Suppr超能文献

两种CT引导下经皮穿刺法建立兔椎体肿瘤模型的对比研究

A comparative study of establishing rabbit vertebral tumor model by two ways of CT-guided percutaneous puncture.

作者信息

Wang Zhilong, Zuo Taiyang, Lin Wenli, Liang Yining, Jiang Fangzhou, Li Yibing

机构信息

Department of Oncology Intervention, Central Hospital Affiliated to Shandong First Medical University, 105 Jiefang Road, Jinan, Shangdong Province 250013, China.

出版信息

Heliyon. 2023 Jun 17;9(6):e17214. doi: 10.1016/j.heliyon.2023.e17214. eCollection 2023 Jun.

Abstract

OBJECTIVE

To investigate the difference of tumor formation rate of rabbit vertebral tumor model established by percutaneous injection of V×2 tumor tissue suspension and tumor mass under computed tomography (CT) guidance, and the imaging findings of CT, magnetic resonance images (MRI) and positron emission tomography with computed tomography (PET/CT) at 7 days, 14 days and 21 days after implantation, and preliminarily verify the safety and feasibility of microwave ablation (MWA), percutaneous vertebroplasty (PVP) and microwave ablation combined with percutaneous vertebroplasty (MWA + PVP) in rabbit VX2 vertebral tumor model.

METHODS

Thirty healthy New Zealand rabbits were randomly allocated to tissue suspension group and tumor block group, with 15 rabbits for each group. The VX2 tumor block and mixed suspension were inoculated into the L5 vertebral body under CT-guided percutaneous puncture. The PET/CT, MRI and CT examinations were performed at 7, 14 and 21 days after implantation. Fisher exact probability test was used to compare the success rate of the two implantation methods and the tumor display rate at each time point of the three examination methods. Observe the paralysis of tumor-forming rabbits, and immediately perform MWA/PVP/MWA + PVP treatment according to groups after paralysis to verify the safety and feasibility of treatment.

RESULTS

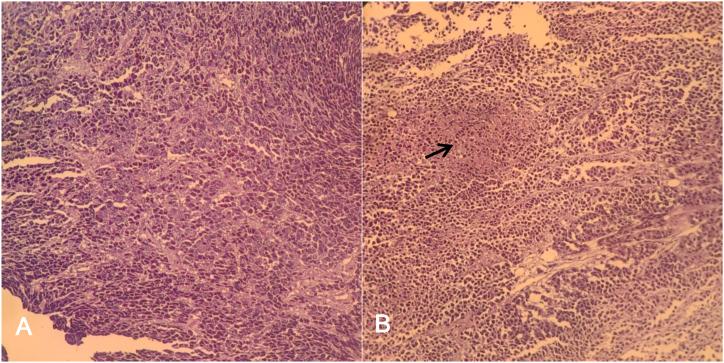
A total of 18 experimental rabbits were successfully modeled in two groups, of which the success rate was 26.6% (4/15) in tissue suspension group and 93.3% (14/15) in tumor block group, with statistically significant differences between two groups (P < 0.01). The tumor display rates by PET/CT, MRI and CT at each time point after implantation were: 83.3% (15/18), 16.6% (3/18), and 0% (0/18) at 7 days after implantation; 100% (18/18), 88.8% (16/18), and 11.1% (2/18) at 14 days after implantation; and 100% (18/18), 100% (18/18), 77.7% (14/18) at 21 days after implantation. The average paralysis time of 18 experimental rabbits successfully modeled was 24.44 ± 2.38 days, and MWA/PVP/MWA + PVP treatment was performed in groups immediately after paralysis. Except for 2 rabbits who died due to anesthesia overdose during anesthesia before treatment, the remaining 16 rabbits were successfully treated with MWA/PVP/MWA + PVP, and the technical success rate was 100% (16/16). In MWA group, one experimental rabbit was randomly selected and killed after ablation, and histopathological examination (H and E staining) was performed together with 2 experimental rabbits who died of anesthesia. The pathological changes before and after ablation were compared. The survival time of the remaining 15 experimental rabbits varied from 3 to 8 days after treatment.

CONCLUSION

The success rate of establishing rabbit vertebral tumor model by injecting tumor masses under the CT-guided percutaneous puncture is high, and the following MWA and PVP treatment can be successfully conducted. PET/CT is the most sensitive method for early detection of tumor compared with MRI and CT. Spectral Presaturation with Inversion Recovery (SPIR) sequence can significantly improve the detection rate of smaller tumors by MRI and shorten the detection time.

摘要

目的

探讨CT引导下经皮注射V×2肿瘤组织悬液与瘤块建立兔椎体肿瘤模型的成瘤率差异,以及植入后7天、14天和21天CT、磁共振成像(MRI)及正电子发射断层显像/X线计算机体层成像(PET/CT)的影像学表现,并初步验证微波消融(MWA)、经皮椎体成形术(PVP)及微波消融联合经皮椎体成形术(MWA + PVP)在兔VX2椎体肿瘤模型中的安全性和可行性。

方法

将30只健康新西兰兔随机分为组织悬液组和瘤块组,每组15只。在CT引导下经皮穿刺将VX2瘤块和混合悬液接种至L5椎体。于植入后7天、14天和21天进行PET/CT、MRI及CT检查。采用Fisher确切概率检验比较两种植入方法的成功率及三种检查方法各时间点的肿瘤显示率。观察成瘤兔的瘫痪情况,瘫痪后按组分别立即行MWA/PVP/MWA + PVP治疗,以验证治疗的安全性和可行性。

结果

两组共18只实验兔建模成功,其中组织悬液组成功率为26.6%(4/15),瘤块组为93.3%(14/15),两组差异有统计学意义(P < 0.01)。植入后各时间点PET/CT、MRI及CT的肿瘤显示率分别为:植入后7天83.3%(15/18)、16.6%(3/18)、0%(0/18);植入后14天100%(18/18)、88.8%(16/18)、11.1%(2/18);植入后21天100%(18/18)、100%(18/18)、77.7%(14/18)。18只成功建模的实验兔平均瘫痪时间为24.44 ± 2.38天,瘫痪后按组分别立即行MWA/PVP/MWA + PVP治疗。除2只兔在治疗前麻醉时因麻醉过量死亡外,其余16只兔均成功接受MWA/PVP/MWA + PVP治疗,技术成功率为100%(16/16)。MWA组随机选取1只实验兔消融后处死,与2只因麻醉死亡的实验兔一起进行组织病理学检查(苏木精-伊红染色),比较消融前后病理变化。其余15只实验兔治疗后存活时间为3至8天。

结论

CT引导下经皮穿刺注射瘤块建立兔椎体肿瘤模型的成功率高,后续可成功进行MWA和PVP治疗。与MRI和CT相比,PET/CT是早期检测肿瘤最敏感的方法。磁共振频率选择脂肪抑制(SPIR)序列可显著提高MRI对较小肿瘤的检出率并缩短检测时间。

https://cdn.ncbi.nlm.nih.gov/pmc/blobs/595b/10319203/b750df0ed37a/gr1.jpg

文献检索

告别复杂PubMed语法,用中文像聊天一样搜索,搜遍4000万医学文献。AI智能推荐,让科研检索更轻松。

立即免费搜索

文件翻译

保留排版,准确专业,支持PDF/Word/PPT等文件格式,支持 12+语言互译。

免费翻译文档

深度研究

AI帮你快速写综述,25分钟生成高质量综述,智能提取关键信息,辅助科研写作。

立即免费体验