Suppr超能文献

沙特儿童因下消化道出血而行结肠镜检查的疾病模式:单中心三级保健中心经验。

Disease patterns among Saudi children undergoing colonoscopy for lower gastrointestinal bleeding: Single tertiary care center experience.

机构信息

Division of Pediatric Gastroenterology, Children's Specialized Hospital, King Fahad Medical City, Riyadh, Saudi Arabia.

Department of Pediatrics, Alqunfudah General Hospital, Alqunfudah, Saudi Arabia.

出版信息

Saudi J Gastroenterol. 2023 Nov-Dec;29(6):388-395. doi: 10.4103/sjg.sjg_130_23.

Abstract

BACKGROUND

: The yield of colonoscopy in cases presenting with lower gastrointestinal bleeding (LGIB) in previously published studies varies according to several factors, including endoscopic skills, histopathological experience, and pattern of colonic pathology in different countries. The local literature is limited to a single small 20-year-old study. Our objective was to provide updated data on the diagnostic yield of colonoscopy in Saudi children with LGIB in Saudi Arabia.

METHODS

: This was a retrospective analysis of pediatric patients (0-14 years of age) who underwent colonoscopy for LGIB at the King Fahad Medical City (KFMC), from 2008 to 2018. LGIB was defined as fresh or dark blood per rectum.

RESULTS

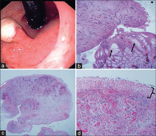
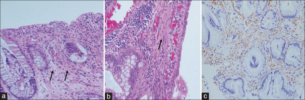
: During the study period, 175 children underwent colonoscopy for LGIB (99 males, mean age 7.05 ± 3.81 years), which constituted 53.5% of indications for colonoscopy procedures (n = 327) in our center. The terminal ileum was intubated in 81% of the procedures. Overall, inflammatory bowel disease (IBD) was the most commonly identified cause of LGIB (32% ) followed by colonic lymphonodular hyperplasia (CLNH) in 17% and juvenile polyp and rectal mucosal prolapse syndrome (RMPS), 11% each. On sub-analysis, cow's milk protein allergy (CMPA) and CLNH were the most common causes in infants and toddlers, 35% each; IBD (26.5%) and polyps (22.4%) in young children (2-6 years), and IBD (36%), CLNH (14.9%) and RMPS (14%) in older children (6-14 years). In comparing the IBD to the non-IBD group, IBD patients were older (mean 8.37 vs. 6.46 years, P = 0.002) and more likely to have diarrhea, weight loss, high erythrocyte sedimentation rate, anemia, and hypoalbuminemia (odds ratio 24, 11, 10.7, 6.5, and 4, respectively). Colonoscopy had a sensitivity of 97%, specificity of 100%, positive predictive value of 100%, negative predictive value of 81.4%, and accuracy of 97% in diagnosing LGIB.

CONCLUSION

: Colonoscopy is an effective diagnostic tool in children with LGIB with a high diagnostic yield. Besides IBD, CLNH and RMPS are two other important pathologic entities that need to be considered in a child with LGIB.

摘要

背景

在先前发表的研究中,因多种因素,包括内镜技术、组织病理学经验以及不同国家的结肠病理学模式,以结肠镜检查诊断下消化道出血(LGIB)的检出率存在差异。当地文献仅限于一项为期 20 年的小型单中心研究。本研究旨在提供沙特阿拉伯儿童 LGIB 以结肠镜检查诊断的最新数据。

方法

本研究为回顾性分析,纳入 2008 年至 2018 年在沙特法赫德国王医疗城(KFMC)因 LGIB 行结肠镜检查的儿科患者(0-14 岁)。LGIB 定义为直肠新鲜或陈旧血便。

结果

研究期间,175 例行结肠镜检查诊断 LGIB(男 99 例,平均年龄 7.05±3.81 岁),占本中心结肠镜检查适应证(n=327)的 53.5%。81%的操作完成了回肠末段插管。总体而言,炎症性肠病(IBD)是 LGIB 最常见的病因(32%),其次是结肠淋巴滤泡增生(CLNH)(17%)和青少年息肉和直肠黏膜脱垂综合征(RMPS)(11%)。亚组分析显示,婴儿和幼儿中以牛奶蛋白过敏(CMPA)和 CLNH 最常见(各占 35%);2-6 岁幼儿中以 IBD(26.5%)和息肉(22.4%)最常见;6-14 岁儿童中以 IBD(36%)、CLNH(14.9%)和 RMPS(14%)最常见。与非 IBD 组比较,IBD 患者年龄更大(平均 8.37 岁 vs. 6.46 岁,P=0.002),腹泻、体重减轻、红细胞沉降率升高、贫血和低白蛋白血症更为常见(比值比分别为 24、11、10.7、6.5 和 4)。结肠镜检查诊断 LGIB 的敏感性为 97%,特异性为 100%,阳性预测值为 100%,阴性预测值为 81.4%,准确性为 97%。

结论

结肠镜检查是诊断 LGIB 的有效方法,具有较高的检出率。除 IBD 外,CLNH 和 RMPS 也是儿童 LGIB 中需要考虑的另外两种重要病理实体。

https://cdn.ncbi.nlm.nih.gov/pmc/blobs/b034/10754380/4e9001427581/SJG-29-388-g006.jpg

文献AI研究员

20分钟写一篇综述,助力文献阅读效率提升50倍。

立即体验

用中文搜PubMed

大模型驱动的PubMed中文搜索引擎

马上搜索

文档翻译

学术文献翻译模型,支持多种主流文档格式。

立即体验