• 文献检索
  • 文档翻译
  • 深度研究
  • 学术资讯
  • Suppr Zotero 插件Zotero 插件
  • 邀请有礼
  • 套餐&价格
  • 历史记录
应用&插件
Suppr Zotero 插件Zotero 插件浏览器插件Mac 客户端Windows 客户端微信小程序
定价
高级版会员购买积分包购买API积分包
服务
文献检索文档翻译深度研究API 文档MCP 服务
关于我们
关于 Suppr公司介绍联系我们用户协议隐私条款
关注我们

Suppr 超能文献

核心技术专利:CN118964589B侵权必究
粤ICP备2023148730 号-1Suppr @ 2026

文献检索

告别复杂PubMed语法,用中文像聊天一样搜索,搜遍4000万医学文献。AI智能推荐,让科研检索更轻松。

立即免费搜索

文件翻译

保留排版,准确专业,支持PDF/Word/PPT等文件格式,支持 12+语言互译。

免费翻译文档

深度研究

AI帮你快速写综述,25分钟生成高质量综述,智能提取关键信息,辅助科研写作。

立即免费体验

近视性黄斑裂孔两次自发闭合而无玻璃体后脱离。

SPONTANEOUS CLOSURE OF MYOPIC MACULAR HOLE TWICE WITHOUT POSTERIOR VITREOUS DETACHMENT.

机构信息

Department of Ophthalmology, Far Eastern Memorial Hospital, New Taipei City, Taiwan; and.

Department of Ophthalmology, National Taiwan University Hospital, Taipei, Taiwan.

出版信息

Retin Cases Brief Rep. 2023 Sep 1;17(5):554-556. doi: 10.1097/ICB.0000000000001235. Epub 2022 Jan 13.

DOI:10.1097/ICB.0000000000001235
PMID:37643041
原文链接:https://pmc.ncbi.nlm.nih.gov/articles/PMC10448797/
Abstract

PURPOSE

To present a case of a myopic macular hole that spontaneously closed twice in the presence of a broadly adherent posterior hyaloid membrane.

METHODS

Case report.

RESULTS

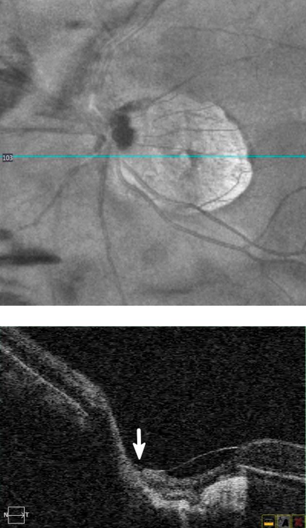
A 49-year-old man with high myopia and pseudophakia had a full-thickness macular hole in the left eye. The hole spontaneously closed in all retinal layers before the elective surgery, but the macular hole recurred one month later. The hole started sealing again spontaneously after one month, leaving a defect in the outer retinal layers. Four months later, the outer layer defect sealed and a lamellar macular hole developed. Throughout the course, the posterior hyaloid membrane remained parallel to the macular surface. The macular morphology and the patient's vision remained stationary at the 2-year follow-up.

CONCLUSION

This case demonstrated that myopic macular holes can form and seal repeatedly with a broadly adherent posterior hyaloid membrane. Although bridging phenomenon was the common sign indicating the initiation of the two hole closures, different patterns of tissue regeneration ensued.

摘要

目的

报告一例伴有广泛后玻璃体膜粘连的近视性黄斑裂孔两次自发闭合的病例。

方法

病例报告。

结果

一名 49 岁的高度近视和人工晶状体眼患者左眼出现全层黄斑裂孔。在择期手术前,裂孔在所有视网膜层自发闭合,但一个月后黄斑裂孔再次复发。一个月后,裂孔再次开始自发封闭,仅在外层视网膜留下一个缺损。四个月后,外层缺损封闭,形成板层黄斑裂孔。整个过程中,后玻璃体膜始终与黄斑表面平行。黄斑形态和患者视力在 2 年随访时保持稳定。

结论

本病例表明,伴有广泛后玻璃体膜粘连的近视性黄斑裂孔可以多次形成和闭合。尽管桥接现象是表明两次裂孔闭合开始的常见标志,但随后出现了不同的组织再生模式。

https://cdn.ncbi.nlm.nih.gov/pmc/blobs/9490/10448797/2d0c044a3399/cabr-17-554-g002.jpg
https://cdn.ncbi.nlm.nih.gov/pmc/blobs/9490/10448797/6a83938a4530/cabr-17-554-g001.jpg
https://cdn.ncbi.nlm.nih.gov/pmc/blobs/9490/10448797/2d0c044a3399/cabr-17-554-g002.jpg
https://cdn.ncbi.nlm.nih.gov/pmc/blobs/9490/10448797/6a83938a4530/cabr-17-554-g001.jpg
https://cdn.ncbi.nlm.nih.gov/pmc/blobs/9490/10448797/2d0c044a3399/cabr-17-554-g002.jpg

相似文献

1
SPONTANEOUS CLOSURE OF MYOPIC MACULAR HOLE TWICE WITHOUT POSTERIOR VITREOUS DETACHMENT.近视性黄斑裂孔两次自发闭合而无玻璃体后脱离。
Retin Cases Brief Rep. 2023 Sep 1;17(5):554-556. doi: 10.1097/ICB.0000000000001235. Epub 2022 Jan 13.
2
Triamcinolone acetonide facilitates removal of the epiretinal membrane and separation of the residual vitreous cortex in highly myopic eyes with retinal detachment due to a macular hole.曲安奈德有助于在因黄斑裂孔导致视网膜脱离的高度近视眼中去除视网膜前膜并分离残留的玻璃体皮质。
Ophthalmologica. 2004 Jul-Aug;218(4):248-56. doi: 10.1159/000078615.
3
Spontaneous closure of a myopic macular hole with retinal reattachment in an eye with high myopia and staphyloma: a case report.高度近视并葡萄肿眼的近视性黄斑裂孔伴视网膜脱离自发复位 1 例报告。
BMC Ophthalmol. 2014 Sep 18;14:111. doi: 10.1186/1471-2415-14-111.
4
Development of full-thickness macular hole despite previous posterior vitreous detachment and vitrectomy for retinal detachment: two cases.尽管先前存在玻璃体后脱离且因视网膜脱离接受过玻璃体切除术,但仍发生了全层黄斑裂孔:两例报告。
Eur J Ophthalmol. 2008 Nov-Dec;18(6):1025-7. doi: 10.1177/112067210801800631.
5
Spontaneous Closure of Large Full-Thickness Macular Hole in a Patient with Degenerative Myopia: Case Report.特发性大直径全层黄斑裂孔在退行性近视患者中的闭合:病例报告。
Turk J Ophthalmol. 2021 Jun 29;51(3):184-187. doi: 10.4274/tjo.galenos.2020.83530.
6
SPONTANEOUS CLOSURE AND RECURRENT OPENING TIMES TWO OF A MACULAR HOLE IN A SURGICALLY NAIVE EYE.黄斑裂孔患者初次手术眼的自发闭合和再通时间。
Retin Cases Brief Rep. 2023 Sep 1;17(5):581-583. doi: 10.1097/ICB.0000000000001244.
7
Value of internal limiting membrane peeling in surgery for idiopathic macular hole and the correlation between function and retinal morphology.特发性黄斑裂孔手术中内界膜撕除的价值及功能与视网膜形态的相关性。
Acta Ophthalmol. 2009 Dec;87 Thesis 2:1-23. doi: 10.1111/j.1755-3768.2009.01777.x.
8
Macular retinoschisis in highly myopic eyes.高度近视眼中的黄斑视网膜劈裂
Am J Ophthalmol. 2002 Jun;133(6):794-800. doi: 10.1016/s0002-9394(02)01394-6.
9
Evolution of full-thickness macular hole formation in a case of myopic foveoschisis.一例近视性黄斑劈裂患者全层黄斑裂孔形成的演变过程
Semin Ophthalmol. 2014 Jul;29(4):210-2. doi: 10.3109/08820538.2013.821502. Epub 2013 Sep 27.
10
Optical coherence tomographic findings of macular holes and retinal detachment after vitrectomy in highly myopic eyes.高度近视眼玻璃体切除术后黄斑裂孔和视网膜脱离的光学相干断层扫描结果
Am J Ophthalmol. 2003 Sep;136(3):477-81. doi: 10.1016/s0002-9394(03)00269-1.

本文引用的文献

1
Spontaneous resolution of myopic foveoschisis and a macular hole with retinal detachment.近视性黄斑劈裂合并黄斑裂孔伴视网膜脱离的自发消退
Am J Ophthalmol Case Rep. 2019 Jan 9;13:143-146. doi: 10.1016/j.ajoc.2019.01.002. eCollection 2019 Mar.
2
Spontaneous Resolution of Macular Hole with Retinal Detachment in a Highly Myopic Eye.高度近视眼中黄斑裂孔伴视网膜脱离的自发缓解
Korean J Ophthalmol. 2017 Dec;31(6):572-573. doi: 10.3341/kjo.2017.0103.
3
THE ANALYSIS OF SPONTANEOUS CLOSURE MECHANISMS AND REGENERATION OF RETINAL LAYERS OF A FULL-THICKNESS MACULAR HOLE: Relationship with Visual Acuity Improvement.
全层黄斑裂孔视网膜各层自发闭合机制及再生的分析:与视力改善的关系
Retina. 2016 Nov;36(11):2132-2139. doi: 10.1097/IAE.0000000000001074.
4
Third time spontaneous closure of myopic macular hole.近视性黄斑裂孔第三次自发性闭合。
Retin Cases Brief Rep. 2015 Winter;9(1):13-4. doi: 10.1097/ICB.0000000000000072.
5
Spontaneous closure of a myopic macular hole with retinal reattachment in an eye with high myopia and staphyloma: a case report.高度近视并葡萄肿眼的近视性黄斑裂孔伴视网膜脱离自发复位 1 例报告。
BMC Ophthalmol. 2014 Sep 18;14:111. doi: 10.1186/1471-2415-14-111.
6
Spontaneous closure of a fully developed macular hole in a severely myopic eye.高度近视眼中完全形成的黄斑裂孔的自发闭合。
Case Rep Ophthalmol Med. 2014;2014:182892. doi: 10.1155/2014/182892. Epub 2014 Mar 5.
7
Spontaneous closure of highly myopic macular hole associated with retinal detachment.高度近视性黄斑裂孔合并视网膜脱离的自发闭合
Acta Ophthalmol. 2014 Aug;92(5):e408-10. doi: 10.1111/aos.12338. Epub 2014 Jan 16.
8
Reappraisal of spontaneous closure rate of idiopathic full-thickness macular holes.特发性全层黄斑裂孔自发闭合率的重新评估
Open Ophthalmol J. 2012;6:73-4. doi: 10.2174/1874364101206010073. Epub 2012 Aug 10.
9
Observation of idiopathic full-thickness macular holes. Follow-up observation.特发性黄斑全层裂孔的观察。随访观察。
Arch Ophthalmol. 1994 Aug;112(8):1051-6. doi: 10.1001/archopht.1994.01090200057022.