• 文献检索
  • 文档翻译
  • 深度研究
  • 学术资讯
  • Suppr Zotero 插件Zotero 插件
  • 邀请有礼
  • 套餐&价格
  • 历史记录
应用&插件
Suppr Zotero 插件Zotero 插件浏览器插件Mac 客户端Windows 客户端微信小程序
定价
高级版会员购买积分包购买API积分包
服务
文献检索文档翻译深度研究API 文档MCP 服务
关于我们
关于 Suppr公司介绍联系我们用户协议隐私条款
关注我们

Suppr 超能文献

核心技术专利:CN118964589B侵权必究
粤ICP备2023148730 号-1Suppr @ 2026

文献检索

告别复杂PubMed语法,用中文像聊天一样搜索,搜遍4000万医学文献。AI智能推荐,让科研检索更轻松。

立即免费搜索

文件翻译

保留排版,准确专业,支持PDF/Word/PPT等文件格式,支持 12+语言互译。

免费翻译文档

深度研究

AI帮你快速写综述,25分钟生成高质量综述,智能提取关键信息,辅助科研写作。

立即免费体验

神经内分泌肿瘤转移至乳腺:一例病例报告及文献综述

Neuroendocrine Tumor Metastases to the Breast: A Case Report and Review of the Literature.

作者信息

Urrego Díaz Jose A, González Marcela, Romero-Rojas Alfredo Ernesto, Strosberg Jonathan, Jiménez-Vásquez Paola

机构信息

Internal Medicine, Universidad Nacional de Colombia, Bogotá, COL.

Radiology, Instituto de Diagnóstico Médico (IDIME), Bogotá, COL.

出版信息

Cureus. 2023 Jun 20;15(6):e40703. doi: 10.7759/cureus.40703. eCollection 2023 Jun.

DOI:10.7759/cureus.40703
PMID:37485220
原文链接:https://pmc.ncbi.nlm.nih.gov/articles/PMC10359153/
Abstract

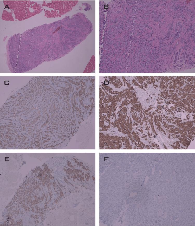
Breast metastases from neuroendocrine neoplasms (NENs) are considered infrequent. We report a case of a patient with ileocecal neuroendocrine tumor (NET) metastases to both breasts, for whom the initial clinical presentation was chronic diarrhea. Breast metastasis was initially suspected by a 68-Gallium DOTANOC positron emission tomography (PET)/CT and was confirmed by histopathology. We also performed a literature review in which we identified 116 cases of NENs metastatic to the breast reported so far. Most cases occurred in older women, were caused by NETs, and had the gastrointestinal tract as the primary site.

摘要

神经内分泌肿瘤(NENs)的乳腺转移被认为较为罕见。我们报告一例患有回盲部神经内分泌肿瘤(NET)并发生双侧乳腺转移的患者,其最初的临床表现为慢性腹泻。乳腺转移最初通过68镓DOTANOC正电子发射断层扫描(PET)/CT怀疑,并经组织病理学证实。我们还进行了文献综述,在此过程中我们确定了迄今为止报告的116例NENs乳腺转移病例。大多数病例发生在老年女性,由NETs引起,且以胃肠道为原发部位。

https://cdn.ncbi.nlm.nih.gov/pmc/blobs/a8f1/10359153/726ca0122249/cureus-0015-00000040703-i03.jpg
https://cdn.ncbi.nlm.nih.gov/pmc/blobs/a8f1/10359153/5df1cae5894c/cureus-0015-00000040703-i01.jpg
https://cdn.ncbi.nlm.nih.gov/pmc/blobs/a8f1/10359153/8841ec59e73e/cureus-0015-00000040703-i02.jpg
https://cdn.ncbi.nlm.nih.gov/pmc/blobs/a8f1/10359153/726ca0122249/cureus-0015-00000040703-i03.jpg
https://cdn.ncbi.nlm.nih.gov/pmc/blobs/a8f1/10359153/5df1cae5894c/cureus-0015-00000040703-i01.jpg
https://cdn.ncbi.nlm.nih.gov/pmc/blobs/a8f1/10359153/8841ec59e73e/cureus-0015-00000040703-i02.jpg
https://cdn.ncbi.nlm.nih.gov/pmc/blobs/a8f1/10359153/726ca0122249/cureus-0015-00000040703-i03.jpg

相似文献

1
Neuroendocrine Tumor Metastases to the Breast: A Case Report and Review of the Literature.神经内分泌肿瘤转移至乳腺:一例病例报告及文献综述
Cureus. 2023 Jun 20;15(6):e40703. doi: 10.7759/cureus.40703. eCollection 2023 Jun.
2
Image Findings of a Rare Case of Neuroendocrine Tumor Metastatic to Orbital Extraocular Muscle in Gallium-68 DOTANOC Positron Emission Tomography/Computed Tomography and Therapy with Lutetium-177 DOTATATE.镓-68 DOTANOC正电子发射断层扫描/计算机断层扫描及镥-177 DOTATATE治疗罕见的神经内分泌肿瘤转移至眼眶眼外肌的影像表现
Indian J Nucl Med. 2017 Apr-Jun;32(2):125-127. doi: 10.4103/0972-3919.202236.
3
Comparison of 68Ga-DOTANOC and 68Ga-DOTATATE PET/CT within patients with gastroenteropancreatic neuroendocrine tumors.胃肠胰神经内分泌肿瘤患者中 68Ga-DOTANOC 与 68Ga-DOTATATE PET/CT 的比较。
J Nucl Med. 2013 Mar;54(3):364-72. doi: 10.2967/jnumed.112.111724. Epub 2013 Jan 7.
4
The value of Gallium-DOTATATE PET/CT in sinonasal neuroendocrine tumor management: A case series.镓- DOTATATE PET/CT 在鼻窦神经内分泌肿瘤管理中的价值:病例系列。
Head Neck. 2021 Jun;43(6):E30-E40. doi: 10.1002/hed.26695. Epub 2021 Mar 31.
5
Cardiac neuroendocrine tumour metastases: case reports and review of the literature.心脏神经内分泌肿瘤转移:病例报告及文献综述
Nucl Med Commun. 2016 May;37(5):461-5. doi: 10.1097/MNM.0000000000000464.
6
The Correlation Between [Ga]DOTATATE PET/CT and Cell Proliferation in Patients With GEP-NENs.胃泌素瘤神经内分泌肿瘤患者 [Ga]DOTATATE PET/CT 与细胞增殖的相关性。
Mol Imaging Biol. 2019 Oct;21(5):984-990. doi: 10.1007/s11307-019-01328-3.
7
Prospective evaluation of Ga-DOTATATE PET/CT in limited disease neuroendocrine tumours and/or elevated serum neuroendocrine biomarkers.镓-多柔比星PET/CT对局限性疾病神经内分泌肿瘤和/或血清神经内分泌生物标志物升高的前瞻性评估。
Clin Endocrinol (Oxf). 2018 Aug;89(2):155-163. doi: 10.1111/cen.13745. Epub 2018 Jun 13.
8
Incidental 68Ga-DOTATATE uptake in the pancreatic head: A case report and a unique opportunity to improve clinical care.胰腺头部偶然出现的68Ga-DOTATATE摄取:一例病例报告及改善临床护理的独特契机。
Medicine (Baltimore). 2020 May 29;99(22):e20197. doi: 10.1097/MD.0000000000020197.
9
Ga-68 DOTANOC PET/CT imaging in detection of primary site in patients with metastatic neuroendocrine tumours of unknown origin and its impact on clinical decision making: experience from a tertiary care centre in India.镓-68 DOTANOC PET/CT成像在不明原发灶转移性神经内分泌肿瘤患者原发部位检测中的应用及其对临床决策的影响:来自印度一家三级医疗中心的经验
J Gastrointest Oncol. 2016 Jun;7(3):449-61. doi: 10.21037/jgo.2016.01.06.
10
Can we differentiate histologic subtypes of neuroendocrine tumour liver metastases at a single phase contrast-enhanced CT-correlation with Ga-68 DOTATATE PET/CT findings.能否在单期增强 CT 上对神经内分泌肿瘤肝转移的组织学亚型进行区分-与 Ga-68 DOTATATE PET/CT 结果的相关性。
Br J Radiol. 2020 Feb 1;93(1106):20190735. doi: 10.1259/bjr.20190735. Epub 2020 Jan 16.

引用本文的文献

1
The rare case of synchronous bilateral breast metastasis from a lung neuroendocrine tumor (small cell lung carcinoma): a case report and literature review.肺神经内分泌肿瘤(小细胞肺癌)同步双侧乳腺转移的罕见病例:一例报告及文献复习
Surg Case Rep. 2024 Sep 18;10(1):218. doi: 10.1186/s40792-024-01877-y.

本文引用的文献

1
Lu-Dotatate plus long-acting octreotide versus high‑dose long-acting octreotide in patients with midgut neuroendocrine tumours (NETTER-1): final overall survival and long-term safety results from an open-label, randomised, controlled, phase 3 trial.Lu-Dotatate 联合长效奥曲肽与高剂量长效奥曲肽治疗肠神经内分泌肿瘤患者(NETTER-1):一项开放标签、随机、对照、III 期临床试验的最终总生存和长期安全性结果。
Lancet Oncol. 2021 Dec;22(12):1752-1763. doi: 10.1016/S1470-2045(21)00572-6. Epub 2021 Nov 15.
2
Neuroendocrine and Adrenal Tumors, Version 2.2021, NCCN Clinical Practice Guidelines in Oncology.神经内分泌和肾上腺肿瘤,第2.2021版,美国国立综合癌症网络(NCCN)肿瘤学临床实践指南
J Natl Compr Canc Netw. 2021 Jul 28;19(7):839-868. doi: 10.6004/jnccn.2021.0032.
3
Management of Gastrointestinal Neuroendocrine Tumors.胃肠道神经内分泌肿瘤的管理
Clin Med Insights Endocrinol Diabetes. 2019 Oct 24;12:1179551419884058. doi: 10.1177/1179551419884058. eCollection 2019.
4
The 2019 WHO classification of tumours of the digestive system.2019年世界卫生组织消化系统肿瘤分类。
Histopathology. 2020 Jan;76(2):182-188. doi: 10.1111/his.13975. Epub 2019 Nov 13.
5
A case report on metastatic ileal neuroendocrine neoplasm to the breast masquerading as primary breast cancer: A diagnostic challenge and management dilemma.一例伪装成原发性乳腺癌的转移性回肠神经内分泌肿瘤病例报告:诊断挑战与管理困境
Medicine (Baltimore). 2019 Apr;98(16):e14989. doi: 10.1097/MD.0000000000014989.
6
Current best practice in the management of neuroendocrine tumors.神经内分泌肿瘤管理的当前最佳实践。
Ther Adv Endocrinol Metab. 2018 Oct 31;10:2042018818804698. doi: 10.1177/2042018818804698. eCollection 2019.
7
Resection of primary tumor may prolong survival in metastatic gastroenteropancreatic neuroendocrine tumors.原发肿瘤切除术可能延长转移性胃肠胰神经内分泌肿瘤患者的生存时间。
Surgery. 2019 Mar;165(3):644-651. doi: 10.1016/j.surg.2018.09.006. Epub 2018 Oct 23.
8
Resection of the Primary Gastrointestinal Neuroendocrine Tumor Improves Survival With or Without Liver Treatment.原发胃肠道神经内分泌肿瘤切除术可改善生存,与是否行肝治疗无关。
Ann Surg. 2019 Dec;270(6):1131-1137. doi: 10.1097/SLA.0000000000002809.
9
Nothing But NET: A Review of Neuroendocrine Tumors and Carcinomas.唯有 NET:神经内分泌肿瘤和癌综述。
Neoplasia. 2017 Dec;19(12):991-1002. doi: 10.1016/j.neo.2017.09.002. Epub 2017 Nov 5.
10
Trends in the Incidence, Prevalence, and Survival Outcomes in Patients With Neuroendocrine Tumors in the United States.美国神经内分泌肿瘤患者的发病率、患病率和生存结局趋势。
JAMA Oncol. 2017 Oct 1;3(10):1335-1342. doi: 10.1001/jamaoncol.2017.0589.