• 文献检索
  • 文档翻译
  • 深度研究
  • 学术资讯
  • Suppr Zotero 插件Zotero 插件
  • 邀请有礼
  • 套餐&价格
  • 历史记录
应用&插件
Suppr Zotero 插件Zotero 插件浏览器插件Mac 客户端Windows 客户端微信小程序
定价
高级版会员购买积分包购买API积分包
服务
文献检索文档翻译深度研究API 文档MCP 服务
关于我们
关于 Suppr公司介绍联系我们用户协议隐私条款
关注我们

Suppr 超能文献

核心技术专利:CN118964589B侵权必究
粤ICP备2023148730 号-1Suppr @ 2026

文献检索

告别复杂PubMed语法,用中文像聊天一样搜索,搜遍4000万医学文献。AI智能推荐,让科研检索更轻松。

立即免费搜索

文件翻译

保留排版,准确专业,支持PDF/Word/PPT等文件格式,支持 12+语言互译。

免费翻译文档

深度研究

AI帮你快速写综述,25分钟生成高质量综述,智能提取关键信息,辅助科研写作。

立即免费体验

由YY1/HDAC2介导的RCAN1.4表达的破坏调节慢性肾移植间质纤维化。

Disruption of RCAN1.4 expression mediated by YY1/HDAC2 modulates chronic renal allograft interstitial fibrosis.

作者信息

Zhang Jianjian, Zhang Yao, Feng Dengyuan, Zhou Hai, Gui Zeping, Zheng Ming, Hang Zhou, Gu Min, Tan Ruoyun

机构信息

Department of Urology, the First Affiliated Hospital of Nanjing Medical University, Jiangsu Province Hospital, 210029, Nanjing, China.

出版信息

Cell Death Discov. 2023 Jul 28;9(1):271. doi: 10.1038/s41420-023-01574-z.

DOI:10.1038/s41420-023-01574-z
PMID:37507403
原文链接:https://pmc.ncbi.nlm.nih.gov/articles/PMC10382480/
Abstract

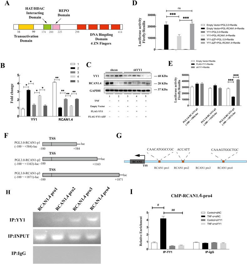
Chronic allograft dysfunction (CAD) is a major factor that hinders kidney transplant survival in the long run. Epithelial-mesenchymal transition (EMT) has been confirmed to significantly contribute to interstitial fibrosis/tubular atrophy (IF/TA), which is the main histopathological feature of CAD. Aberrant expression of the regulator of calcineurin 1 (RCAN1), recognized as an endogenous inhibitor of the calcineurin phosphatase, has been shown to be extensively involved in various kidney diseases. However, it remains unclear how RCAN1.4 regulates IF/TA formation in CAD patients. Herein, an in vivo mouse renal transplantation model and an in vitro model of human renal tubular epithelial cells (HK-2) treated with tumor necrosis factor-α (TNF-α) were employed. Our results proved that RCAN1.4 expression was decreased in vivo and in vitro, in addition to the up-regulation of Yin Yang 1 (YY1), a transcription factor that has been reported to convey multiple functions in chronic kidney disease (CKD). Knocking in of RCAN1.4 efficiently attenuated chronic renal allograft interstitial fibrosis in vivo and inhibited TNF-α-induced EMT in vitro through regulating anti-oxidative stress and the calcineurin/nuclear factor of activated T cells cytoplasmic 1 (NFATc1) signaling pathway. In addition, suppression of YY1 mediated by shRNA or siRNA alleviated TNF-α-induced EMT through abolishing reactive species partly in an RCAN1.4-dependent manner. Notably, we confirmed that YY1 negatively regulated RCAN1.4 transcription by directly interacting with the RCAN1.4 promoter. In addition, histone deacetylase 2 (HDAC2) interacted with YY1 to form a multi-molecular complex, which was involved in TNF-α-induced RCAN1.4 transcriptional repression. Therefore, RCAN1.4 is suggested to be modulated by the YY1/HDAC2 transcription repressor complex in an epigenetic manner, which is a mediated nephroprotective effect partly through modulating O2⋅- generation and the calcineurin/NFATc1 signaling pathway. Thus, the YY1-RCAN1.4 axis constitutes an innovative target for IF/TA treatment in CAD patients.

摘要

慢性移植肾失功(CAD)是长期阻碍肾移植存活的主要因素。上皮-间质转化(EMT)已被证实对间质纤维化/肾小管萎缩(IF/TA)有显著影响,而IF/TA是CAD的主要组织病理学特征。钙调神经磷酸酶1调节因子(RCAN1)的异常表达被认为是钙调神经磷酸酶的内源性抑制剂,已被证明广泛参与各种肾脏疾病。然而,RCAN1.4如何调节CAD患者的IF/TA形成仍不清楚。在此,我们采用了体内小鼠肾移植模型和体外人肾小管上皮细胞(HK-2)用肿瘤坏死因子-α(TNF-α)处理的模型。我们的结果证明,除了阴阳1(YY1)上调外,RCAN1.4在体内和体外的表达均降低,YY1是一种转录因子,据报道在慢性肾脏病(CKD)中具有多种功能。通过调节抗氧化应激和钙调神经磷酸酶/活化T细胞核因子细胞质1(NFATc1)信号通路,敲入RCAN1.4可有效减轻体内慢性移植肾间质纤维化,并在体外抑制TNF-α诱导的EMT。此外,shRNA或siRNA介导的YY1抑制通过部分以RCAN1.4依赖性方式消除活性物质,减轻了TNF-α诱导的EMT。值得注意的是,我们证实YY1通过直接与RCAN1.4启动子相互作用来负调节RCAN1.4转录。此外,组蛋白去乙酰化酶2(HDAC2)与YY1相互作用形成多分子复合物,参与TNF-α诱导的RCAN1.4转录抑制。因此,提示RCAN1.4以表观遗传方式由YY1/HDAC2转录抑制复合物调节,这部分是通过调节O2⋅-生成和钙调神经磷酸酶/NFATc1信号通路介导的肾保护作用。因此,YY1-RCAN1.4轴构成了CAD患者IF/TA治疗的一个新靶点。

https://cdn.ncbi.nlm.nih.gov/pmc/blobs/9d8f/10382480/c54250bc8b3f/41420_2023_1574_Fig7_HTML.jpg
https://cdn.ncbi.nlm.nih.gov/pmc/blobs/9d8f/10382480/43a8514bb1df/41420_2023_1574_Fig1_HTML.jpg
https://cdn.ncbi.nlm.nih.gov/pmc/blobs/9d8f/10382480/c1768191df2e/41420_2023_1574_Fig2_HTML.jpg
https://cdn.ncbi.nlm.nih.gov/pmc/blobs/9d8f/10382480/c404ea3dbcd1/41420_2023_1574_Fig3_HTML.jpg
https://cdn.ncbi.nlm.nih.gov/pmc/blobs/9d8f/10382480/e30e5b3e036f/41420_2023_1574_Fig4_HTML.jpg
https://cdn.ncbi.nlm.nih.gov/pmc/blobs/9d8f/10382480/2158112edf94/41420_2023_1574_Fig5_HTML.jpg
https://cdn.ncbi.nlm.nih.gov/pmc/blobs/9d8f/10382480/ac1f4f053325/41420_2023_1574_Fig6_HTML.jpg
https://cdn.ncbi.nlm.nih.gov/pmc/blobs/9d8f/10382480/c54250bc8b3f/41420_2023_1574_Fig7_HTML.jpg
https://cdn.ncbi.nlm.nih.gov/pmc/blobs/9d8f/10382480/43a8514bb1df/41420_2023_1574_Fig1_HTML.jpg
https://cdn.ncbi.nlm.nih.gov/pmc/blobs/9d8f/10382480/c1768191df2e/41420_2023_1574_Fig2_HTML.jpg
https://cdn.ncbi.nlm.nih.gov/pmc/blobs/9d8f/10382480/c404ea3dbcd1/41420_2023_1574_Fig3_HTML.jpg
https://cdn.ncbi.nlm.nih.gov/pmc/blobs/9d8f/10382480/e30e5b3e036f/41420_2023_1574_Fig4_HTML.jpg
https://cdn.ncbi.nlm.nih.gov/pmc/blobs/9d8f/10382480/2158112edf94/41420_2023_1574_Fig5_HTML.jpg
https://cdn.ncbi.nlm.nih.gov/pmc/blobs/9d8f/10382480/ac1f4f053325/41420_2023_1574_Fig6_HTML.jpg
https://cdn.ncbi.nlm.nih.gov/pmc/blobs/9d8f/10382480/c54250bc8b3f/41420_2023_1574_Fig7_HTML.jpg

相似文献

1
Disruption of RCAN1.4 expression mediated by YY1/HDAC2 modulates chronic renal allograft interstitial fibrosis.由YY1/HDAC2介导的RCAN1.4表达的破坏调节慢性肾移植间质纤维化。
Cell Death Discov. 2023 Jul 28;9(1):271. doi: 10.1038/s41420-023-01574-z.
2
NSD2 modulates Drp1-mediated mitochondrial fission in chronic renal allograft interstitial fibrosis by methylating STAT1.NSD2 通过甲基化 STAT1 调节慢性肾移植间质纤维化中 Drp1 介导的线粒体分裂。
Pharmacol Res. 2024 Feb;200:107051. doi: 10.1016/j.phrs.2023.107051. Epub 2024 Jan 6.
3
Bortezomib attenuates renal interstitial fibrosis in kidney transplantation via regulating the EMT induced by TNF-α-Smurf1-Akt-mTOR-P70S6K pathway.硼替佐米通过调节 TNF-α-Smurf1-Akt-mTOR-P70S6K 通路诱导的 EMT 来减轻肾移植中的肾间质纤维化。
J Cell Mol Med. 2019 Aug;23(8):5390-5402. doi: 10.1111/jcmm.14420. Epub 2019 May 29.
4
Sirt1 inhibits renal tubular cell epithelial-mesenchymal transition through YY1 deacetylation in diabetic nephropathy.Sirt1 通过去乙酰化 YY1 抑制糖尿病肾病肾小管上皮细胞间质转化。
Acta Pharmacol Sin. 2021 Feb;42(2):242-251. doi: 10.1038/s41401-020-0450-2. Epub 2020 Jun 17.
5
RCAN1.4 attenuates renal fibrosis through inhibiting calcineurin-mediated nuclear translocation of NFAT2.RCAN1.4通过抑制钙调神经磷酸酶介导的NFAT2核转位来减轻肾纤维化。
Cell Death Discov. 2021 Oct 27;7(1):317. doi: 10.1038/s41420-021-00713-8.
6
Regulators of calcineurin 1 deficiency attenuates tubulointerstitial fibrosis through improving mitochondrial fitness.钙调磷酸酶 1 缺乏调节剂通过改善线粒体健康来减轻肾小管间质纤维化。
FASEB J. 2020 Nov;34(11). doi: 10.1096/fj.202000781RRR. Epub 2020 Sep 7.
7
Everolimus Alleviates Renal Allograft Interstitial Fibrosis by Inhibiting Epithelial-to-Mesenchymal Transition Not Only Inducing Autophagy but Also Stabilizing IκB-α.依维莫司通过抑制上皮间质转化不仅诱导自噬,而且稳定 IκB-α,从而减轻肾移植间质纤维化。
Front Immunol. 2022 Jan 24;12:753412. doi: 10.3389/fimmu.2021.753412. eCollection 2021.
8
Role of tumor necrosis factor-α in epithelial-to-mesenchymal transition in transplanted kidney cells in recipients with chronic allograft dysfunction.肿瘤坏死因子-α在慢性移植肾功能不全受者移植肾细胞上皮-间质转化中的作用
Gene. 2018 Feb 5;642:483-490. doi: 10.1016/j.gene.2017.11.059. Epub 2017 Nov 23.
9
YY1: A novel therapeutic target for diabetic nephropathy orchestrated renal fibrosis.YY1:糖尿病肾病中肾脏纤维化的新型治疗靶点。
Metabolism. 2019 Jul;96:33-45. doi: 10.1016/j.metabol.2019.04.013. Epub 2019 Apr 25.
10
Methylation of RCAN1.4 mediated by DNMT1 and DNMT3b enhances hepatic stellate cell activation and liver fibrogenesis through Calcineurin/NFAT3 signaling.DNMT1 和 DNMT3b 介导的 RCAN1.4 甲基化通过钙调神经磷酸酶/NFAT3 信号增强肝星状细胞激活和肝纤维化。
Theranostics. 2019 Jun 9;9(15):4308-4323. doi: 10.7150/thno.32710. eCollection 2019.

本文引用的文献

1
RCAN1.4 attenuates renal fibrosis through inhibiting calcineurin-mediated nuclear translocation of NFAT2.RCAN1.4通过抑制钙调神经磷酸酶介导的NFAT2核转位来减轻肾纤维化。
Cell Death Discov. 2021 Oct 27;7(1):317. doi: 10.1038/s41420-021-00713-8.
2
Defining therapeutic targets for renal fibrosis: Exploiting the biology of pathogenesis.确定肾纤维化的治疗靶点:利用发病机制生物学
Biomed Pharmacother. 2021 Nov;143:112115. doi: 10.1016/j.biopha.2021.112115. Epub 2021 Sep 3.
3
Epithelial-Mesenchymal Transition (EMT): The Type-2 EMT in Wound Healing, Tissue Regeneration and Organ Fibrosis.
上皮-间充质转化(EMT):创伤愈合、组织再生和器官纤维化中的 2 型 EMT。
Cells. 2021 Jun 23;10(7):1587. doi: 10.3390/cells10071587.
4
Kidney Allograft Fibrosis: Diagnostic and Therapeutic Strategies.肾移植纤维化:诊断与治疗策略。
Transplantation. 2021 Oct 1;105(10):e114-e130. doi: 10.1097/TP.0000000000003678.
5
Impaired ATG16L-Dependent Autophagy Promotes Renal Interstitial Fibrosis in Chronic Renal Graft Dysfunction Through Inducing EndMT by NF-κB Signal Pathway.自噬相关基因 16 样蛋白 1 依赖性自噬通过 NF-κB 信号通路诱导间充质转分化促进慢性移植肾失功肾间质纤维化。
Front Immunol. 2021 Apr 13;12:650424. doi: 10.3389/fimmu.2021.650424. eCollection 2021.
6
Potential Effects of Immunosuppression on Oxidative Stress and Atherosclerosis in Kidney Transplant Recipients.免疫抑制对肾移植受者氧化应激和动脉粥样硬化的潜在影响。
Oxid Med Cell Longev. 2021 Feb 20;2021:6660846. doi: 10.1155/2021/6660846. eCollection 2021.
7
Bortezomib limits renal allograft interstitial fibrosis by inhibiting NF-κB/TNF-α/Akt/mTOR/P70S6K/Smurf2 pathway via IκBα protein stabilization.硼替佐米通过稳定 IκBα 蛋白抑制 NF-κB/TNF-α/Akt/mTOR/P70S6K/Smurf2 通路限制肾移植间质纤维化。
Clin Sci (Lond). 2021 Jan 15;135(1):53-69. doi: 10.1042/CS20201038.
8
Disruption of super-enhancer-driven tumor suppressor gene RCAN1.4 expression promotes the malignancy of breast carcinoma.破坏超级增强子驱动的肿瘤抑制基因 RCAN1.4 的表达可促进乳腺癌的恶性转化。
Mol Cancer. 2020 Aug 8;19(1):122. doi: 10.1186/s12943-020-01236-z.
9
Sirt1 inhibits renal tubular cell epithelial-mesenchymal transition through YY1 deacetylation in diabetic nephropathy.Sirt1 通过去乙酰化 YY1 抑制糖尿病肾病肾小管上皮细胞间质转化。
Acta Pharmacol Sin. 2021 Feb;42(2):242-251. doi: 10.1038/s41401-020-0450-2. Epub 2020 Jun 17.
10
RCAN1.4 mediates high glucose-induced matrix production by stimulating mitochondrial fission in mesangial cells.RCAN1.4 通过刺激系膜细胞中线粒体分裂介导高糖诱导的基质产生。
Biosci Rep. 2020 Jan 31;40(1). doi: 10.1042/BSR20192759.