Suppr超能文献

间质性肉芽肿性皮炎作为肉芽肿性多血管炎的初始表现

Interstitial Granulomatous Dermatitis as the Initial Manifestation of Granulomatosis with Polyangiitis.

作者信息

Rimawi Ahmad, Neinast Michael, Rimawi Abrahim

机构信息

Internal Medicine, Southern Illinois University School of Medicine, Springfield, USA.

Internal Medicine, University of Sharjah College of Medicine, Sharjah, ARE.

出版信息

Cureus. 2023 Jul 22;15(7):e42293. doi: 10.7759/cureus.42293. eCollection 2023 Jul.

Abstract

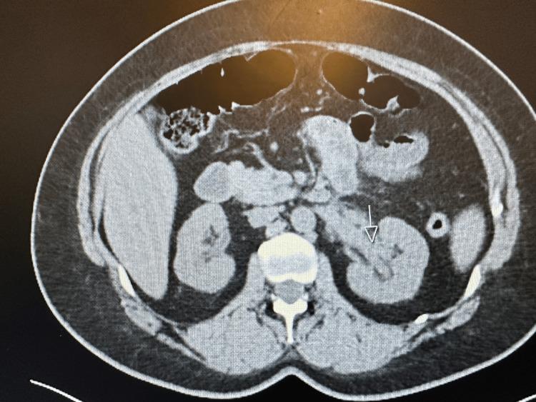
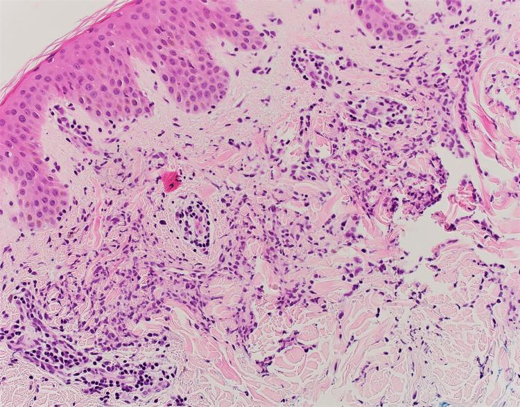
Interstitial granulomatous dermatitis (IGD) is a rare dermatological disorder. It is most commonly associated with autoimmune disorders mainly lupus and rheumatoid arthritis. It has rarely been reported to present as a first manifestation of an underlying vasculitis. Here, we present a case of a 44-year-old woman who presented initially with a violaceous rash starting in her neck and trunk and extending to her limbs, but sparing the palms and soles. She was also found to have an acute kidney injury. A biopsy of the skin lesion confirmed the diagnosis of IGD, and a kidney biopsy showed findings consistent with granulomatosis with polyangiitis. To the best of our knowledge, this is the seventh reported case of IGD associated with systemic vasculitis.

摘要

间质性肉芽肿性皮炎(IGD)是一种罕见的皮肤病。它最常与自身免疫性疾病相关,主要是狼疮和类风湿性关节炎。很少有报道称它是潜在血管炎的首发表现。在此,我们报告一例44岁女性病例,该患者最初表现为颈部和躯干出现紫红色皮疹,并蔓延至四肢,但手掌和脚底未受累。她还被发现患有急性肾损伤。皮肤病变活检确诊为IGD,肾脏活检结果与肉芽肿性多血管炎一致。据我们所知,这是第七例报道的与系统性血管炎相关的IGD病例。

https://cdn.ncbi.nlm.nih.gov/pmc/blobs/435a/10442851/9ea649b768ec/cureus-0015-00000042293-i01.jpg

文献检索

告别复杂PubMed语法,用中文像聊天一样搜索,搜遍4000万医学文献。AI智能推荐,让科研检索更轻松。

立即免费搜索

文件翻译

保留排版,准确专业,支持PDF/Word/PPT等文件格式,支持 12+语言互译。

免费翻译文档

深度研究

AI帮你快速写综述,25分钟生成高质量综述,智能提取关键信息,辅助科研写作。

立即免费体验