Suppr超能文献

一例伴有脑脊髓炎的播散性类鼻疽病病例。

A Case of Disseminated Melioidosis With Cerebritis.

作者信息

Bhat Vaibhav, Gosavi Siddharth, Krishnan Gokul, Acharya Raviraja V

机构信息

Internal Medicine, Kasturba Medical College of Manipal, Manipal, IND.

出版信息

Cureus. 2023 Jun 9;15(6):e40182. doi: 10.7759/cureus.40182. eCollection 2023 Jun.

Abstract

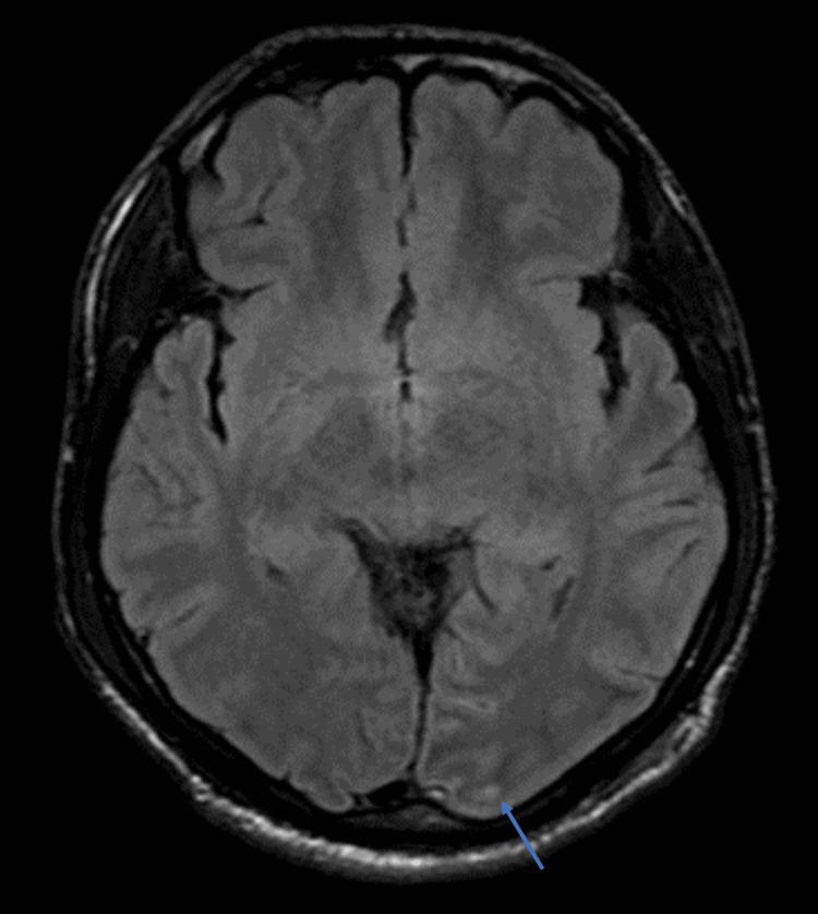
Melioidosis is caused by a Gram-negative, facultative intracellular bacterium. Because melioidosis can mimic many diseases, it requires more advanced laboratory facilities with the necessary expertise and can become an underdiagnosed yet serious infection with high mortality and morbidityOur patient is a middle-aged male with new-onset uncontrolled type 2 diabetes mellitus who presented with high-grade fever, productive cough and altered mental status. CT thorax showed diffuse middle and lower zone consolidation while MRI brain noted meningitis with cerebritis. Blood culture grew. The patient was started on meropenem for melioidosis, however, no adequate improvement was seen. In view of this inadequate response, parenteral cotrimoxazole was added. Significant improvement was noted and cotrimoxazole was continued for six months.

摘要

类鼻疽病由革兰氏阴性兼性胞内细菌引起。由于类鼻疽病可模仿多种疾病,它需要更先进的实验室设施以及具备必要专业知识的人员,并且可能成为一种诊断不足但严重的感染,具有高死亡率和发病率。我们的患者是一名中年男性,患有新发且未得到控制的2型糖尿病,出现高热、咳痰和精神状态改变。胸部CT显示中、下肺野弥漫性实变,而脑部MRI提示脑膜炎合并脑炎。血培养有细菌生长。患者开始使用美罗培南治疗类鼻疽病,但未见充分改善。鉴于反应不佳,加用了胃肠外复方新诺明。患者有显著改善,复方新诺明持续使用了6个月。

https://cdn.ncbi.nlm.nih.gov/pmc/blobs/d51b/10329843/c8d9f28348c8/cureus-0015-00000040182-i01.jpg

相似文献

1
A Case of Disseminated Melioidosis With Cerebritis.
Cureus. 2023 Jun 9;15(6):e40182. doi: 10.7759/cureus.40182. eCollection 2023 Jun.
3
A Rare Case of Melioidosis Causing Multifocal Osteomyelitis in an Uncontrolled Diabetic Host.
J Orthop Case Rep. 2019;9(5):95-101. doi: 10.13107/jocr.2250-0685.1552.
4
Melioidosis in Bihar, India: unearthing the first of many?
Access Microbiol. 2021 Sep 14;3(9):000260. doi: 10.1099/acmi.0.000260. eCollection 2021.
5
Melioidosis presenting as lymphadenitis: a case report.
BMC Res Notes. 2014 Jun 14;7:364. doi: 10.1186/1756-0500-7-364.
6
Melioidosis: misdiagnosed in Nepal.
BMC Infect Dis. 2019 Feb 19;19(1):176. doi: 10.1186/s12879-019-3793-x.
7
A case report of Tubo-ovarian abscess caused by Burkholderia pseudomallei.
BMC Infect Dis. 2018 Feb 8;18(1):73. doi: 10.1186/s12879-018-2986-z.
8
Pulmonary melioidosis complicating foreign body aspiration in a young adult.
Respirol Case Rep. 2021 Aug 9;9(9):e0819. doi: 10.1002/rcr2.819. eCollection 2021 Sep.
9
A Rare Case of Burkholderia Osteomyelitis Affecting the Hip Joint in an Adult.
J Orthop Case Rep. 2022 Dec;12(12):77-82. doi: 10.13107/jocr.2022.v12.i12.3472.
10
Transverse myelitis secondary to melioidosis: a case report.
BMC Infect Dis. 2012 Sep 28;12:232. doi: 10.1186/1471-2334-12-232.

本文引用的文献

1
Pulmonary melioidosis.
QJM. 2022 Jan 9;114(12):900. doi: 10.1093/qjmed/hcab269.
2
Neuromelioidosis: A Single-Center Experience with Emphasis on Imaging.
Indian J Radiol Imaging. 2021 Jan;31(1):57-64. doi: 10.1055/s-0041-1729125. Epub 2021 Apr 19.
3
The Darwin Prospective Melioidosis Study: a 30-year prospective, observational investigation.
Lancet Infect Dis. 2021 Dec;21(12):1737-1746. doi: 10.1016/S1473-3099(21)00022-0. Epub 2021 Jul 22.
4
Disseminated melioidosis in early pregnancy - an unproven cause of foetal loss.
BMC Infect Dis. 2020 Mar 6;20(1):201. doi: 10.1186/s12879-020-4937-8.
5
Melioidosis in South Asia (India, Nepal, Pakistan, Bhutan and Afghanistan).
Trop Med Infect Dis. 2018 May 22;3(2):51. doi: 10.3390/tropicalmed3020051.
8
Melioidosis: evolving concepts in epidemiology, pathogenesis, and treatment.
Semin Respir Crit Care Med. 2015 Feb;36(1):111-25. doi: 10.1055/s-0034-1398389. Epub 2015 Feb 2.
9
Melioidosis.
N Engl J Med. 2012 Sep 13;367(11):1035-44. doi: 10.1056/NEJMra1204699.
10
Melioidosis: a clinical overview.
Br Med Bull. 2011;99:125-39. doi: 10.1093/bmb/ldr007. Epub 2011 May 9.

文献AI研究员

20分钟写一篇综述,助力文献阅读效率提升50倍。

立即体验

用中文搜PubMed

大模型驱动的PubMed中文搜索引擎

马上搜索

文档翻译

学术文献翻译模型,支持多种主流文档格式。

立即体验