Department of Urology, The First Affiliated Hospital of Nanjing Medical University, Nanjing, China.
Department of Urology, The Second Affiliated Hospital of Nanjing Medical University, Nanjing, China.
Front Immunol. 2021 Apr 13;12:650424. doi: 10.3389/fimmu.2021.650424. eCollection 2021.
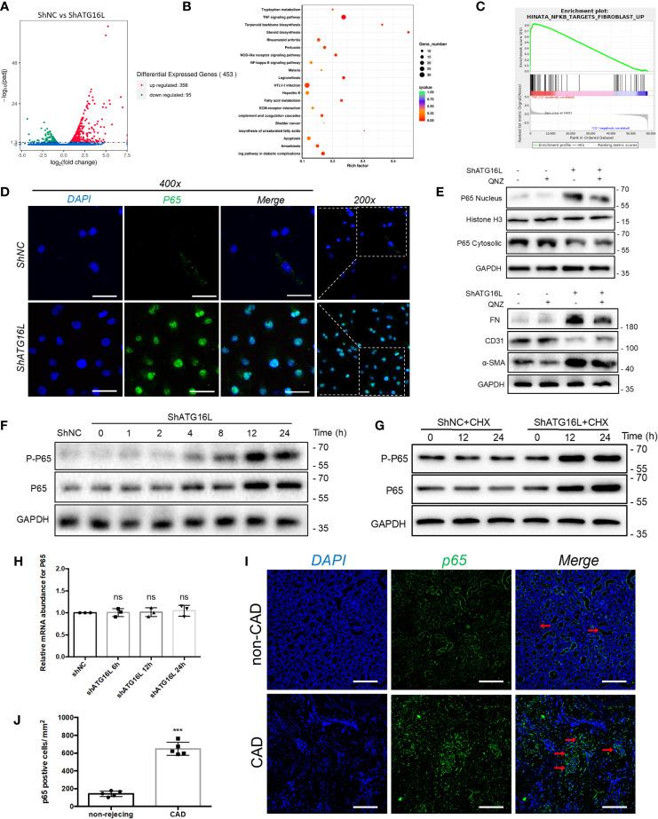
Chronic renal graft dysfunction (CAD) is caused by multiple factors, including glomerular sclerosis, inflammation, interstitial fibrosis and tubular atrophy (IF/TA). However, the most prominent elements of CAD are IF/TA. Our studies have confirmed that endothelial-mesenchymal transition (EndMT) is an important source to allograft IF/TA. The characteristic of EndMT is the loss of endothelial marker and the acquisition of mesenchymal or fibroblastic phenotypes. Autophagy is an intracellular degradation pathway that is regulated by autophagy-related proteins and plays a vital role in many fibrotic conditions. However, whether or not autophagy contributes to fibrosis of renal allograft and how such mechanism occurs still remains unclear. Autophagy related 16 like gene (ATG16L) is a critical autophagy-related gene (ARG) necessary for autophagosome formation. Here, we first analyzed kidney transplant patient tissues from Gene Expression Omnibus (GEO) datasets and 60 transplant patients from our center. Recipients with stable kidney function were defined as non-CAD group and all patients in CAD group were histopathologically diagnosed with CAD. Results showed that ATG16L, as one significant differential ARG, was less expressed in CAD group compared to the non-CAD group. Furthermore, we found there were less autophagosomes and autolysosomes in transplanted kidneys of CAD patients, and downregulation of autophagy is a poor prognostic factor. In vitro, we found out that the knockdown of ATG16L enhanced the process of EndMT in human renal glomerular endothelial cells (HRGECs). , the changes of EndMT and autophagic flux were then detected in rat renal transplant models of CAD. We demonstrated the occurrence of EndMT, and indicated that abundance of ATG16L was accompanied by the dynamic autophagic flux change along different stages of kidney transplantation. Mechanistically, knockdown of ATG16L, specifically in endothelial cells, reduced of NF-κB degradation and excreted inflammatory cytokines (IL-1β, IL-6 and TNF-α), which could facilitate EndMT. In conclusion, ATG16L-dependent autophagic flux causing by transplant showed progressive loss increase over time. Inflammatory cytokines from this process promoted EndMT, thereby leading to progression of CAD. ATG16L served as a negative regulator of EndMT and development of renal graft fibrosis, and autophagy can be explored as a potential therapeutic target for chronic renal graft dysfunction.
慢性移植肾失功(CAD)由多种因素引起,包括肾小球硬化、炎症、间质纤维化和肾小管萎缩(IF/TA)。然而,CAD 最突出的元素是 IF/TA。我们的研究已经证实,内皮-间充质转化(EndMT)是同种异体移植物 IF/TA 的重要来源。EndMT 的特征是内皮标志物的丧失和间充质或成纤维细胞表型的获得。自噬是一种由自噬相关蛋白调控的细胞内降解途径,在许多纤维化条件中发挥重要作用。然而,自噬是否导致肾移植纤维化以及这种机制是如何发生的仍然不清楚。自噬相关 16 样基因(ATG16L)是自噬小体形成所必需的关键自噬相关基因(ARG)。在这里,我们首先分析了来自基因表达综合数据库(GEO)数据集的肾移植患者组织和我们中心的 60 名移植患者。肾功能稳定的受者定义为非 CAD 组,所有 CAD 组患者均经组织病理学诊断为 CAD。结果表明,ATG16L 作为一个显著差异的 ARG,在 CAD 组中的表达低于非 CAD 组。此外,我们发现 CAD 患者移植肾脏中的自噬体和自溶体较少,并且自噬下调是预后不良的因素。在体外,我们发现 ATG16L 的敲低增强了人肾小球内皮细胞(HRGECs)中的 EndMT 过程。在 CAD 大鼠肾移植模型中,然后检测了 EndMT 和自噬流的变化。我们证明了 EndMT 的发生,并表明 ATG16L 的丰度伴随着肾移植不同阶段动态自噬流变化。机制上,内皮细胞中 ATG16L 的敲低减少了 NF-κB 的降解和炎性细胞因子(IL-1β、IL-6 和 TNF-α)的分泌,从而促进了 EndMT。总之,移植引起的 ATG16L 依赖性自噬流随时间推移呈进行性增加。来自这个过程的炎性细胞因子促进了 EndMT,从而导致 CAD 的进展。ATG16L 作为 EndMT 和肾移植纤维化发展的负调节剂,自噬可以作为慢性肾移植功能障碍的潜在治疗靶点。