Suppr超能文献

Myddosome 聚集在 IL-1 受体信号转导中调节 NF-κB 激活信号小体的形成。

Myddosome clustering in IL-1 receptor signaling regulates the formation of an NF-kB activating signalosome.

机构信息

Max Planck Institute for Infection Biology, Berlin, Germany.

出版信息

EMBO Rep. 2023 Oct 9;24(10):e57233. doi: 10.15252/embr.202357233. Epub 2023 Aug 21.

Abstract

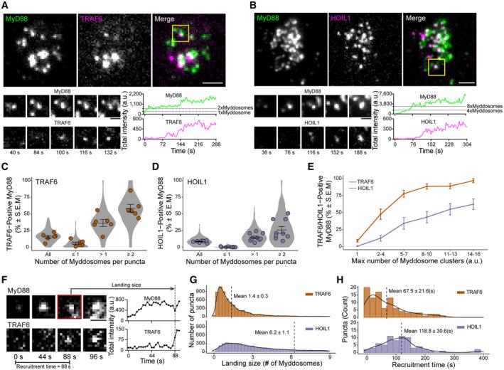
IL-1 receptor (IL-1R) signaling can activate thresholded invariant outputs and proportional outputs that scale with the amount of stimulation. Both responses require the Myddosome, a multiprotein complex. The Myddosome is required for polyubiquitin chain formation and NF-kB signaling. However, how these signals are spatially and temporally regulated to drive switch-like and proportional outcomes is not understood. During IL-1R signaling, Myddosomes dynamically reorganize into multi-Myddosome clusters at the cell membrane. Blockade of clustering using nanoscale extracellular barriers reduces NF-kB activation. Myddosomes function as scaffolds that assemble an NF-kB signalosome consisting of E3-ubiquitin ligases TRAF6 and LUBAC, K63/M1-linked polyubiquitin chains, phospho-IKK, and phospho-p65. This signalosome preferentially assembles at regions of high Myddosome density, which enhances the recruitment of TRAF6 and LUBAC. Extracellular barriers that restrict Myddosome clustering perturbed the recruitment of both ligases. We find that LUBAC was especially sensitive to clustering with 10-fold lower recruitment to single Myddosomes than clustered Myddosomes. These data reveal that the clustering behavior of Myddosomes provides a basis for digital and analog IL-1R signaling.

摘要

白细胞介素 1 受体 (IL-1R) 信号可以激活门控不变输出和与刺激量成比例的输出。这两种反应都需要 Myddosome,一种多蛋白复合物。Myddosome 是多泛素链形成和 NF-kB 信号所必需的。然而,这些信号如何在空间和时间上进行调节,以驱动开关式和比例式的结果尚不清楚。在 IL-1R 信号转导过程中,Myddosomes 会在细胞膜上动态重组为多 Myddosome 簇。使用纳米级细胞外障碍阻止聚类会降低 NF-kB 的激活。Myddosomes 作为支架,组装由 E3-泛素连接酶 TRAF6 和 LUBAC、K63/M1 连接的多泛素链、磷酸化 IKK 和磷酸化 p65 组成的 NF-kB 信号体。该信号体优先在 Myddosome 密度高的区域组装,从而增强了 TRAF6 和 LUBAC 的招募。限制 Myddosome 聚类的细胞外障碍干扰了两种连接酶的招募。我们发现,LUBAC 对聚类的敏感性特别高,与聚类的 Myddosome 相比,单个 Myddosome 的招募率低 10 倍。这些数据表明 Myddosome 的聚类行为为数字和模拟 IL-1R 信号提供了基础。

https://cdn.ncbi.nlm.nih.gov/pmc/blobs/41e0/10561168/046749c70065/EMBR-24-e57233-g001.jpg

文献检索

告别复杂PubMed语法,用中文像聊天一样搜索,搜遍4000万医学文献。AI智能推荐,让科研检索更轻松。

立即免费搜索

文件翻译

保留排版,准确专业,支持PDF/Word/PPT等文件格式,支持 12+语言互译。

免费翻译文档

深度研究

AI帮你快速写综述,25分钟生成高质量综述,智能提取关键信息,辅助科研写作。

立即免费体验