• 文献检索
  • 文档翻译
  • 深度研究
  • 学术资讯
  • Suppr Zotero 插件Zotero 插件
  • 邀请有礼
  • 套餐&价格
  • 历史记录
应用&插件
Suppr Zotero 插件Zotero 插件浏览器插件Mac 客户端Windows 客户端微信小程序
定价
高级版会员购买积分包购买API积分包
服务
文献检索文档翻译深度研究API 文档MCP 服务
关于我们
关于 Suppr公司介绍联系我们用户协议隐私条款
关注我们

Suppr 超能文献

核心技术专利:CN118964589B侵权必究
粤ICP备2023148730 号-1Suppr @ 2026

文献检索

告别复杂PubMed语法,用中文像聊天一样搜索,搜遍4000万医学文献。AI智能推荐,让科研检索更轻松。

立即免费搜索

文件翻译

保留排版,准确专业,支持PDF/Word/PPT等文件格式,支持 12+语言互译。

免费翻译文档

深度研究

AI帮你快速写综述,25分钟生成高质量综述,智能提取关键信息,辅助科研写作。

立即免费体验

一位 21 岁男性,既往有胃切除术、胆囊切除术和胆道支架置入史,因创伤性支架穿孔导致肝脏钝性外伤,经非手术治疗失败。

A 21-Year-Old Man with Previous History of Gastrectomy, Cholecystectomy, and Biliary Stenting with Failed Non-Operative Management of Blunt Trauma to the Liver Due to Traumatic Stent Perforation.

机构信息

Department of Surgery, Division of Trauma, Critical Care and Acute Care Surgery, Sheikh Shakhbout Medical City - Mayo Clinic, Abu Dhabi, United Arab Emirates.

Department of Surgery, University of Chicago Medicine, Chicago, IL, USA.

出版信息

Am J Case Rep. 2023 Aug 31;24:e940984. doi: 10.12659/AJCR.940984.

DOI:10.12659/AJCR.940984
PMID:37649250
原文链接:https://pmc.ncbi.nlm.nih.gov/articles/PMC10479200/
Abstract

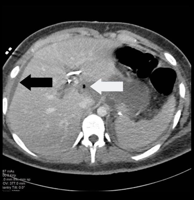
BACKGROUND Conservative management of blunt trauma to the liver is commonly used when there are no immediate signs of rupture or hemorrhage, but requires patient monitoring. The rate of failure for non-operative management ranges is 3-15%. This report is of a 21-year-old man with a previous history of gastrectomy, cholecystectomy, and biliary stenting with failed non-operative management of blunt trauma to the liver following a motor vehicle crash, due to traumatic stent perforation. CASE REPORT The patient reported abdominal pain and had positive FAST for fluid in the hepatorenal space. CT abdomen showed grade 3 hepatic injury and a common bile duct stent. He was resuscitated and admitted to the ICU. He developed escalating abdominal pain and tachycardia without hypotension. Repeat CT demonstrated a paraduodenal gas bubble. He underwent exploratory laparotomy, during which the following were found: hemoperitoneum, no active bleeding, a 3-cm blue stent exiting the left hepatic duct surrounded by a fibrous tract, and bile spilling from around the stent. The protruding portion of the stent was resected, the was tract oversewn, and the abdomen was closed. Once stabilized, the patient underwent ERCP with removal of the remaining stent segment. The postoperative course was complicated by surgical wound infection and fascial dehiscence managed operatively and with local wound care, and deep-space infections managed by interventional radiology drainage. CONCLUSIONS Blunt trauma injury of the liver can be successfully managed conservatively. However, this case highlights the importance of knowledge of the patient's medical history and the presence of biliary stents, which can result in traumatic biliary perforation with an intact liver.

摘要

背景

当没有肝破裂或出血的即时迹象时,通常采用保守治疗方法来处理钝性肝损伤,但需要对患者进行监测。非手术治疗的失败率为 3-15%。本报告介绍了一位 21 岁的男性患者,他有胃切除术、胆囊切除术和胆道支架置入术的病史,因外伤性支架穿孔,在机动车事故后未能成功进行非手术治疗,导致钝性肝损伤。

病例报告

患者报告腹痛,超声检查显示肝肾间隙有液体,腹部 CT 显示 3 级肝损伤和胆总管支架。他接受了复苏治疗并收入 ICU。他出现了进行性腹痛和心动过速,但没有低血压。再次 CT 显示十二指肠旁气肿。他接受了剖腹探查术,术中发现:腹腔积血,无活动性出血,一根 3 厘米长的蓝色支架从左肝管穿出,周围有纤维通道,支架周围有胆汁溢出。切除突出的支架部分,缝合通道,关闭腹部。一旦病情稳定,患者接受了 ERCP 以取出剩余的支架段。术后病程复杂,包括手术切口感染和筋膜裂开,通过手术和局部伤口护理进行治疗,以及通过介入放射学引流治疗深部感染。

结论

钝性肝损伤可以成功地进行保守治疗。然而,本病例强调了了解患者病史和存在胆道支架的重要性,这可能导致肝脏完整的外伤性胆道穿孔。

https://cdn.ncbi.nlm.nih.gov/pmc/blobs/874d/10479200/adc4b0558e69/amjcaserep-24-e940984-g007.jpg
https://cdn.ncbi.nlm.nih.gov/pmc/blobs/874d/10479200/60ac1f147b5b/amjcaserep-24-e940984-g001.jpg
https://cdn.ncbi.nlm.nih.gov/pmc/blobs/874d/10479200/0a1595df0a2e/amjcaserep-24-e940984-g002.jpg
https://cdn.ncbi.nlm.nih.gov/pmc/blobs/874d/10479200/e5f583249bcb/amjcaserep-24-e940984-g003.jpg
https://cdn.ncbi.nlm.nih.gov/pmc/blobs/874d/10479200/992cd80b9a22/amjcaserep-24-e940984-g004.jpg
https://cdn.ncbi.nlm.nih.gov/pmc/blobs/874d/10479200/5d8a74b40771/amjcaserep-24-e940984-g005.jpg
https://cdn.ncbi.nlm.nih.gov/pmc/blobs/874d/10479200/c7f8819ab2af/amjcaserep-24-e940984-g006.jpg
https://cdn.ncbi.nlm.nih.gov/pmc/blobs/874d/10479200/adc4b0558e69/amjcaserep-24-e940984-g007.jpg
https://cdn.ncbi.nlm.nih.gov/pmc/blobs/874d/10479200/60ac1f147b5b/amjcaserep-24-e940984-g001.jpg
https://cdn.ncbi.nlm.nih.gov/pmc/blobs/874d/10479200/0a1595df0a2e/amjcaserep-24-e940984-g002.jpg
https://cdn.ncbi.nlm.nih.gov/pmc/blobs/874d/10479200/e5f583249bcb/amjcaserep-24-e940984-g003.jpg
https://cdn.ncbi.nlm.nih.gov/pmc/blobs/874d/10479200/992cd80b9a22/amjcaserep-24-e940984-g004.jpg
https://cdn.ncbi.nlm.nih.gov/pmc/blobs/874d/10479200/5d8a74b40771/amjcaserep-24-e940984-g005.jpg
https://cdn.ncbi.nlm.nih.gov/pmc/blobs/874d/10479200/c7f8819ab2af/amjcaserep-24-e940984-g006.jpg
https://cdn.ncbi.nlm.nih.gov/pmc/blobs/874d/10479200/adc4b0558e69/amjcaserep-24-e940984-g007.jpg

相似文献

1
A 21-Year-Old Man with Previous History of Gastrectomy, Cholecystectomy, and Biliary Stenting with Failed Non-Operative Management of Blunt Trauma to the Liver Due to Traumatic Stent Perforation.一位 21 岁男性,既往有胃切除术、胆囊切除术和胆道支架置入史,因创伤性支架穿孔导致肝脏钝性外伤,经非手术治疗失败。
Am J Case Rep. 2023 Aug 31;24:e940984. doi: 10.12659/AJCR.940984.
2
Complications of high grade liver injuries: management and outcomewith focus on bile leaks.高级别肝损伤的并发症:重点关注胆漏的管理和结果。
Scand J Trauma Resusc Emerg Med. 2012 Mar 23;20:20. doi: 10.1186/1757-7241-20-20.
3
Diagnosis and nonsurgical management of bile leak complicated by biloma after blunt liver injury: report of two cases.钝性肝损伤后胆汁漏合并胆汁瘤的诊断与非手术治疗:2例报告
Eur Radiol. 1998;8(9):1619-22. doi: 10.1007/s003300050598.
4
Simultaneous non-traumatic perforation of the right hepatic duct and gallbladder: an atypical occurrence.右肝管与胆囊同时非创伤性穿孔:一种非典型情况。
Malays J Med Sci. 2012 Jul;19(3):77-80.
5
How do we manage post-OLT redundant bile duct?肝移植术后残留胆管该如何处理?
World J Gastroenterol. 2013 Apr 28;19(16):2501-6. doi: 10.3748/wjg.v19.i16.2501.
6
Biliary leaks after laparoscopic cholecystectomy: time to stent or time to drain.腹腔镜胆囊切除术后胆漏:支架置入时机还是引流时机。
Hepatobiliary Pancreat Dis Int. 2008 Dec;7(6):628-32.
7
Isolated free fluid on computed tomography for blunt abdominal trauma.钝性腹部创伤计算机断层扫描显示的孤立性游离液体。
Ann R Coll Surg Engl. 2019 Nov;101(8):552-557. doi: 10.1308/rcsann.2019.0078. Epub 2019 Jun 20.
8
Perforation of the gallbladder due to blunt abdominal trauma.钝性腹部创伤导致的胆囊穿孔。
Arch Surg. 1982 Jun;117(6):805-7. doi: 10.1001/archsurg.1982.01380300047011.
9
Endoscopic biliary stenting for treatment of persistent biliary fistula after blunt hepatic injury.内镜下胆道支架置入术治疗钝性肝损伤后持续性胆瘘
Gastrointest Endosc. 2000 Jan;51(1):42-4. doi: 10.1016/s0016-5107(00)70385-3.
10
Endoscopic management of bile leaks after blunt abdominal trauma.钝性腹部创伤后胆漏的内镜治疗
J Gastroenterol Hepatol. 2009 May;24(5):757-61. doi: 10.1111/j.1440-1746.2008.05703.x. Epub 2008 Nov 27.

本文引用的文献

1
Predictive factors of non-operative management failure in 494 blunt liver injuries: a multicenter retrospective study.494 例钝性肝损伤非手术治疗失败的预测因素:一项多中心回顾性研究。
Updates Surg. 2022 Dec;74(6):1901-1913. doi: 10.1007/s13304-022-01367-6. Epub 2022 Aug 28.
2
Extrahepatic Bile Duct Injury Caused by Blunt Abdomen Trauma: A Case Report.钝性腹部创伤导致的肝外胆管损伤:一例报告
Cureus. 2022 Jun 4;14(6):e25662. doi: 10.7759/cureus.25662. eCollection 2022 Jun.
3
Evolution of non-operative management of liver trauma.
肝外伤非手术治疗的进展
Trauma Surg Acute Care Open. 2020 Nov 3;5(1):e000551. doi: 10.1136/tsaco-2020-000551. eCollection 2020.
4
Liver trauma: WSES 2020 guidelines.肝脏创伤:WSES 2020 指南。
World J Emerg Surg. 2020 Mar 30;15(1):24. doi: 10.1186/s13017-020-00302-7.
5
Can we refine the management of blunt liver trauma?我们能否改进钝性肝外伤的处理方法?
J Visc Surg. 2019 Feb;156(1):23-29. doi: 10.1016/j.jviscsurg.2018.03.013. Epub 2018 Apr 3.
6
Complications and management of forgotten long-term biliary stents.遗忘长期胆道支架的并发症及处理
World J Gastroenterol. 2017 Jan 28;23(4):622-628. doi: 10.3748/wjg.v23.i4.622.
7
"The best is nothing": Non-operative management of hemodynamically stable grade V liver trauma.“最好的办法就是无为而治”:血流动力学稳定的Ⅴ级肝外伤的非手术治疗
J Emerg Trauma Shock. 2015 Oct-Dec;8(4):239-40. doi: 10.4103/0974-2700.166756.
8
Management of blunt liver trauma in 134 severely injured patients.134例严重创伤患者钝性肝损伤的处理
Injury. 2015 May;46(5):837-42. doi: 10.1016/j.injury.2014.11.019. Epub 2014 Nov 26.
9
The swinging pendulum: a national perspective of nonoperative management in severe blunt liver injury.钟摆效应:严重钝性肝损伤非手术治疗的全国性观点。
J Trauma Acute Care Surg. 2013 Oct;75(4):590-5. doi: 10.1097/TA.0b013e3182a53a3e.
10
Incidence of liver trauma and relative risk factors for mortality: a population-based study.肝外伤发生率和死亡率的相关危险因素:一项基于人群的研究。
J Chin Med Assoc. 2013 Oct;76(10):576-82. doi: 10.1016/j.jcma.2013.06.004. Epub 2013 Jul 24.