Suppr超能文献

我们在您的心脏中发现了一颗“宝石”:发现了心脏瓣膜病和感染性心内膜炎。

We Found a Gem in Your Heart: Valvular Heart Disease and Infective Endocarditis Discovered.

作者信息

Lim Roy, Barimayena Justin, Mita Kelsie-Ann, Denney Brian, Coz Reejeen M

机构信息

Internal Medicine, Mount Sinai Hospital, Chicago, USA.

Pharmacology and Therapeutics, Roosevelt University College of Science, Health and Pharmacy, Schaumburg, USA.

出版信息

Cureus. 2023 Jul 20;15(7):e42176. doi: 10.7759/cureus.42176. eCollection 2023 Jul.

Abstract

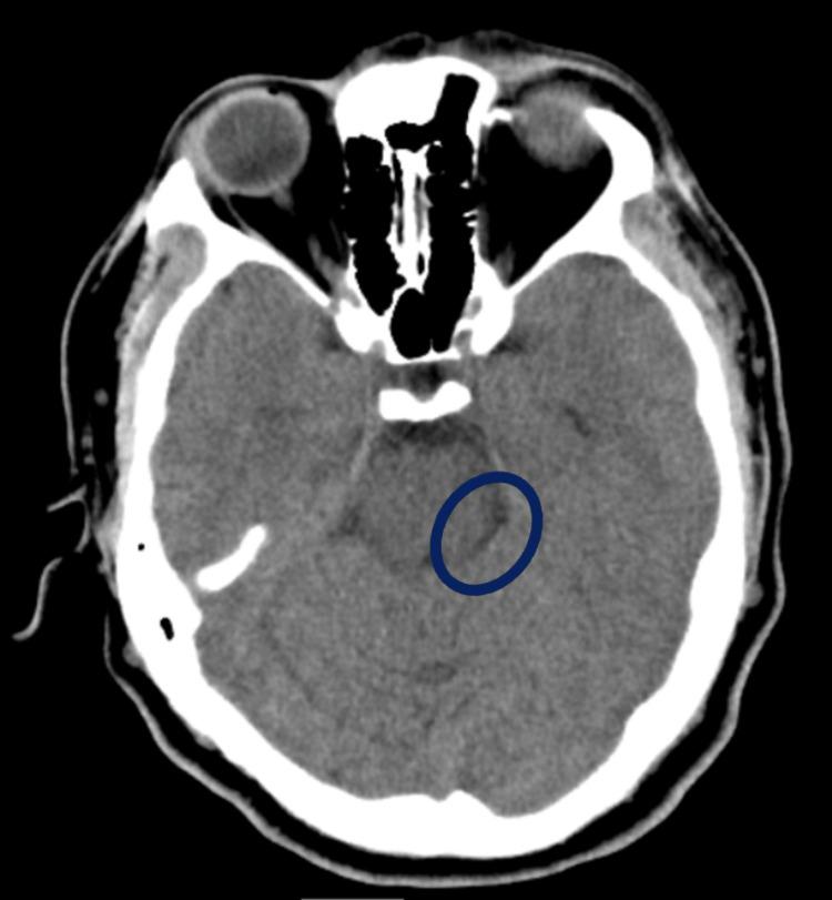
Valvular heart disease (VHD) occurs when there is a functional impairment in the valvular apparatus that either obstructs or regurgitates the backflow of blood. When a microorganism resides in those valves, it injures the leaflets and causes complications such as thromboembolic events. Infective endocarditis (IE), usually caused by the Staphylococci and Streptococcus group, is a disease that occurs on the heart valves. Antibiotic resistance is common; thus, culture and sensitivity testing should be done for a more targeted treatment approach. We herein present a rare case of () vegetations found in a patient's heart that initially presented with cerebrovascular disease symptoms and underwent heart surgery in the end.

摘要

当心脏瓣膜装置出现功能障碍,导致血液流动受阻或反流时,就会发生心脏瓣膜病(VHD)。当微生物寄生于这些瓣膜时,会损伤瓣叶并引发血栓栓塞事件等并发症。感染性心内膜炎(IE)通常由葡萄球菌和链球菌引起,是一种发生在心脏瓣膜上的疾病。抗生素耐药性很常见;因此,应进行培养和药敏试验,以采取更有针对性的治疗方法。我们在此报告一例罕见病例,患者心脏发现有()赘生物,最初表现为脑血管疾病症状,最终接受了心脏手术。

https://cdn.ncbi.nlm.nih.gov/pmc/blobs/0440/10439507/1e2c9b032562/cureus-0015-00000042176-i01.jpg

文献AI研究员

20分钟写一篇综述,助力文献阅读效率提升50倍。

立即体验

用中文搜PubMed

大模型驱动的PubMed中文搜索引擎

马上搜索

文档翻译

学术文献翻译模型,支持多种主流文档格式。

立即体验