• 文献检索
  • 文档翻译
  • 深度研究
  • 学术资讯
  • Suppr Zotero 插件Zotero 插件
  • 邀请有礼
  • 套餐&价格
  • 历史记录
应用&插件
Suppr Zotero 插件Zotero 插件浏览器插件Mac 客户端Windows 客户端微信小程序
定价
高级版会员购买积分包购买API积分包
服务
文献检索文档翻译深度研究API 文档MCP 服务
关于我们
关于 Suppr公司介绍联系我们用户协议隐私条款
关注我们

Suppr 超能文献

核心技术专利:CN118964589B侵权必究
粤ICP备2023148730 号-1Suppr @ 2026

文献检索

告别复杂PubMed语法,用中文像聊天一样搜索,搜遍4000万医学文献。AI智能推荐,让科研检索更轻松。

立即免费搜索

文件翻译

保留排版,准确专业,支持PDF/Word/PPT等文件格式,支持 12+语言互译。

免费翻译文档

深度研究

AI帮你快速写综述,25分钟生成高质量综述,智能提取关键信息,辅助科研写作。

立即免费体验

灌注和超声处理制备具有保留的微观结构的去细胞化猪全卵巢支架。

Perfusion and Ultrasonication Produce a Decellularized Porcine Whole-Ovary Scaffold with a Preserved Microarchitecture.

机构信息

Department of Surgery, School of Veterinary Medicine and Animal Science, University of São Paulo, São Paulo 05508-270, Brazil.

Department of Physics, State University of Maringá, Maringá 87020-900, Brazil.

出版信息

Cells. 2023 Jul 15;12(14):1864. doi: 10.3390/cells12141864.

DOI:10.3390/cells12141864
PMID:37508528
原文链接:https://pmc.ncbi.nlm.nih.gov/articles/PMC10378497/
Abstract

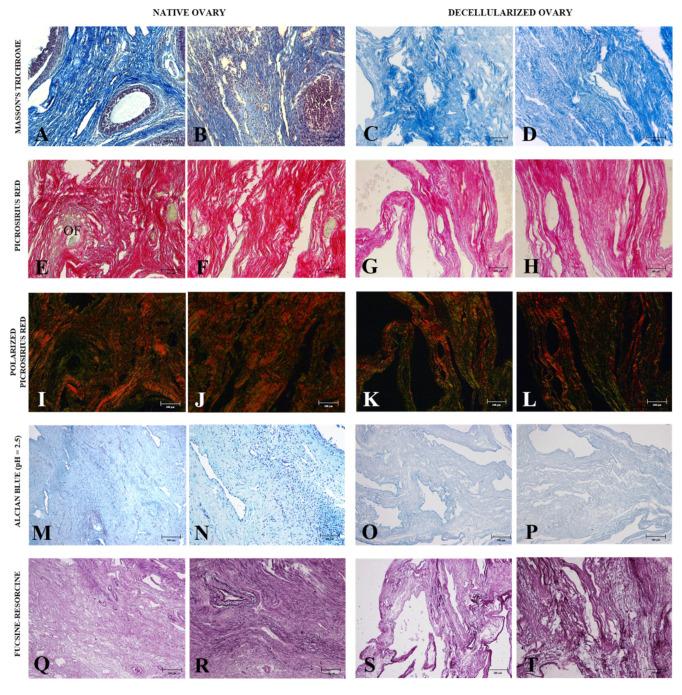
The application of decellularized scaffolds for artificial tissue reconstruction has been an approach with great therapeutic potential in regenerative medicine. Recently, biomimetic ovarian tissue reconstruction was proposed to reestablish ovarian endocrine functions. Despite many decellularization methods proposed, there is no established protocol for whole ovaries by detergent perfusion that is able to preserve tissue macro and microstructure with higher efficiency. This generated biomaterial may have the potential to be applied for other purposes beyond reproduction and be translated to other areas in the tissue engineering field. Therefore, this study aimed to establish and standardize a protocol for porcine ovaries' decellularization based on detergent perfusion and ultrasonication to obtain functional whole-ovary scaffolds. For that, porcine ovaries ( = 5) were perfused with detergents (0.5% SDS and 1% Triton X-100) and submitted to an ultrasonication bath to produce acellular scaffolds. The decellularization efficiency was evaluated by DAPI staining and total genomic DNA quantification. ECM morphological evaluation was performed by histological, immunohistochemistry, and ultrastructural analyses. ECM physico-chemical composition was evaluated using FTIR and Raman spectroscopy. A cytocompatibility and cell adhesion assay using murine fibroblasts was performed. Results showed that the proposed method was able to remove cellular components efficiently. There was no significant ECM component loss in relation to native tissue, and the scaffolds were cytocompatible and allowed cell attachment. In conclusion, the proposed decellularization protocol produced whole-ovaries scaffolds with preserved ECM composition and great potential for application in tissue engineering.

摘要

脱细胞支架在人工组织重建中的应用是再生医学中一种具有巨大治疗潜力的方法。最近,仿生卵巢组织重建被提出以重建卵巢内分泌功能。尽管已经提出了许多脱细胞方法,但目前还没有一种能够以更高效率保留组织宏观和微观结构的去污剂灌注全卵巢脱细胞方法。这种生物材料可能具有超越生殖功能的潜在应用,并可以转化为组织工程领域的其他领域。因此,本研究旨在建立和标准化一种基于去污剂灌注和超声处理的猪卵巢脱细胞方法,以获得功能性全卵巢支架。为此,用去污剂(0.5%SDS 和 1%Triton X-100)灌注猪卵巢(=5),并进行超声处理以产生脱细胞支架。通过 DAPI 染色和总基因组 DNA 定量评估脱细胞效率。通过组织学、免疫组织化学和超微结构分析评估 ECM 形态。使用傅里叶变换红外光谱(FTIR)和拉曼光谱评估 ECM 理化组成。使用鼠成纤维细胞进行细胞相容性和细胞黏附试验。结果表明,所提出的方法能够有效地去除细胞成分。与天然组织相比,ECM 成分没有明显损失,支架具有细胞相容性并允许细胞附着。总之,所提出的脱细胞方案产生了具有保留 ECM 组成的全卵巢支架,具有在组织工程中应用的巨大潜力。

https://cdn.ncbi.nlm.nih.gov/pmc/blobs/6c51/10378497/6a49801e1800/cells-12-01864-g010.jpg
https://cdn.ncbi.nlm.nih.gov/pmc/blobs/6c51/10378497/ea18c0eff4de/cells-12-01864-g001.jpg
https://cdn.ncbi.nlm.nih.gov/pmc/blobs/6c51/10378497/10f5f04a6125/cells-12-01864-g002.jpg
https://cdn.ncbi.nlm.nih.gov/pmc/blobs/6c51/10378497/63b974e88674/cells-12-01864-g003.jpg
https://cdn.ncbi.nlm.nih.gov/pmc/blobs/6c51/10378497/3fa6eaa3b600/cells-12-01864-g004.jpg
https://cdn.ncbi.nlm.nih.gov/pmc/blobs/6c51/10378497/85fa395e7d72/cells-12-01864-g005.jpg
https://cdn.ncbi.nlm.nih.gov/pmc/blobs/6c51/10378497/6ecdf775a056/cells-12-01864-g006.jpg
https://cdn.ncbi.nlm.nih.gov/pmc/blobs/6c51/10378497/01dce57d6d3f/cells-12-01864-g007.jpg
https://cdn.ncbi.nlm.nih.gov/pmc/blobs/6c51/10378497/c2532d385807/cells-12-01864-g008.jpg
https://cdn.ncbi.nlm.nih.gov/pmc/blobs/6c51/10378497/f04ed241abc7/cells-12-01864-g009.jpg
https://cdn.ncbi.nlm.nih.gov/pmc/blobs/6c51/10378497/6a49801e1800/cells-12-01864-g010.jpg
https://cdn.ncbi.nlm.nih.gov/pmc/blobs/6c51/10378497/ea18c0eff4de/cells-12-01864-g001.jpg
https://cdn.ncbi.nlm.nih.gov/pmc/blobs/6c51/10378497/10f5f04a6125/cells-12-01864-g002.jpg
https://cdn.ncbi.nlm.nih.gov/pmc/blobs/6c51/10378497/63b974e88674/cells-12-01864-g003.jpg
https://cdn.ncbi.nlm.nih.gov/pmc/blobs/6c51/10378497/3fa6eaa3b600/cells-12-01864-g004.jpg
https://cdn.ncbi.nlm.nih.gov/pmc/blobs/6c51/10378497/85fa395e7d72/cells-12-01864-g005.jpg
https://cdn.ncbi.nlm.nih.gov/pmc/blobs/6c51/10378497/6ecdf775a056/cells-12-01864-g006.jpg
https://cdn.ncbi.nlm.nih.gov/pmc/blobs/6c51/10378497/01dce57d6d3f/cells-12-01864-g007.jpg
https://cdn.ncbi.nlm.nih.gov/pmc/blobs/6c51/10378497/c2532d385807/cells-12-01864-g008.jpg
https://cdn.ncbi.nlm.nih.gov/pmc/blobs/6c51/10378497/f04ed241abc7/cells-12-01864-g009.jpg
https://cdn.ncbi.nlm.nih.gov/pmc/blobs/6c51/10378497/6a49801e1800/cells-12-01864-g010.jpg

相似文献

1
Perfusion and Ultrasonication Produce a Decellularized Porcine Whole-Ovary Scaffold with a Preserved Microarchitecture.灌注和超声处理制备具有保留的微观结构的去细胞化猪全卵巢支架。
Cells. 2023 Jul 15;12(14):1864. doi: 10.3390/cells12141864.
2
Method for perfusion decellularization of porcine whole liver and kidney for use as a scaffold for clinical-scale bioengineering engrafts.用于猪全肝和全肾灌注去细胞化的方法,以用作临床规模生物工程移植物的支架。
Xenotransplantation. 2015 Jan-Feb;22(1):48-61. doi: 10.1111/xen.12141. Epub 2014 Oct 7.
3
Decellularization of porcine whole lung to obtain a clinical-scale bioengineered scaffold.猪全肺去细胞化以获得临床规模的生物工程支架。
J Biomed Mater Res A. 2021 Sep;109(9):1623-1632. doi: 10.1002/jbm.a.37158. Epub 2021 Mar 7.
4
Perfusion decellularization of human and porcine lungs: bringing the matrix to clinical scale.人肺和猪肺的灌注去细胞化:将基质扩大至临床规模
J Heart Lung Transplant. 2014 Mar;33(3):298-308. doi: 10.1016/j.healun.2013.10.030. Epub 2013 Oct 26.
5
Fast, robust and effective decellularization of whole human livers using mild detergents and pressure controlled perfusion.使用温和的清洁剂和压力控制灌注快速、稳健且有效地去除整个人类肝脏的细胞。
Mater Sci Eng C Mater Biol Appl. 2020 Mar;108:110200. doi: 10.1016/j.msec.2019.110200. Epub 2019 Sep 12.
6
Liquid nitrogen improves the decellularization effectiveness of whole-ovary.液氮提高了整个卵巢脱细胞的效果。
Cryo Letters. 2024 May-Jun;45(3):177-184.
7
Targeted proteomics effectively quantifies differences between native lung and detergent-decellularized lung extracellular matrices.靶向蛋白质组学有效地量化了天然肺与去垢剂脱细胞肺细胞外基质之间的差异。
Acta Biomater. 2016 Dec;46:91-100. doi: 10.1016/j.actbio.2016.09.043. Epub 2016 Sep 29.
8
Establishment of decellularized extracellular matrix scaffold derived from caprine pancreas as a novel alternative template over porcine pancreatic scaffold for prospective biomedical application.以山羊胰腺脱细胞细胞外基质支架为新型替代模板,用于猪胰腺支架的潜在生物医学应用。
FASEB J. 2022 Oct;36(10):e22574. doi: 10.1096/fj.202200807R.
9
Decellularized human ovarian scaffold based on a sodium lauryl ester sulfate (SLES)-treated protocol, as a natural three-dimensional scaffold for construction of bioengineered ovaries.基于十二烷基硫酸钠(SLES)处理方案的去细胞化人卵巢支架,作为构建生物工程卵巢的天然三维支架。
Stem Cell Res Ther. 2018 Sep 26;9(1):252. doi: 10.1186/s13287-018-0971-5.
10
Initial steps in reconstruction of the human ovary: survival of pre-antral stage follicles in a decellularized human ovarian scaffold.人类卵巢重建的初始步骤:去细胞化人卵巢支架中原始卵泡的存活。
Hum Reprod. 2019 Aug 1;34(8):1523-1535. doi: 10.1093/humrep/dez077.

引用本文的文献

1
Acellular porcine placental membranes as a novel biomaterial for tissue repair applications.脱细胞猪胎盘膜作为一种用于组织修复应用的新型生物材料。
Front Bioeng Biotechnol. 2025 Jun 18;13:1606615. doi: 10.3389/fbioe.2025.1606615. eCollection 2025.
2
MACS and acellular autologous non-ovarian tissue scaffolds: a promising strategy for safe and efficient follicle transplantation in hematologic cancer.磁性激活细胞分选(MACS)与脱细胞自体非卵巢组织支架:血液系统癌症中安全高效卵泡移植的一种有前景的策略
J Ovarian Res. 2025 Jun 10;18(1):126. doi: 10.1186/s13048-025-01687-2.
3
Innovation in ovary decellularization methods: Chemical and herbal detergents.

本文引用的文献

1
Current Trends on Bioengineering Approaches for Ovarian Microenvironment Reconstruction.当前生物工程方法在卵巢微环境重建中的研究进展。
Tissue Eng Part B Rev. 2023 Jun;29(3):260-298. doi: 10.1089/ten.TEB.2022.0171. Epub 2023 Mar 9.
2
Construction of Artificial Ovaries with Decellularized Porcine Scaffold and Its Elicited Immune Response after Xenotransplantation in Mice.利用去细胞猪支架构建人工卵巢及其在小鼠异种移植后的免疫反应
J Funct Biomater. 2022 Sep 28;13(4):165. doi: 10.3390/jfb13040165.
3
Biomaterials for Mimicking and Modelling Tumor Microenvironment.
卵巢脱细胞方法的创新:化学和草药洗涤剂。
Regen Ther. 2025 Feb 13;28:573-581. doi: 10.1016/j.reth.2025.01.023. eCollection 2025 Mar.
4
Decellularised extracellular matrix-based injectable hydrogels for tissue engineering applications.用于组织工程应用的基于脱细胞细胞外基质的可注射水凝胶。
Biomater Transl. 2024 Jun 28;5(2):114-128. doi: 10.12336/biomatertransl.2024.02.003. eCollection 2024.
5
Region-Specific Decellularization of Porcine Uterine Tube Extracellular Matrix: A New Approach for Reproductive Tissue-Engineering Applications.猪输卵管细胞外基质的区域特异性去细胞化:生殖组织工程应用的新方法
Biomimetics (Basel). 2024 Jun 24;9(7):382. doi: 10.3390/biomimetics9070382.
6
Liver tissue engineering using decellularized scaffolds: Current progress, challenges, and opportunities.利用脱细胞支架的肝脏组织工程:当前进展、挑战与机遇。
Bioact Mater. 2024 Jun 14;40:280-305. doi: 10.1016/j.bioactmat.2024.06.001. eCollection 2024 Oct.
7
Decellularized Bovine Skeletal Muscle Scaffolds: Structural Characterization and Preliminary Cytocompatibility Evaluation.脱细胞牛骨骼肌支架:结构特征与初步细胞相容性评价。
Cells. 2024 Apr 16;13(8):688. doi: 10.3390/cells13080688.
用于模拟和建模肿瘤微环境的生物材料。
Adv Exp Med Biol. 2022;1379:139-170. doi: 10.1007/978-3-031-04039-9_6.
4
Mouse ovarian follicle growth in an amniotic membrane-based hydrogel.基于羊膜的水凝胶中的小鼠卵巢卵泡生长。
J Biomater Appl. 2022 Sep;37(3):563-574. doi: 10.1177/08853282221094193. Epub 2022 Apr 22.
5
Recent Advances in Liver Engineering With Decellularized Scaffold.脱细胞支架在肝脏工程中的最新进展
Front Bioeng Biotechnol. 2022 Feb 10;10:831477. doi: 10.3389/fbioe.2022.831477. eCollection 2022.
6
Oocyte Cryopreservation - Current Scenario and Future Perspectives: A Narrative Review.卵母细胞冷冻保存——现状与未来展望:一篇叙述性综述
J Hum Reprod Sci. 2021 Oct-Dec;14(4):340-349. doi: 10.4103/jhrs.jhrs_173_21. Epub 2021 Dec 31.
7
Comparison between slow freezing and vitrification of ovarian tissue cryopreservation in assigned female at birth transgender people receiving testosterone therapy: data on histological and viability parameters.在接受雄激素治疗的指定出生时为女性的跨性别者的卵巢组织冷冻保存中,慢冻法与玻璃化法的比较:组织学和活力参数的数据。
J Assist Reprod Genet. 2022 Feb;39(2):527-541. doi: 10.1007/s10815-021-02386-9. Epub 2022 Jan 31.
8
Ovarian Biomechanics: From Health to Disease.卵巢生物力学:从健康到疾病
Front Oncol. 2022 Jan 7;11:744257. doi: 10.3389/fonc.2021.744257. eCollection 2021.
9
Decellularized extracellular matrix scaffolds: Recent trends and emerging strategies in tissue engineering.去细胞化细胞外基质支架:组织工程中的最新趋势和新兴策略
Bioact Mater. 2021 Sep 23;10:15-31. doi: 10.1016/j.bioactmat.2021.09.014. eCollection 2022 Apr.
10
Ovarian extracellular matrix-based hydrogel for human ovarian follicle survival in vivo: A pilot work.基于卵巢细胞外基质的水凝胶在体内人类卵泡存活中的应用:一项初步研究。
J Biomed Mater Res B Appl Biomater. 2022 May;110(5):1012-1022. doi: 10.1002/jbm.b.34974. Epub 2021 Nov 26.