Suppr超能文献

原发性进行性和复发缓解型多发性硬化症在遗传学、免疫学、生物标志物及神经影像学方面的最新进展比较以及奥瑞珠单抗在其难治性病例管理中的作用

Comparison of recent updates in genetics, immunology, biomarkers, and neuroimaging of primary-progressive and relapsing-remitting multiple sclerosis and the role of ocrelizumab in the management of their refractory cases.

作者信息

Prajjwal Priyadarshi, Marsool Mohammed Dheyaa Marsool, Asharaf Shahnaz, Inban Pugazhendi, Gadam Srikanth, Yadav Rukesh, Vora Neel, Nandwana Varsha, Marsool Ali Dheyaa Marsool, Amir Omniat

机构信息

Department of Neurology Bharati Vidyapeeth University Medical College Pune Pune India.

Internal Medicine Al-Kindy College of Medicine University of Baghdad Baghdad Iraq.

出版信息

Health Sci Rep. 2023 Jul 12;6(7):e1422. doi: 10.1002/hsr2.1422. eCollection 2023 Jul.

Abstract

BACKGROUND

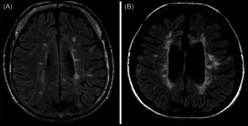
Primary-progressive multiple sclerosis (PPMS) and relapsing-remitting multiple sclerosis (RRMS) are two frequent multiple sclerosis (MS) subtypes that involve 10%-15% of patients. PPMS progresses slowly and is diagnosed later in life. Both subtypes are influenced by genetic and environmental factors such as smoking, obesity, and vitamin D insufficiency. Although there is no cure, ocrelizumab can reduce symptoms and delay disease development. RRMS is an autoimmune disease that causes inflammation, demyelination, and disability. Early detection, therapy, and lifestyle changes are critical. This study delves into genetics, immunology, biomarkers, neuroimaging, and the usefulness of ocrelizumab in the treatment of refractory patients of PPMS.

METHOD

In search of published literature providing up-to-date information on PPMS and RRMS, this review conducted numerous searches in databases such as PubMed, Google Scholar, MEDLINE, and Scopus. We looked into genetics, immunology, biomarkers, current breakthroughs in neuroimaging, and the role of ocrelizumab in refractory cases.

RESULTS

Our comprehensive analysis found considerable advances in genetics, immunology, biomarkers, neuroimaging, and the efficacy of ocrelizumab in the treatment of refractory patients.

CONCLUSION

Early detection, timely intervention, and the adoption of lifestyle modifications play pivotal roles in enhancing treatment outcomes. Notably, ocrelizumab has demonstrated potential in symptom control and mitigating the rate of disease advancement, further underscoring its clinical significance in the management of MS.

摘要

背景

原发性进行性多发性硬化症(PPMS)和复发缓解型多发性硬化症(RRMS)是两种常见的多发性硬化症(MS)亚型,累及10%-15%的患者。PPMS进展缓慢,在生命后期被诊断出来。这两种亚型都受到遗传和环境因素的影响,如吸烟、肥胖和维生素D缺乏。虽然无法治愈,但奥瑞珠单抗可以减轻症状并延缓疾病发展。RRMS是一种自身免疫性疾病,会导致炎症、脱髓鞘和残疾。早期检测、治疗和生活方式的改变至关重要。本研究深入探讨了遗传学、免疫学、生物标志物、神经影像学以及奥瑞珠单抗在治疗PPMS难治性患者中的作用。

方法

为了寻找提供PPMS和RRMS最新信息的已发表文献,本综述在PubMed、谷歌学术、MEDLINE和Scopus等数据库中进行了多次检索。我们研究了遗传学、免疫学、生物标志物、神经影像学的当前突破以及奥瑞珠单抗在难治性病例中的作用。

结果

我们的综合分析发现,在遗传学、免疫学、生物标志物、神经影像学以及奥瑞珠单抗治疗难治性患者的疗效方面取得了显著进展。

结论

早期检测、及时干预和采取生活方式改变在提高治疗效果方面起着关键作用。值得注意的是,奥瑞珠单抗在症状控制和减缓疾病进展速度方面已显示出潜力,进一步强调了其在MS管理中的临床意义。

https://cdn.ncbi.nlm.nih.gov/pmc/blobs/468f/10337274/78319fdacea6/HSR2-6-e1422-g003.jpg

文献检索

告别复杂PubMed语法,用中文像聊天一样搜索,搜遍4000万医学文献。AI智能推荐,让科研检索更轻松。

立即免费搜索

文件翻译

保留排版,准确专业,支持PDF/Word/PPT等文件格式,支持 12+语言互译。

免费翻译文档

深度研究

AI帮你快速写综述,25分钟生成高质量综述,智能提取关键信息,辅助科研写作。

立即免费体验