者的局限性RNFL缺损与代谢综合征组成部分有关,包括中心性肥胖、血压升高和空腹血糖水平升高,这表明在评估有RNFL缺损的受试者时应考虑合并代谢综合征。

https://cdn.ncbi.nlm.nih.gov/pmc/blobs/2e73/10316109/0ba8aa9edd5f/atm-11-09-316-f1.jpg

文献AI研究员

20分钟写一篇综述,助力文献阅读效率提升50倍。

立即体验

用中文搜PubMed

大模型驱动的PubMed中文搜索引擎

马上搜索

文档翻译

学术文献翻译模型,支持多种主流文档格式。

立即体验