Suppr超能文献

鉴定甘油三酯生物合成的另一种途径。

Identification of an alternative triglyceride biosynthesis pathway.

机构信息

Oncode Institute, Division of Biochemistry, The Netherlands Cancer Institute, Amsterdam, The Netherlands.

Department of Pediatrics, Section of Molecular Metabolism and Nutrition, University Medical Center Groningen, University of Groningen, Groningen, The Netherlands.

出版信息

Nature. 2023 Sep;621(7977):171-178. doi: 10.1038/s41586-023-06497-4. Epub 2023 Aug 30.

Abstract

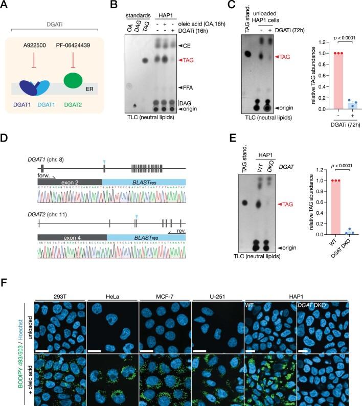
Triacylglycerols (TAGs) are the main source of stored energy in the body, providing an important substrate pool for mitochondrial beta-oxidation. Imbalances in the amount of TAGs are associated with obesity, cardiac disease and various other pathologies. In humans, TAGs are synthesized from excess, coenzyme A-conjugated fatty acids by diacylglycerol O-acyltransferases (DGAT1 and DGAT2). In other organisms, this activity is complemented by additional enzymes, but whether such alternative pathways exist in humans remains unknown. Here we disrupt the DGAT pathway in haploid human cells and use iterative genetics to reveal an unrelated TAG-synthesizing system composed of a protein we called DIESL (also known as TMEM68, an acyltransferase of previously unknown function) and its regulator TMX1. Mechanistically, TMX1 binds to and controls DIESL at the endoplasmic reticulum, and loss of TMX1 leads to the unconstrained formation of DIESL-dependent lipid droplets. DIESL is an autonomous TAG synthase, and expression of human DIESL in Escherichia coli endows this organism with the ability to synthesize TAG. Although both DIESL and the DGATs function as diacylglycerol acyltransferases, they contribute to the cellular TAG pool under specific conditions. Functionally, DIESL synthesizes TAG at the expense of membrane phospholipids and maintains mitochondrial function during periods of extracellular lipid starvation. In mice, DIESL deficiency impedes rapid postnatal growth and affects energy homeostasis during changes in nutrient availability. We have therefore identified an alternative TAG biosynthetic pathway driven by DIESL under potent control by TMX1.

摘要

三酰基甘油(TAG)是体内储存能量的主要来源,为线粒体β氧化提供了重要的底物池。TAG 量的失衡与肥胖、心脏病和各种其他病理有关。在人类中,TAG 是由多余的、辅酶 A 结合的脂肪酸通过二酰基甘油 O-酰基转移酶(DGAT1 和 DGAT2)合成的。在其他生物体中,这种活性由其他酶补充,但人类是否存在这种替代途径尚不清楚。在这里,我们在单倍体人细胞中破坏 DGAT 途径,并通过迭代遗传学揭示了一种由一种我们称为 DIESL(也称为 TMEM68,一种以前未知功能的酰基转移酶)及其调节剂 TMX1 组成的不相关的 TAG 合成系统。从机制上讲,TMX1 在内质网上结合并控制 DIESL,TMX1 的缺失导致不受限制的 DIESL 依赖性脂滴形成。DIESL 是一种自主的 TAG 合成酶,人 DIESL 的表达赋予大肠杆菌合成 TAG 的能力。尽管 DIESL 和 DGAT 都作为二酰基甘油酰基转移酶发挥作用,但它们在特定条件下有助于细胞内 TAG 池的形成。在功能上,DIESL 以膜磷脂为代价合成 TAG,并在细胞外脂质饥饿期间维持线粒体功能。在小鼠中,DIESL 缺乏会阻碍快速的产后生长,并影响营养物质可用性变化期间的能量稳态。因此,我们已经确定了一种由 DIESL 驱动的替代 TAG 生物合成途径,该途径受 TMX1 的强烈控制。

https://cdn.ncbi.nlm.nih.gov/pmc/blobs/ee52/10482677/ff47270194ed/41586_2023_6497_Fig1_HTML.jpg

文献AI研究员

20分钟写一篇综述,助力文献阅读效率提升50倍。

立即体验

用中文搜PubMed

大模型驱动的PubMed中文搜索引擎

马上搜索

文档翻译

学术文献翻译模型,支持多种主流文档格式。

立即体验