Suppr超能文献

中国威尔逊病患者的新突变及肾小球基底膜变薄的肾脏疾病鉴定。

Novel mutations in in Chinese patients with Wilson's disease and identification of kidney disorder of thinning of the glomerular basement membrane.

作者信息

Xu Hongliang, Lv Hanyu, Chen Xin, Lian Yajun, Xing Guolan, Wang Yingzi, Hu Ruimin

机构信息

Department of Neurology, The First Affiliated Hospital of Zhengzhou University, Zhengzhou, Henan, China.

Department of Nephrology, The First Affiliated Hospital of Zhengzhou University, Zhengzhou, Henan, China.

出版信息

Front Neurol. 2023 Aug 23;14:1231605. doi: 10.3389/fneur.2023.1231605. eCollection 2023.

Abstract

INTRODUCTION

Wilson's disease is an autosomal recessive disorder caused by pathogenic mutations. The hallmark of this disorder mainly consists of liver involvement, neurologic dysfunction and psychiatric features. In addition, the kidneys can also be affected by excessive copper deposition.

METHODS

A total of 34 patients clinically diagnosed with WD were recruited. They underwent gene sequencing and clinical data of symptoms, examination, and treatment were collected. Moreover, renal pathology information was also investigated.

RESULTS

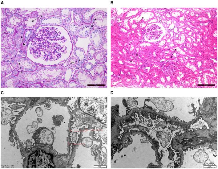
We identified 25 potentially pathogenic variants (16 missense, 5 frameshift, 3 splicing variants and 1 large deletion mutation) in these 34 WD patients, 5 of which were novel. In our cases, the most frequent variant was c.2333G>T (R778L, 39.06%, exon 8), followed by c.2621C>T (A874V, 10.94%, exon 11) and c.3316G>A (V1106I, 7.81%, exon 11). Furthermore, we described the thinning of the glomerular basement membrane as a rare pathologically damaging feature of Wilson's disease for the first time. Additionally, two patients who received liver transplant were observed with good prognosis in present study.

DISCUSSION

Our work expanded the spectrum of variants and presented rare renal pathological feature in WD patients, which may facilitate the development of early diagnosis, counseling, treatment regimens of WD.

摘要

引言

威尔逊病是一种由致病突变引起的常染色体隐性疾病。该疾病的主要特征包括肝脏受累、神经功能障碍和精神症状。此外,肾脏也会因过量的铜沉积而受到影响。

方法

共招募了34例临床诊断为威尔逊病的患者。他们接受了基因测序,并收集了症状、检查和治疗的临床数据。此外,还研究了肾脏病理信息。

结果

我们在这34例威尔逊病患者中鉴定出25个潜在的致病变异(16个错义突变、5个移码突变、3个剪接变异和1个大片段缺失突变),其中5个是新发现的。在我们的病例中,最常见的变异是c.2333G>T(R778L,39.06%,第8外显子),其次是c.2621C>T(A874V,10.94%,第11外显子)和c.3316G>A(V1106I,7.81%第11外显子)。此外,我们首次将肾小球基底膜变薄描述为威尔逊病罕见的病理损伤特征。此外,在本研究中观察到两名接受肝移植的患者预后良好。

讨论

我们的工作扩展了威尔逊病患者变异的范围,并呈现了罕见的肾脏病理特征,这可能有助于威尔逊病早期诊断、咨询和治疗方案的发展。

https://cdn.ncbi.nlm.nih.gov/pmc/blobs/aaad/10481399/c53108ef19f0/fneur-14-1231605-g0001.jpg

文献AI研究员

20分钟写一篇综述,助力文献阅读效率提升50倍。

立即体验

用中文搜PubMed

大模型驱动的PubMed中文搜索引擎

马上搜索

文档翻译

学术文献翻译模型,支持多种主流文档格式。

立即体验