• 文献检索
  • 文档翻译
  • 深度研究
  • 学术资讯
  • Suppr Zotero 插件Zotero 插件
  • 邀请有礼
  • 套餐&价格
  • 历史记录
应用&插件
Suppr Zotero 插件Zotero 插件浏览器插件Mac 客户端Windows 客户端微信小程序
定价
高级版会员购买积分包购买API积分包
服务
文献检索文档翻译深度研究API 文档MCP 服务
关于我们
关于 Suppr公司介绍联系我们用户协议隐私条款
关注我们

Suppr 超能文献

核心技术专利:CN118964589B侵权必究
粤ICP备2023148730 号-1Suppr @ 2026

文献检索

告别复杂PubMed语法,用中文像聊天一样搜索,搜遍4000万医学文献。AI智能推荐,让科研检索更轻松。

立即免费搜索

文件翻译

保留排版,准确专业,支持PDF/Word/PPT等文件格式,支持 12+语言互译。

免费翻译文档

深度研究

AI帮你快速写综述,25分钟生成高质量综述,智能提取关键信息,辅助科研写作。

立即免费体验

尼日利亚手机的表型和分子特征分析 (你提供的原文似乎不完整,“from mobile phones”前应该还有具体所指的内容)

Phenotypic and molecular characterization of from mobile phones in Nigeria.

作者信息

Oluduro Anthonia O, Adesiyan Yetunde M, Omoboye Olumide O, Odeyemi Adebowale T

机构信息

Department of Microbiology, Obafemi Awolowo University, Ile-Ife, 220005, Nigeria.

Landmark University SDG Groups 2 and 3; Department of Food Sciences and Microbiology, Landmark University, Omu-Aran, Kwara State, Nigeria.

出版信息

AIMS Microbiol. 2023 Apr 23;9(3):402-418. doi: 10.3934/microbiol.2023021. eCollection 2023.

DOI:10.3934/microbiol.2023021
PMID:37649800
原文链接:https://pmc.ncbi.nlm.nih.gov/articles/PMC10462460/
Abstract

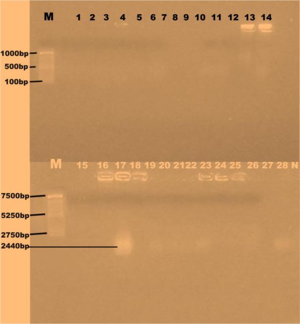
The presence of , a normal human flora on cellphones of different professionals in Ile-Ife was investigated with a view to determining their antibiotic susceptibility profile and nature of resistance and virulence genes. One hundred swab samples were collected aseptically from mobile phones of various users based on their profession. Surfaces of the mobile phones were swabbed and the streak plate method was used to isolate colonies showing characteristic golden yellow on mannitol salt agar plates. These isolates were further identified using standard microbiological methods. The antibiotic susceptibility of the isolates was determined using Kirby-Bauer's disk diffusion technique. Molecular detection of genes in some isolates was carried out by polymerase chain reaction technique. All the 36 isolates obtained in this study were 100% resistant to amoxicillin and augmentin; the isolates also displayed 55.6%, 44.4% and 41.7% resistance to ceftriazone, erythromycin and chloramphenicol, respectively. Based on resistance to oxacillin, prevalence of methicillin resistant (MRSA) was 11.1%. Only one was positive for plasmid analysis. gene was genetically confirmed in four (4) out of the 16 suspected phenotypic MRSA strains, gene was confirmed in all 28 isolates investigated, while there was no gene in the strains investigated. Mobile phones harbor multiple antibiotics resistant are responsible for important diseases in humans and could be difficult to manage with antibiotics thereby posing serious health risks.

摘要

对伊费地区不同职业人群手机上正常人类菌群的存在情况进行了调查,以确定其抗生素敏感性谱、耐药性和毒力基因的性质。根据职业,从不同用户的手机上无菌采集了100份拭子样本。对手机表面进行擦拭,采用划线平板法在甘露醇盐琼脂平板上分离出呈现特征性金黄色的菌落。使用标准微生物学方法对这些分离株进行进一步鉴定。采用 Kirby-Bauer 纸片扩散技术测定分离株的抗生素敏感性。通过聚合酶链反应技术对部分分离株的基因进行分子检测。本研究中获得的所有36株分离株对阿莫西林和奥格门汀均100%耐药;这些分离株对头孢曲松、红霉素和氯霉素的耐药率分别为55.6%、44.4%和41.7%。基于对苯唑西林的耐药性,耐甲氧西林金黄色葡萄球菌(MRSA)的流行率为11.1%。只有一株进行质粒分析呈阳性。在16株疑似表型MRSA菌株中有4株经基因确认存在mecA基因,在所研究的所有28株分离株中均确认存在tst基因,而在所研究的菌株中未发现sec基因。携带多种抗生素耐药金黄色葡萄球菌的手机是人类重要疾病的病因,且可能难以用抗生素治疗,从而带来严重的健康风险。

https://cdn.ncbi.nlm.nih.gov/pmc/blobs/1c35/10462460/4dbd1abbaf80/microbiol-09-03-021-g004.jpg
https://cdn.ncbi.nlm.nih.gov/pmc/blobs/1c35/10462460/449d523171b2/microbiol-09-03-021-g001.jpg
https://cdn.ncbi.nlm.nih.gov/pmc/blobs/1c35/10462460/dd4a3192a7da/microbiol-09-03-021-g002.jpg
https://cdn.ncbi.nlm.nih.gov/pmc/blobs/1c35/10462460/88248631bd5c/microbiol-09-03-021-g003.jpg
https://cdn.ncbi.nlm.nih.gov/pmc/blobs/1c35/10462460/4dbd1abbaf80/microbiol-09-03-021-g004.jpg
https://cdn.ncbi.nlm.nih.gov/pmc/blobs/1c35/10462460/449d523171b2/microbiol-09-03-021-g001.jpg
https://cdn.ncbi.nlm.nih.gov/pmc/blobs/1c35/10462460/dd4a3192a7da/microbiol-09-03-021-g002.jpg
https://cdn.ncbi.nlm.nih.gov/pmc/blobs/1c35/10462460/88248631bd5c/microbiol-09-03-021-g003.jpg
https://cdn.ncbi.nlm.nih.gov/pmc/blobs/1c35/10462460/4dbd1abbaf80/microbiol-09-03-021-g004.jpg

相似文献

1
Phenotypic and molecular characterization of from mobile phones in Nigeria.尼日利亚手机的表型和分子特征分析 (你提供的原文似乎不完整,“from mobile phones”前应该还有具体所指的内容)
AIMS Microbiol. 2023 Apr 23;9(3):402-418. doi: 10.3934/microbiol.2023021. eCollection 2023.
2
Distribution and Antibiotics Resistance Pattern of Community-Acquired Methicillin-Resistance Staphylococcus aureus in Southwestern Nigeria.南非西南部社区获得性耐甲氧西林金黄色葡萄球菌的分布和抗生素耐药模式。
Adv Exp Med Biol. 2022;1369:81-91. doi: 10.1007/5584_2021_658.
3
Phenotypic and molecular characteristics of methicillin-resistant Staphylococcus aureus isolates from Ekiti State, Nigeria.尼日利亚埃基提州耐甲氧西林金黄色葡萄球菌分离株的表型和分子特征。
Infect Drug Resist. 2013 Aug 20;6:87-92. doi: 10.2147/IDR.S48809. eCollection 2013.
4
Molecular-Characterization of Methicillin-Resistance Staphylococcus aureus (MRSA) from Different Tertiary Care Hospitals in Bangladesh.孟加拉国不同三级护理医院耐甲氧西林金黄色葡萄球菌(MRSA)的分子特征分析
Mymensingh Med J. 2017 Jan;26(1):37-44.
5
Prevalence and characterization of methicillin-resistant Staphylococcus aureus carrying mecA or mecC and methicillin-susceptible Staphylococcus aureus in dairy sheep farms in central Italy.意大利中部奶绵羊场耐甲氧西林金黄色葡萄球菌(mecA 或 mecC 携带)和甲氧西林敏感金黄色葡萄球菌的流行及特征。
J Dairy Sci. 2017 Oct;100(10):7857-7863. doi: 10.3168/jds.2017-12940. Epub 2017 Aug 2.
6
Antibiotic resistance pattern of methicillin-resistant and from mobile phones of healthcare workers in public hospitals in Ghana.耐甲氧西林金黄色葡萄球菌和凝固酶阴性葡萄球菌在加纳公立医院医护人员手机上的抗生素耐药模式。
Pan Afr Med J. 2022 Mar 30;41:259. doi: 10.11604/pamj.2022.41.259.29281. eCollection 2022.
7
Clinical test to detect mecA and antibiotic resistance in Staphylococcus aureus, based on novel biotechnological methods.临床检测金黄色葡萄球菌 mecA 和抗生素耐药性的新型生物技术方法。
Artif Cells Nanomed Biotechnol. 2016 Sep;44(6):1464-8. doi: 10.3109/21691401.2015.1041639. Epub 2015 May 7.
8
Prevalence, multiple antibiotic resistance and virulence profile of methicillin-resistant (MRSA) in retail poultry meat from Edo, Nigeria.尼日利亚江户零售禽肉中耐甲氧西林金黄色葡萄球菌(MRSA)的流行情况、多重抗生素耐药性和毒力特征。
Front Cell Infect Microbiol. 2023 Mar 2;13:1122059. doi: 10.3389/fcimb.2023.1122059. eCollection 2023.
9
The Prevalence of Resistance to Methicillin in Staphylococcus aureus Strains Isolated from Patients by PCR Method for Detec-tion of mecA and nuc Genes.采用PCR法检测mecA和nuc基因从患者中分离的金黄色葡萄球菌菌株对甲氧西林的耐药率
Iran J Public Health. 2014 Jan;43(1):84-92.
10
Comparison of phenotypic methods with mecA gene based polymerase chain reaction for Methicillin-resistant Staphylococcus aureus detection.基于mecA基因的聚合酶链反应与表型方法检测耐甲氧西林金黄色葡萄球菌的比较。
J Pak Med Assoc. 2020 Feb;70(2):276-280. doi: 10.5455/JPMA.290732.

引用本文的文献

1
Kinship analysis of gene of methicillin-resistant isolated from milk and risk factors from the farmers in Blitar, Indonesia.印度尼西亚勿里达市牛奶中分离出的耐甲氧西林基因亲缘关系分析及奶农的风险因素分析
Vet World. 2024 Jan;17(1):216-225. doi: 10.14202/vetworld.2024.216-225. Epub 2024 Jan 25.

本文引用的文献

1
Bacterial contamination of mobile phones of healthcare workers at the University Teaching Hospital, Lusaka, Zambia.赞比亚卢萨卡大学教学医院医护人员手机的细菌污染情况。
Infect Prev Pract. 2021 Feb 15;3(2):100126. doi: 10.1016/j.infpip.2021.100126. eCollection 2021 Jun.
2
Antibiotic-resistant staphylococci from the wastewater treatment plant and grey-water samples in Obafemi Awolowo University, Ile-Ife, Nigeria.尼日利亚伊费奥巴费米阿沃洛沃大学污水处理厂和灰水样本中的耐药葡萄球菌。
J Water Health. 2020 Dec;18(6):890-898. doi: 10.2166/wh.2020.019.
3
Methicillin-resistant Staphylococcus aureus (MRSA) in East Africa: red alert or red herring?
东非的耐甲氧西林金黄色葡萄球菌 (MRSA):红色警报还是无稽之谈?
BMC Infect Dis. 2019 Jul 9;19(1):596. doi: 10.1186/s12879-019-4245-3.
4
Methicillin-Resistant Staphylococcus aureus: Molecular Characterization, Evolution, and Epidemiology.耐甲氧西林金黄色葡萄球菌:分子特征、进化与流行病学。
Clin Microbiol Rev. 2018 Sep 12;31(4). doi: 10.1128/CMR.00020-18. Print 2018 Oct.
5
Multicenter study of health care cost of patients admitted to hospital with Staphylococcus aureus bacteremia: Impact of length of stay and intensity of care.金黄色葡萄球菌菌血症住院患者医疗费用的多中心研究:住院时间和护理强度的影响
Am J Infect Control. 2015 Jul 1;43(7):739-44. doi: 10.1016/j.ajic.2015.01.031. Epub 2015 Mar 11.
6
Microbial contamination of mobile phones in a health care setting in Alexandria, Egypt.埃及亚历山大市一家医疗机构中手机的微生物污染情况。
GMS Hyg Infect Control. 2015 Feb 2;10:Doc03. doi: 10.3205/dgkh000246. eCollection 2015.
7
Staphylococcus aureus bacteraemia in Gauteng academic hospitals, South Africa.南非豪登省学术医院的金黄色葡萄球菌菌血症
Int J Infect Dis. 2015 Jan;30:41-8. doi: 10.1016/j.ijid.2014.10.011. Epub 2014 Oct 30.
8
Methicillin-resistant staphylococcal contamination of clothing worn by personnel in a veterinary teaching hospital.一家兽医教学医院工作人员所穿衣物的耐甲氧西林葡萄球菌污染情况。
Vet Surg. 2013 Aug;42(6):643-8. doi: 10.1111/j.1532-950X.2013.12024.x. Epub 2013 May 10.
9
Methicillin-resistant staphylococcus aureus screening and eradication in the surgical intensive care unit: Is it worth it?耐甲氧西林金黄色葡萄球菌在外科重症监护病房的筛查和清除:值得吗?
Am J Surg. 2010 Dec;200(6):827-30; discussion 830-1. doi: 10.1016/j.amjsurg.2010.08.003.
10
The potential role of mobile phones in the spread of bacterial infections.手机在细菌感染传播中的潜在作用。
J Infect Dev Ctries. 2009 Sep 15;3(8):628-32. doi: 10.3855/jidc.556.