• 文献检索
  • 文档翻译
  • 深度研究
  • 学术资讯
  • Suppr Zotero 插件Zotero 插件
  • 邀请有礼
  • 套餐&价格
  • 历史记录
应用&插件
Suppr Zotero 插件Zotero 插件浏览器插件Mac 客户端Windows 客户端微信小程序
定价
高级版会员购买积分包购买API积分包
服务
文献检索文档翻译深度研究API 文档MCP 服务
关于我们
关于 Suppr公司介绍联系我们用户协议隐私条款
关注我们

Suppr 超能文献

核心技术专利:CN118964589B侵权必究
粤ICP备2023148730 号-1Suppr @ 2026

文献检索

告别复杂PubMed语法,用中文像聊天一样搜索,搜遍4000万医学文献。AI智能推荐,让科研检索更轻松。

立即免费搜索

文件翻译

保留排版,准确专业,支持PDF/Word/PPT等文件格式,支持 12+语言互译。

免费翻译文档

深度研究

AI帮你快速写综述,25分钟生成高质量综述,智能提取关键信息,辅助科研写作。

立即免费体验

在乳腺癌中,DAB2IP通过与USP10相互作用使ALK不稳定,从而抑制侵袭性伪足的形成。

DAB2IP suppresses invadopodia formation through destabilizing ALK by interacting with USP10 in breast cancer.

作者信息

Huang Qingwen, Zhang Rui, Xia Yun, Shen Jie, Dong Hongliang, Li Xiaolan, Tao Deding, Xie Daxing, Liu Liang

机构信息

Molecular Medicine Center, Tongji Hospital, Tongji Medical College, Huazhong University of Science and Technology, Wuhan 430030, P.R. China.

Department of GI Surgery, Tongji Hospital, Tongji Medical College, Huazhong University of Science and Technology, Wuhan 430030, P.R. China.

出版信息

iScience. 2023 Aug 11;26(9):107606. doi: 10.1016/j.isci.2023.107606. eCollection 2023 Sep 15.

DOI:10.1016/j.isci.2023.107606
PMID:37664607
原文链接:https://pmc.ncbi.nlm.nih.gov/articles/PMC10470318/
Abstract

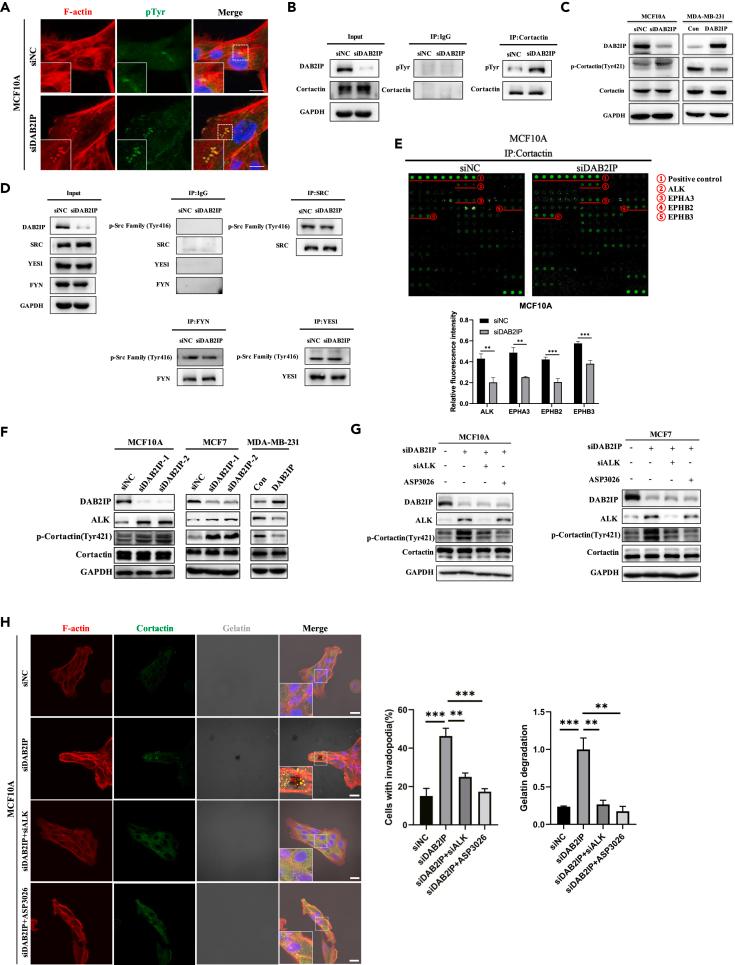
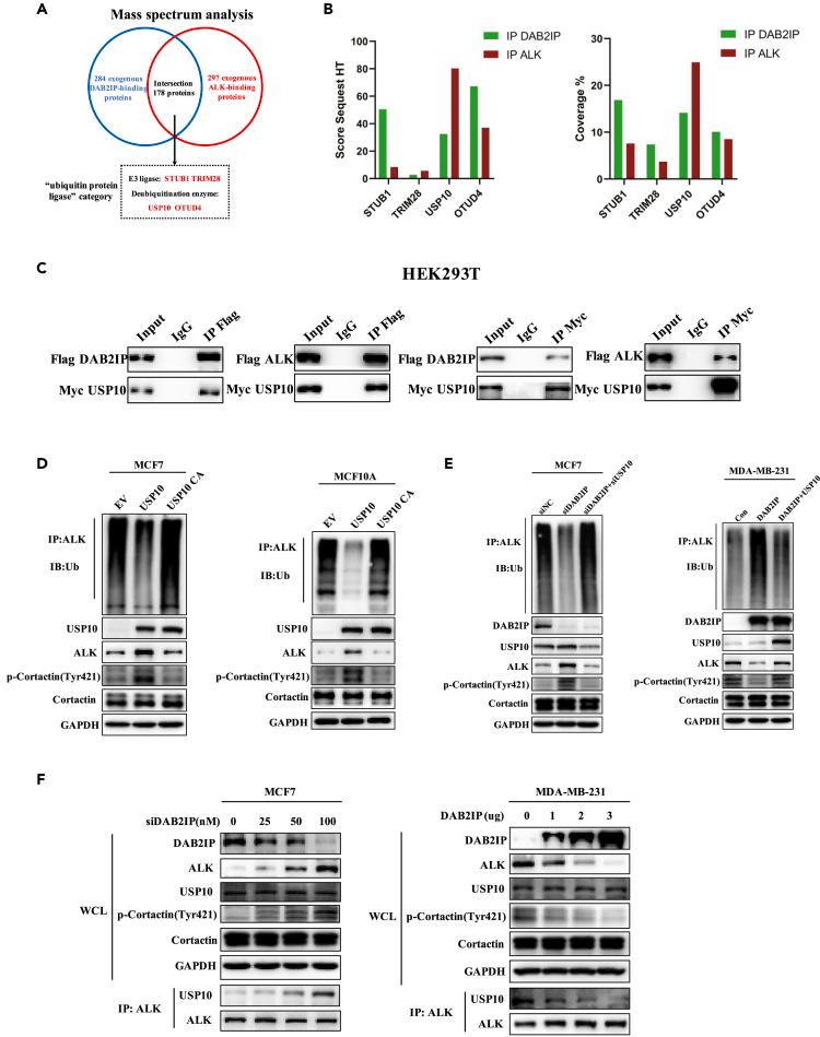
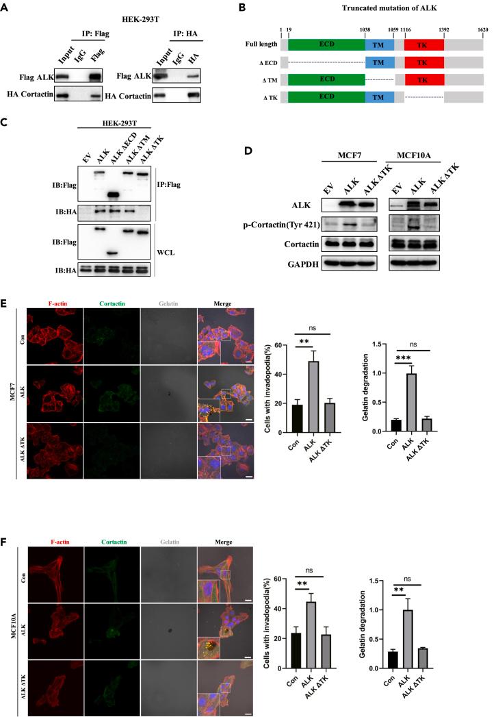
Invadopodia, being actin-rich membrane protrusions, play a vital role in tumor cell invasion and metastasis. Our previous studies have revealed some functions of the DOC-2/DAB2 interacting protein (DAB2IP) as a tumor suppressor. Nevertheless, the specific role and mechanism of DAB2IP in invadopodia formation remain unclear. Here, we find that DAB2IP effectively suppresses invadopodia formation and metastasis in breast cancer, both and . Additionally, DAB2IP could downregulate anaplastic lymphoma kinase (ALK), resulting in the inhibition of tyrosine phosphorylation of Cortactin and the prevention of invadopodia formation. DAB2IP competitively antagonizes the interaction between the deubiquitinating enzyme Ubiquitin-specific peptidase 10 (USP10) and ALK, leading to a decrease in the abundance of ALK protein. In summary, DAB2IP impairs the stability of ALK through USP10-dependent deubiquitination, suppressing Cortactin phosphorylation, thereby inhibiting invadopodia formation and metastasis of breast cancer cells. Furthermore, this study suggests a potential therapeutic strategy for breast cancer treatment.

摘要

侵袭伪足是富含肌动蛋白的膜突出物,在肿瘤细胞侵袭和转移中起重要作用。我们之前的研究揭示了DOC-2/DAB2相互作用蛋白(DAB2IP)作为一种肿瘤抑制因子的一些功能。然而,DAB2IP在侵袭伪足形成中的具体作用和机制仍不清楚。在此,我们发现DAB2IP能有效抑制乳腺癌中侵袭伪足的形成和转移。此外,DAB2IP可下调间变性淋巴瘤激酶(ALK),导致皮层肌动蛋白酪氨酸磷酸化受到抑制,并防止侵袭伪足的形成。DAB2IP竞争性拮抗去泛素化酶泛素特异性肽酶10(USP10)与ALK之间的相互作用,导致ALK蛋白丰度降低。总之,DAB2IP通过USP10依赖的去泛素化作用损害ALK的稳定性,抑制皮层肌动蛋白磷酸化,从而抑制乳腺癌细胞侵袭伪足的形成和转移。此外,本研究为乳腺癌治疗提出了一种潜在的治疗策略。

https://cdn.ncbi.nlm.nih.gov/pmc/blobs/6e78/10470318/d987b904f278/gr7.jpg
https://cdn.ncbi.nlm.nih.gov/pmc/blobs/6e78/10470318/41143ea2185f/fx1.jpg
https://cdn.ncbi.nlm.nih.gov/pmc/blobs/6e78/10470318/5102cad67c33/gr1.jpg
https://cdn.ncbi.nlm.nih.gov/pmc/blobs/6e78/10470318/c3004b24b612/gr2.jpg
https://cdn.ncbi.nlm.nih.gov/pmc/blobs/6e78/10470318/3995c25283b4/gr3.jpg
https://cdn.ncbi.nlm.nih.gov/pmc/blobs/6e78/10470318/1ac4c9d93f77/gr4.jpg
https://cdn.ncbi.nlm.nih.gov/pmc/blobs/6e78/10470318/031210580cf0/gr5.jpg
https://cdn.ncbi.nlm.nih.gov/pmc/blobs/6e78/10470318/a15827a96aed/gr6.jpg
https://cdn.ncbi.nlm.nih.gov/pmc/blobs/6e78/10470318/d987b904f278/gr7.jpg
https://cdn.ncbi.nlm.nih.gov/pmc/blobs/6e78/10470318/41143ea2185f/fx1.jpg
https://cdn.ncbi.nlm.nih.gov/pmc/blobs/6e78/10470318/5102cad67c33/gr1.jpg
https://cdn.ncbi.nlm.nih.gov/pmc/blobs/6e78/10470318/c3004b24b612/gr2.jpg
https://cdn.ncbi.nlm.nih.gov/pmc/blobs/6e78/10470318/3995c25283b4/gr3.jpg
https://cdn.ncbi.nlm.nih.gov/pmc/blobs/6e78/10470318/1ac4c9d93f77/gr4.jpg
https://cdn.ncbi.nlm.nih.gov/pmc/blobs/6e78/10470318/031210580cf0/gr5.jpg
https://cdn.ncbi.nlm.nih.gov/pmc/blobs/6e78/10470318/a15827a96aed/gr6.jpg
https://cdn.ncbi.nlm.nih.gov/pmc/blobs/6e78/10470318/d987b904f278/gr7.jpg

相似文献

1
DAB2IP suppresses invadopodia formation through destabilizing ALK by interacting with USP10 in breast cancer.在乳腺癌中,DAB2IP通过与USP10相互作用使ALK不稳定,从而抑制侵袭性伪足的形成。
iScience. 2023 Aug 11;26(9):107606. doi: 10.1016/j.isci.2023.107606. eCollection 2023 Sep 15.
2
Met receptor tyrosine kinase signals through a cortactin-Gab1 scaffold complex, to mediate invadopodia.表皮生长因子受体酪氨酸激酶通过衔接蛋白 Gab1 与细胞骨架蛋白 cortactin 形成复合物,进而调节侵袭伪足的形成。
J Cell Sci. 2012 Jun 15;125(Pt 12):2940-53. doi: 10.1242/jcs.100834. Epub 2012 Feb 24.
3
Specific tyrosine phosphorylation sites on cortactin regulate Nck1-dependent actin polymerization in invadopodia.皮质肌动蛋白特定酪氨酸磷酸化位点调节侵袭伪足中 Nck1 依赖的肌动蛋白聚合。
J Cell Sci. 2010 Nov 1;123(Pt 21):3662-73. doi: 10.1242/jcs.068163.
4
An EGFR-Src-Arg-cortactin pathway mediates functional maturation of invadopodia and breast cancer cell invasion.EGFR-Src-Arg-cortactin 通路介导侵袭伪足的功能成熟和乳腺癌细胞侵袭。
Cancer Res. 2011 Mar 1;71(5):1730-41. doi: 10.1158/0008-5472.CAN-10-1432. Epub 2011 Jan 21.
5
miR-182 suppresses invadopodia formation and metastasis in non-small cell lung cancer by targeting cortactin gene.miR-182 通过靶向 cortactin 基因抑制非小细胞肺癌中的侵袭伪足形成和转移。
J Exp Clin Cancer Res. 2018 Jul 9;37(1):141. doi: 10.1186/s13046-018-0824-1.
6
DAB2IP suppresses tumor malignancy by inhibiting GRP75-driven p53 ubiquitination in colon cancer.DAB2IP通过抑制结肠癌中GRP75驱动的p53泛素化来抑制肿瘤恶性程度。
Cancer Lett. 2022 Apr 28;532:215588. doi: 10.1016/j.canlet.2022.215588. Epub 2022 Feb 9.
7
Podocalyxin-like 1 promotes invadopodia formation and metastasis through activation of Rac1/Cdc42/cortactin signaling in breast cancer cells.足细胞蛋白同源物 1 通过激活乳腺癌细胞中的 Rac1/Cdc42/桩蛋白信号促进侵袭伪足形成和转移。
Carcinogenesis. 2014 Nov;35(11):2425-35. doi: 10.1093/carcin/bgu139. Epub 2014 Jun 26.
8
A novel Pyk2-derived peptide inhibits invadopodia-mediated breast cancer metastasis.一种新型 Pyk2 衍生肽抑制侵袭伪足介导的乳腺癌转移。
Oncogene. 2023 Jan;42(4):278-292. doi: 10.1038/s41388-022-02481-w. Epub 2022 Oct 18.
9
Dynamic interactions of cortactin and membrane type 1 matrix metalloproteinase at invadopodia: defining the stages of invadopodia formation and function.侵袭伪足中皮层肌动蛋白和膜型1基质金属蛋白酶的动态相互作用:确定侵袭伪足形成和功能的阶段
Cancer Res. 2006 Mar 15;66(6):3034-43. doi: 10.1158/0008-5472.CAN-05-2177.
10
Ca2.2-NFAT2-USP43 axis promotes invadopodia formation and breast cancer metastasis through cortactin stabilization.钙离子-NFAT2-USP43 轴通过稳定 cortactin 促进侵袭伪足形成和乳腺癌转移。
Cell Death Dis. 2022 Sep 22;13(9):812. doi: 10.1038/s41419-022-05174-0.

引用本文的文献

1
Role and therapeutic potential of the NEDD4 family in breast cancer.NEDD4家族在乳腺癌中的作用及治疗潜力
Front Pharmacol. 2025 Jun 4;16:1587675. doi: 10.3389/fphar.2025.1587675. eCollection 2025.
2
Protocol for analyzing invadopodia formation and gelatin degradation.分析侵袭伪足形成和明胶降解的实验方案。
STAR Protoc. 2024 Dec 20;5(4):103399. doi: 10.1016/j.xpro.2024.103399. Epub 2024 Oct 18.
3
An update on the tumor-suppressive functions of the RasGAP protein DAB2IP with focus on therapeutic implications. RasGAP 蛋白 DAB2IP 的抑瘤功能最新研究进展及其治疗意义

本文引用的文献

1
Mechanisms and roles of podosomes and invadopodia.足体和侵袭性伪足的机制与作用
Nat Rev Mol Cell Biol. 2023 Feb;24(2):86-106. doi: 10.1038/s41580-022-00530-6. Epub 2022 Sep 14.
2
ARHGEF37 overexpression promotes extravasation and metastasis of hepatocellular carcinoma via directly activating Cdc42.ARHGEF37 过表达通过直接激活 Cdc42 促进肝细胞癌的血管外渗和转移。
J Exp Clin Cancer Res. 2022 Jul 22;41(1):230. doi: 10.1186/s13046-022-02441-y.
3
YAP1 induces invadopodia formation by transcriptionally activating TIAM1 through enhancer in breast cancer.
Cell Death Differ. 2024 Jul;31(7):844-854. doi: 10.1038/s41418-024-01332-3. Epub 2024 Jun 20.
4
DAB2IP inhibits glucose uptake by modulating HIF-1α ubiquitination under hypoxia in breast cancer.DAB2IP在乳腺癌缺氧条件下通过调节HIF-1α泛素化抑制葡萄糖摄取。
Oncogenesis. 2024 Jun 11;13(1):20. doi: 10.1038/s41389-024-00523-4.
YAP1 通过在乳腺癌中通过增强子转录激活 TIAM1 诱导侵袭伪足形成。
Oncogene. 2022 Jul;41(31):3830-3845. doi: 10.1038/s41388-022-02344-4. Epub 2022 Jun 30.
4
Clinical associations of ESR2 (estrogen receptor beta) expression across thousands of primary breast tumors.跨越数千例原发性乳腺癌的 ESR2(雌激素受体β)表达的临床关联。
Sci Rep. 2022 Mar 18;12(1):4696. doi: 10.1038/s41598-022-08210-3.
5
DAB2IP predicts treatment response and prognosis of ESCC patients and modulates its radiosensitivity through enhancing IR-induced activation of the ASK1-JNK pathway.DAB2IP可预测食管癌患者的治疗反应和预后,并通过增强IR诱导的ASK1-JNK通路激活来调节其放射敏感性。
Cancer Cell Int. 2022 Mar 5;22(1):106. doi: 10.1186/s12935-022-02535-9.
6
DAB2IP suppresses tumor malignancy by inhibiting GRP75-driven p53 ubiquitination in colon cancer.DAB2IP通过抑制结肠癌中GRP75驱动的p53泛素化来抑制肿瘤恶性程度。
Cancer Lett. 2022 Apr 28;532:215588. doi: 10.1016/j.canlet.2022.215588. Epub 2022 Feb 9.
7
The deubiquitinase USP10 restores PTEN activity and inhibits non-small cell lung cancer cell proliferation.去泛素化酶 USP10 可恢复 PTEN 的活性并抑制非小细胞肺癌细胞的增殖。
J Biol Chem. 2021 Sep;297(3):101088. doi: 10.1016/j.jbc.2021.101088. Epub 2021 Aug 18.
8
The phosphatase Shp1 interacts with and dephosphorylates cortactin to inhibit invadopodia function.磷酸酶 Shp1 与肌动蛋白结合蛋白 cortactin 相互作用并使其去磷酸化,从而抑制侵袭伪足的功能。
Cell Commun Signal. 2021 Jun 4;19(1):64. doi: 10.1186/s12964-021-00747-6.
9
Alectinib-responsive infantile anaplastic ganglioglioma with a novel VCL-ALK gene fusion.具有新型VCL-ALK基因融合的对阿来替尼敏感的婴儿间变性节细胞胶质瘤
Pediatr Blood Cancer. 2021 Sep;68(9):e29122. doi: 10.1002/pbc.29122. Epub 2021 May 21.
10
Advances in Understanding TKS4 and TKS5: Molecular Scaffolds Regulating Cellular Processes from Podosome and Invadopodium Formation to Differentiation and Tissue Homeostasis.深入了解 TKS4 和 TKS5:调节细胞过程的分子支架,从足突和侵袭小体的形成到分化和组织稳态。
Int J Mol Sci. 2020 Oct 30;21(21):8117. doi: 10.3390/ijms21218117.