• 文献检索
  • 文档翻译
  • 深度研究
  • 学术资讯
  • Suppr Zotero 插件Zotero 插件
  • 邀请有礼
  • 套餐&价格
  • 历史记录
应用&插件
Suppr Zotero 插件Zotero 插件浏览器插件Mac 客户端Windows 客户端微信小程序
定价
高级版会员购买积分包购买API积分包
服务
文献检索文档翻译深度研究API 文档MCP 服务
关于我们
关于 Suppr公司介绍联系我们用户协议隐私条款
关注我们

Suppr 超能文献

核心技术专利:CN118964589B侵权必究
粤ICP备2023148730 号-1Suppr @ 2026

文献检索

告别复杂PubMed语法,用中文像聊天一样搜索,搜遍4000万医学文献。AI智能推荐,让科研检索更轻松。

立即免费搜索

文件翻译

保留排版,准确专业,支持PDF/Word/PPT等文件格式,支持 12+语言互译。

免费翻译文档

深度研究

AI帮你快速写综述,25分钟生成高质量综述,智能提取关键信息,辅助科研写作。

立即免费体验

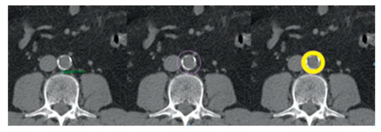
探索血管外科人群中内脏、皮下和血管周围脂肪组织的多样性。

Exploring the Diversity of Visceral, Subcutaneous and Perivascular Adipose Tissue in a Vascular Surgery Population.

作者信息

Ferreira Joana, Afonso Julieta, Carneiro Alexandre Lima, Vila Isabel, Cunha Cristina, Roque Susana, Silva Cristina, Mesquita Amílcar, Cotter Jorge, Correia-Neves Margarida, Mansilha Armando, Longatto-Filho Adhemar, Cunha Pedro

机构信息

Vascular Surgery Department, Centro Hospitalar de Trás-os-Montes e Alto Douro, 5000-508 Vila Real, Portugal.

Life and Health Science Research Institute (ICVS), School of Medicine, University of Minho, 4710-057 Braga, Portugal.

出版信息

J Cardiovasc Dev Dis. 2023 Jun 25;10(7):271. doi: 10.3390/jcdd10070271.

DOI:10.3390/jcdd10070271
PMID:37504527
原文链接:https://pmc.ncbi.nlm.nih.gov/articles/PMC10380901/
Abstract

The prevalence of obesity has doubled, with a concomitant increase in cardiovascular disease. This study aimed to compare the characteristics of visceral, subcutaneous and peri-aortic adipose tissue determined with computed tomography (CT) scans and to correlate them with cardiovascular risk factors, anthropometric measures and medication. An observational and prospective study was conducted, and 177 subjects were included. Peri-aortic adipose tissue had the highest density, while the subcutaneous adipose tissue had the lowest. The density of subcutaneous adipose tissue differs from the density of visceral ( = 0.00) and peri-aortic adipose tissue ( = 0.00). Smokers/ex-smokers had a lower area ( = 0.00) and density ( = 0.02) of subcutaneous adipose tissue. Multiple linear regression analysis showed that sex was a predictor of subcutaneous adipose tissue area (β = -0.27, t = -3.12, = 0.00) but smoking habits were not. After controlling for sex, we found that the association between smokers/ex-smokers and area of subcutaneous adipose tissue was lost, but the association with density persisted. Patients with hypertension had a higher visceral adipose tissue area, and this relationship was maintained even after adjusting for gender. Peri-aortic adipose tissue is similar to visceral and distinct from subcutaneous adipose tissue. Cardiovascular risk factors have different influences in distinct adipose compartments.

摘要

肥胖的患病率已翻倍,同时心血管疾病也有所增加。本研究旨在比较通过计算机断层扫描(CT)确定的内脏、皮下和主动脉周围脂肪组织的特征,并将它们与心血管危险因素、人体测量指标和药物治疗相关联。进行了一项观察性前瞻性研究,纳入了177名受试者。主动脉周围脂肪组织密度最高,而皮下脂肪组织密度最低。皮下脂肪组织的密度与内脏脂肪组织(P = 0.00)和主动脉周围脂肪组织(P = 0.00)的密度不同。吸烟者/戒烟者的皮下脂肪组织面积较小(P = 0.00)且密度较低(P = 0.02)。多元线性回归分析表明,性别是皮下脂肪组织面积的预测因素(β = -0.27,t = -3.12,P = 0.00),但吸烟习惯不是。在控制性别后,我们发现吸烟者/戒烟者与皮下脂肪组织面积之间的关联消失,但与密度的关联仍然存在。高血压患者的内脏脂肪组织面积较大,即使在调整性别后这种关系依然存在。主动脉周围脂肪组织与内脏脂肪组织相似,与皮下脂肪组织不同。心血管危险因素在不同的脂肪隔室中有不同的影响。

https://cdn.ncbi.nlm.nih.gov/pmc/blobs/c4f5/10380901/cf0026a8d248/jcdd-10-00271-g002.jpg
https://cdn.ncbi.nlm.nih.gov/pmc/blobs/c4f5/10380901/6e2895a212e8/jcdd-10-00271-g001.jpg
https://cdn.ncbi.nlm.nih.gov/pmc/blobs/c4f5/10380901/cf0026a8d248/jcdd-10-00271-g002.jpg
https://cdn.ncbi.nlm.nih.gov/pmc/blobs/c4f5/10380901/6e2895a212e8/jcdd-10-00271-g001.jpg
https://cdn.ncbi.nlm.nih.gov/pmc/blobs/c4f5/10380901/cf0026a8d248/jcdd-10-00271-g002.jpg

相似文献

1
Exploring the Diversity of Visceral, Subcutaneous and Perivascular Adipose Tissue in a Vascular Surgery Population.探索血管外科人群中内脏、皮下和血管周围脂肪组织的多样性。
J Cardiovasc Dev Dis. 2023 Jun 25;10(7):271. doi: 10.3390/jcdd10070271.
2
Visceral adiposity and inflammatory bowel disease.内脏肥胖与炎症性肠病。
Int J Colorectal Dis. 2021 Nov;36(11):2305-2319. doi: 10.1007/s00384-021-03968-w. Epub 2021 Jun 9.
3
High Density of Periaortic Adipose Tissue in Abdominal Aortic Aneurysm.腹主动脉瘤中主动脉周围脂肪组织密度高。
Eur J Vasc Endovasc Surg. 2018 Nov;56(5):663-671. doi: 10.1016/j.ejvs.2018.07.008. Epub 2018 Aug 14.
4
Pericardial and thoracic peri-aortic adipose tissues contribute to systemic inflammation and calcified coronary atherosclerosis independent of body fat composition, anthropometric measures and traditional cardiovascular risks.心包和胸主动脉旁脂肪组织与全身炎症和钙化性冠状动脉粥样硬化有关,与体脂成分、人体测量指标和传统心血管危险因素无关。
Eur J Radiol. 2012 Apr;81(4):749-56. doi: 10.1016/j.ejrad.2011.01.035. Epub 2011 Feb 21.
5
Body fat distribution in pre- and post-menopausal women: metabolic and anthropometric variables and their inter-relationships.绝经前和绝经后女性的体脂分布:代谢和人体测量学变量及其相互关系。
Int J Obes Relat Metab Disord. 1992 Jul;16(7):495-504.
6
Contributions of total body fat, abdominal subcutaneous adipose tissue compartments, and visceral adipose tissue to the metabolic complications of obesity.全身脂肪、腹部皮下脂肪组织分区和内脏脂肪组织对肥胖代谢并发症的影响。
Metabolism. 2001 Apr;50(4):425-35. doi: 10.1053/meta.2001.21693.
7
Relation of subcutaneous and visceral adipose tissue to coronary and abdominal aortic calcium (from the Framingham Heart Study).皮下和内脏脂肪组织与冠状动脉及腹主动脉钙化的关系(来自弗雷明汉心脏研究)
Am J Cardiol. 2009 Aug 15;104(4):543-7. doi: 10.1016/j.amjcard.2009.04.019. Epub 2009 Jun 24.
8
Visceral Adipose Tissue Inflammation and Radiographic Visceral-to-Subcutaneous Adipose Tissue Ratio in Patients with Cirrhosis.肝硬化患者内脏脂肪组织炎症与影像学内脏-皮下脂肪组织比值。
Dig Dis Sci. 2022 Jul;67(7):3436-3444. doi: 10.1007/s10620-021-07099-8. Epub 2021 Jun 16.
9
Predictors for cecal insertion time: the impact of abdominal visceral fat measured by computed tomography.盲肠插入时间的预测因素:计算机断层扫描测量的腹部内脏脂肪的影响。
Dis Colon Rectum. 2014 Oct;57(10):1213-9. doi: 10.1097/DCR.0000000000000203.
10
[Is echography an adequate method for assessing the thickness of intra-abdominal fat? A comparison with computed tomography].[超声检查是评估腹内脂肪厚度的合适方法吗?与计算机断层扫描的比较]
Radiol Med. 1997 Oct;94(4):329-34.

引用本文的文献

1
Inflammatory Cells in Adipose Tissue and Skeletal Muscle of Patients with Peripheral Arterial Disease or Chronic Venous Disease: A Prospective, Observational, and Histological Study.外周动脉疾病或慢性静脉疾病患者脂肪组织和骨骼肌中的炎症细胞:一项前瞻性、观察性和组织学研究。
J Cardiovasc Dev Dis. 2024 Apr 16;11(4):121. doi: 10.3390/jcdd11040121.

本文引用的文献

1
Relationship between anthropometric indices and arterial stiffness: Insights from an epidemiologic study.人体测量指标与动脉僵硬度之间的关系:一项流行病学研究的见解
Obes Sci Pract. 2022 Jan 4;8(4):494-499. doi: 10.1002/osp4.582. eCollection 2022 Aug.
2
Relationship Between Low Skeletal Muscle Mass and Arteriosclerosis in Western China: A Cross-Sectional Study.中国西部低骨骼肌量与动脉硬化的关系:一项横断面研究
Front Cardiovasc Med. 2021 Oct 20;8:735262. doi: 10.3389/fcvm.2021.735262. eCollection 2021.
3
Visceral adiposity index is associated with arterial stiffness in hypertensive adults with normal-weight: the china H-type hypertension registry study.
内脏脂肪指数与体重正常的高血压成年人的动脉僵硬度相关:中国H型高血压注册研究
Nutr Metab (Lond). 2021 Oct 9;18(1):90. doi: 10.1186/s12986-021-00617-5.
4
Obesity and Cardiovascular Disease: A Scientific Statement From the American Heart Association.肥胖与心血管疾病:美国心脏协会科学声明
Circulation. 2021 May 25;143(21):e984-e1010. doi: 10.1161/CIR.0000000000000973. Epub 2021 Apr 22.
5
Countering adipose tissue dysfunction could underlie the superiority of telmisartan in the treatment of obesity-related hypertension.拮抗脂肪组织功能障碍可能是替米沙坦治疗肥胖相关性高血压具有优势的基础。
Cardiovasc Diabetol. 2021 Mar 24;20(1):70. doi: 10.1186/s12933-021-01259-w.
6
Statins Directly Influence the Polarization of Adipose Tissue Macrophages: A Role in Chronic Inflammation.他汀类药物直接影响脂肪组织巨噬细胞的极化:在慢性炎症中的作用。
Biomedicines. 2021 Feb 19;9(2):211. doi: 10.3390/biomedicines9020211.
7
Association of smoking with abdominal adipose deposition and muscle composition in Coronary Artery Risk Development in Young Adults (CARDIA) participants at mid-life: A population-based cohort study.在中年时期的冠状动脉风险发展在年轻人(CARDIA)参与者中,吸烟与腹部脂肪沉积和肌肉成分的关系:一项基于人群的队列研究。
PLoS Med. 2020 Jul 21;17(7):e1003223. doi: 10.1371/journal.pmed.1003223. eCollection 2020 Jul.
8
Potential role of perivascular adipose tissue in modulating atherosclerosis.血管周脂肪组织在调节动脉粥样硬化中的潜在作用。
Clin Sci (Lond). 2020 Jan 17;134(1):3-13. doi: 10.1042/CS20190577.
9
Adiponectin, a unique adipocyte-derived factor beyond hormones.脂联素:一种独特的脂肪细胞衍生因子,超越了激素的范畴。
Atherosclerosis. 2020 Jan;292:1-9. doi: 10.1016/j.atherosclerosis.2019.10.021. Epub 2019 Nov 2.
10
2019 ESC/EAS Guidelines for the management of dyslipidaemias: lipid modification to reduce cardiovascular risk.2019年欧洲心脏病学会/欧洲动脉粥样硬化学会血脂异常管理指南:通过血脂修饰降低心血管风险
Eur Heart J. 2020 Jan 1;41(1):111-188. doi: 10.1093/eurheartj/ehz455.