Suppr超能文献

病例报告:睾丸原发性黏液性囊腺瘤的超声误诊

Case report: Misdiagnosis of primary mucinous cystadenoma of the testicle by ultrasound.

作者信息

Zhang Linlin, Xuan Jianyuan, Li Manxi, Zhang Mei, Song Yu, Pan Ziang, Fan Bo, Lu Lin, Zhou Hongyan, Li Yang

机构信息

Department of Ultrasound, The Second Affiliated Hospital of Dalian Medical University, Dalian, China.

Department of Pathology, The Second Affiliated Hospital of Dalian Medical University, Dalian, China.

出版信息

Front Oncol. 2023 Sep 5;13:1206697. doi: 10.3389/fonc.2023.1206697. eCollection 2023.

Abstract

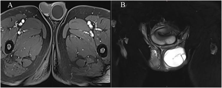
Testicular mucinous cystadenoma is a rare benign testicular tumor with the characteristics of being potentially malignant and showing atypical clinical symptoms; this article reports a case of a primary testicular mucinous cystadenoma misdiagnosed as testicular teratoma by ultrasound. A 69-year-old man was admitted to the hospital because of a 1-year history of left-sided testicular enlargement with scrotal swelling and no obvious abnormalities on laboratory tests. Ultrasound examination revealed solid-mass lesions in the left testicle, suggesting a high probability of teratoma, and contrast-enhanced magnetic resonance imaging (MRI) examination suggested an increased possibility of epidermoid cysts. Contrast-enhanced computed tomography (CT) and contrast-enhanced MRI of the preoperative abdomen and pelvis showed no other primary adenocarcinoma. Doctors performed radical resection of the left testicle. The postoperative pathological diagnosis was mucinous cystadenoma, and calcification as well as partially mildly atypical epithelial cells were discovered. Furthermore, there were no neoplastic lesions in the epididymis or spermatic cord. No metastatic lesions were found after 6 months postoperative follow-up, and the patient's prognosis remains good.

摘要

睾丸黏液性囊腺瘤是一种罕见的良性睾丸肿瘤,具有潜在恶性且临床症状不典型的特点;本文报道1例原发性睾丸黏液性囊腺瘤经超声误诊为睾丸畸胎瘤的病例。一名69岁男性因左侧睾丸肿大伴阴囊坠胀1年入院,实验室检查无明显异常。超声检查显示左侧睾丸实性肿块病变,提示畸胎瘤可能性大,增强磁共振成像(MRI)检查提示表皮样囊肿可能性增加。术前腹部及盆腔增强计算机断层扫描(CT)和增强MRI显示无其他原发性腺癌。医生对左侧睾丸进行了根治性切除。术后病理诊断为黏液性囊腺瘤,发现钙化及部分轻度非典型上皮细胞。此外,附睾及精索未见肿瘤性病变。术后6个月随访未发现转移病灶,患者预后良好。

https://cdn.ncbi.nlm.nih.gov/pmc/blobs/90b9/10508290/8ce828a3c90e/fonc-13-1206697-g001.jpg

文献AI研究员

20分钟写一篇综述,助力文献阅读效率提升50倍。

立即体验

用中文搜PubMed

大模型驱动的PubMed中文搜索引擎

马上搜索

文档翻译

学术文献翻译模型,支持多种主流文档格式。

立即体验