Suppr超能文献

定量蛋白质组学和磷酸化蛋白质组学分析揭示了 PINK1 缺陷的 hiPSC-CMs 中线粒体功能障碍与细胞骨架重构之间的关系。

Quantitative proteomic and phosphoproteomic analysis reveal the relationship between mitochondrial dysfunction and cytoskeletal remodeling in hiPSC-CMs deficient in PINK1.

机构信息

Ministry of Education Key Laboratory of Child Development and Disorders, Department of Pediatric Research Institute, National Clinical Research Center for Child Health and Disorders, Children's Hospital of Chongqing Medical University, Chongqing, China.

Chongqing Key Laboratory of Pediatrics, Children's Hospital of Chongqing Medical University, Chongqing, China.

出版信息

J Transl Med. 2023 Aug 30;21(1):581. doi: 10.1186/s12967-023-04467-y.

Abstract

BACKGROUND

Human induced pluripotent stem cell-derived cardiomyocytes (hiPSC-CMs) are seed cells that can be used for alternative treatment of myocardial damage. However, their immaturity limits their clinical application. Mitochondrial development accompanies cardiomyocyte maturation, and PINK1 plays an important role in the regulation of mitochondrial quality. However, the role and mechanism of PINK1 in cardiomyocyte development remain unclear.

METHODS

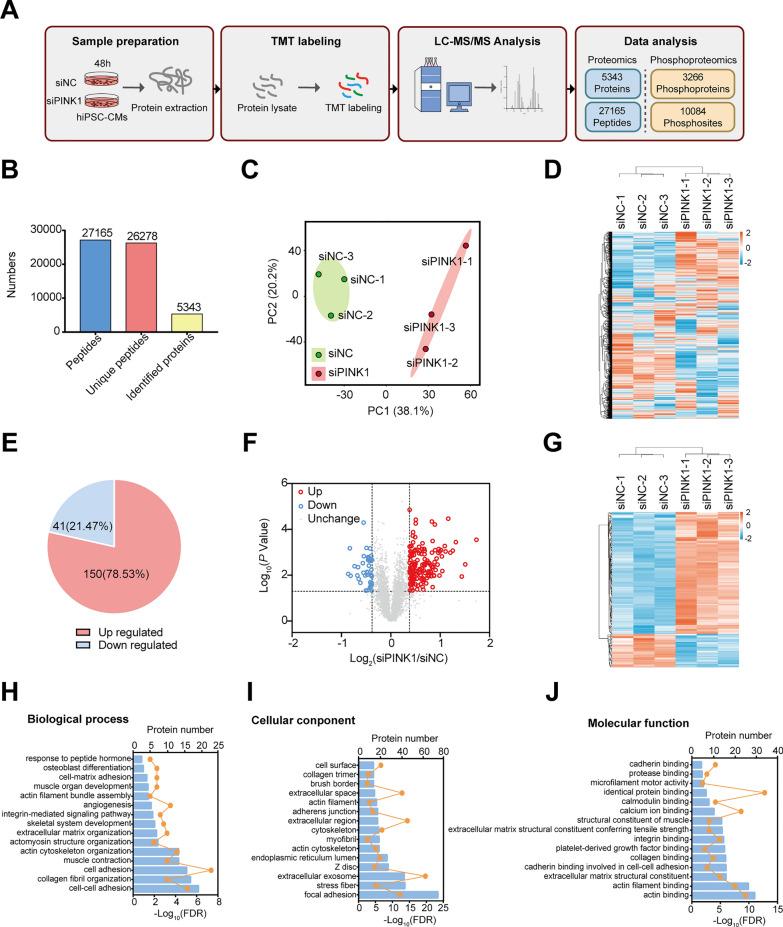
We used proteomic and phosphoproteomic to identify protein and phosphosite changes in hiPSC-CMs deficient in PINK1. Bioinformatics analysis was performed to identify the potential biological functions and regulatory mechanisms of these differentially expressed proteins and validate potential downstream mechanisms.

RESULTS

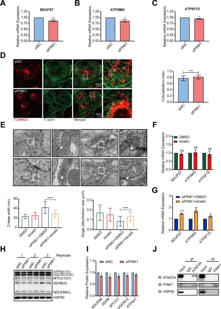
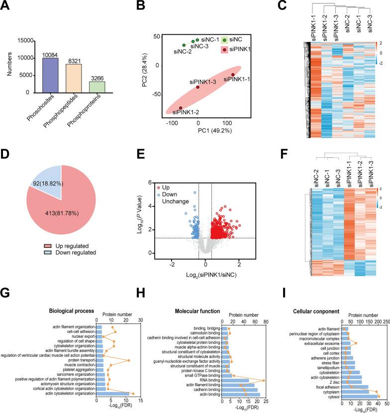
Deletion of PINK1 resulted in mitochondrial structural breakdown and dysfunction, accompanied by disordered myofibrils arrangement. hiPSC-CMs deficient in PINK1 exhibited significantly decreased expression of mitochondrial ATP synthesis proteins and inhibition of the oxidative phosphorylation pathway. In contrast, the expression of proteins related to cardiac pathology was increased, and the phosphoproteins involved in cytoskeleton construction were significantly altered. Mechanistically, PINK1 deletion damaged the mitochondrial cristae of hiPSC-CMs and reduced the efficiency of mitochondrial respiratory chain assembly.

CONCLUSION

The significantly differentially expressed proteins identified in this study highlight the important role of PINK1 in regulating mitochondrial quality in hiPSC-CMs. PINK1-mediated mitochondrial respiratory chain assembly is the basis for mitochondrial function. Whereas the cytoskeleton may be adaptively altered in response to mitochondrial dysfunction caused by PINK1 deletion, inadequate energy supply hinders myocardial development. These findings facilitate the exploration of the mechanism of PINK1 in cardiomyocyte development and guide efforts to promote the maturation of hiPSC-CMs.

摘要

背景

人诱导多能干细胞衍生的心肌细胞(hiPSC-CMs)是可用于替代治疗心肌损伤的种子细胞。然而,它们的不成熟限制了它们的临床应用。线粒体发育伴随着心肌细胞的成熟,而 PINK1 在调节线粒体质量方面起着重要作用。然而,PINK1 在心肌细胞发育中的作用和机制尚不清楚。

方法

我们使用蛋白质组学和磷酸化蛋白质组学来鉴定 PINK1 缺陷的 hiPSC-CMs 中的蛋白质和磷酸化位点变化。进行生物信息学分析,以鉴定这些差异表达蛋白的潜在生物学功能和调控机制,并验证潜在的下游机制。

结果

PINK1 的缺失导致线粒体结构破裂和功能障碍,伴有肌原纤维排列紊乱。PINK1 缺陷的 hiPSC-CMs 表现出线粒体 ATP 合成蛋白表达显著降低和氧化磷酸化途径抑制。相比之下,与心脏病理学相关的蛋白质表达增加,参与细胞骨架构建的磷酸蛋白明显改变。在机制上,PINK1 的缺失破坏了 hiPSC-CMs 的线粒体嵴,降低了线粒体呼吸链组装的效率。

结论

本研究中鉴定的差异表达蛋白显著表明 PINK1 在调节 hiPSC-CMs 中线粒体质量中的重要作用。PINK1 介导的线粒体呼吸链组装是线粒体功能的基础。然而,细胞骨架可能会适应 PINK1 缺失引起的线粒体功能障碍而发生改变,而能量供应不足则会阻碍心肌发育。这些发现有助于探索 PINK1 在心肌细胞发育中的作用机制,并指导促进 hiPSC-CMs 成熟的努力。

https://cdn.ncbi.nlm.nih.gov/pmc/blobs/3737/10466879/849c3c55b341/12967_2023_4467_Fig1_HTML.jpg

文献检索

告别复杂PubMed语法,用中文像聊天一样搜索,搜遍4000万医学文献。AI智能推荐,让科研检索更轻松。

立即免费搜索

文件翻译

保留排版,准确专业,支持PDF/Word/PPT等文件格式,支持 12+语言互译。

免费翻译文档

深度研究

AI帮你快速写综述,25分钟生成高质量综述,智能提取关键信息,辅助科研写作。

立即免费体验