Suppr超能文献

成人腰骶管神经母细胞瘤:一例报告及文献复习

Neuroblastoma of the lumbosacral canal in an adult: a case report and literature review.

作者信息

Jiang Qingyu, Gao Haihao, Gao Gan, Li Yang, Cheng Haofeng, Shi Guoliang, Shang Aijia

机构信息

Chinese PLA Medical School, Beijing, China.

Department of Critical Care Medicine, Chinese PAP Beijing Corps Hospital, Beijing, China.

出版信息

Front Neurol. 2023 Aug 3;14:1195664. doi: 10.3389/fneur.2023.1195664. eCollection 2023.

Abstract

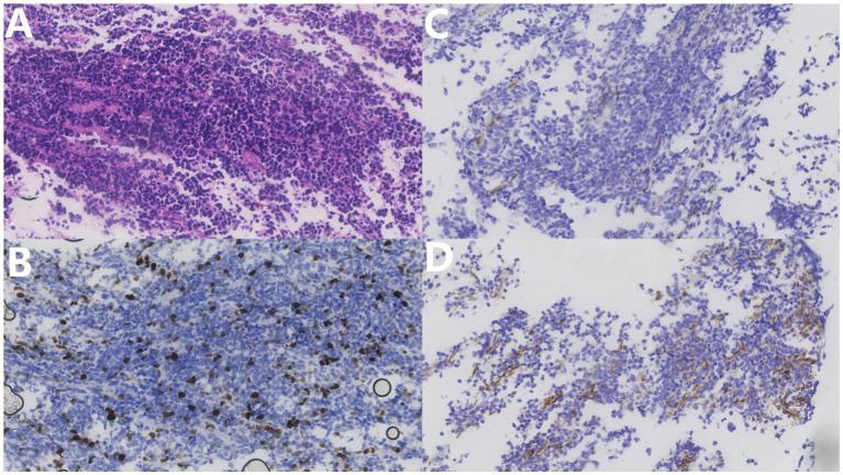
Neuroblastoma (NB) is a leading cause of death in children. It usually occurs in the adrenal gland and rarely in the spinal canal. Here, we report the case of a 48-year-old male patient with abnormal thickening of the cauda equina nerve as revealed by lumbosacral magnetic resonance imaging. The patient's main clinical manifestations were numbness and pain in both lower limbs. The patient underwent surgical treatment; however, intraoperatively, an unclear border was observed between the cauda equina nerve and the tumor; therefore, the tumor was not forcibly excised. The postoperative pathological results were reported as NB. The disease known as NB, which is extremely rare. We believe that a pathological biopsy is extremely vital for diagnosing NB, and aggressive post-operative radio-chemotherapy could potentially prolong the patient's survival time.

摘要

神经母细胞瘤(NB)是儿童死亡的主要原因。它通常发生在肾上腺,很少发生在椎管内。在此,我们报告一例48岁男性患者,腰骶部磁共振成像显示马尾神经异常增厚。患者的主要临床表现为双下肢麻木和疼痛。患者接受了手术治疗;然而,术中观察到马尾神经与肿瘤之间边界不清;因此,未强行切除肿瘤。术后病理结果报告为NB。NB这种疾病极为罕见。我们认为病理活检对诊断NB极为重要,积极的术后放化疗可能会延长患者的生存时间。

https://cdn.ncbi.nlm.nih.gov/pmc/blobs/9b91/10435846/c26e49d52258/fneur-14-1195664-g001.jpg

文献AI研究员

20分钟写一篇综述,助力文献阅读效率提升50倍。

立即体验

用中文搜PubMed

大模型驱动的PubMed中文搜索引擎

马上搜索

文档翻译

学术文献翻译模型,支持多种主流文档格式。

立即体验