Suppr超能文献

鸡胚尿囊膜模型在肿瘤射频消融临床前研究中的可行性。

Feasibility of the chick chorioallantoic membrane model for preclinical studies on tumor radiofrequency ablation.

机构信息

Department of Diagnostic and Interventional Radiology, University Hospital Marburg, Philipps-University Marburg, Marburg, Germany.

Mouse Pathology and Electron Microscopy - Core Facility, Institute of Neuropathology, Philipps-University Marburg, Marburg, Germany.

出版信息

Eur Radiol Exp. 2023 Sep 25;7(1):56. doi: 10.1186/s41747-023-00368-3.

Abstract

BACKGROUND

We evaluated the feasibility of a chick chorioallantoic membrane (CAM) tumor model for preclinical research on tumor radiofrequency ablation (RFA).

METHODS

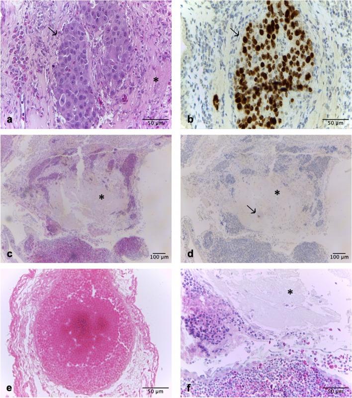
Fertilized chicken eggs were incubated and divided into five cohorts: RFA for 30 s (n = 5), RFA for 60 s (n = 5), RFA for 120 s (n = 4), sham (n = 8), and controls (n = 6). Xenografting using pancreatic neuroendocrine tumor cells of the BON-1 cell line was performed on embryonic day (ED) 8. The RFA was performed on ED 12. Survival, stereomicroscopic observations, and histological observations using hematoxylin-eosin (H&E) and Ki67 staining were evaluated.

RESULTS

The survival rates in the 30-s, 60-s, and 120-s, sham and control cohort were 60%, 60%, 0%, 100%, and 50%, respectively. Signs of bleeding and heat damage were common findings in the evaluation of stereomicroscopic observations. Histological examination could be performed in all but one embryo. Heat damage, bleeding, thrombosis, and leukocyte infiltration and hyperemia were regular findings in H&E-stained cuts. A complete absence of Ki67 staining was recorded in 33.3% and 50% of embryos in the 30-s and 60-s cohorts that survived until ED 14, respectively.

CONCLUSIONS

The CAM model is a feasible and suiting research model for tumor RFA with many advantages over other animal models. It offers the opportunity to conduct in vivo research under standardized conditions. Further studies are needed to optimize this model for tumor ablations in order to explore promising but unrefined strategies like the combination of RFA and immunotherapy.

RELEVANCE STATEMENT

The chick chorioallantoic membrane model allows in vivo research on tumor radiofrequency ablation under standardized conditions that may enable enhanced understanding on combined therapies while ensuring animal welfare in concordance with the "Three Rs."

KEY POINTS

• The chorioallantoic membrane model is feasible and suiting for tumor radiofrequency ablation. • Radiofrequency ablation regularly achieved reduction but not eradication of Ki67 staining. • Histological evaluation showed findings comparable to changes in humans after RFA. • The chorioallantoic membrane model can enable studies on combined therapies after optimization.

摘要

背景

我们评估了鸡胚绒毛尿囊膜(CAM)肿瘤模型在肿瘤射频消融(RFA)临床前研究中的可行性。

方法

受精鸡蛋孵育后分为五组:30 秒 RFA(n=5)、60 秒 RFA(n=5)、120 秒 RFA(n=4)、假手术(n=8)和对照组(n=6)。在胚胎第 8 天(ED)时进行胰腺神经内分泌肿瘤细胞 BON-1 系的异种移植。在 ED 第 12 天进行 RFA。评估生存情况、体视显微镜观察和苏木精-伊红(H&E)和 Ki67 染色的组织学观察。

结果

30 秒、60 秒和 120 秒、假手术和对照组的存活率分别为 60%、60%、0%、100%和 50%。体视显微镜观察评估中常见出血和热损伤迹象。除 1 个胚胎外,所有胚胎均能进行组织学检查。H&E 染色切片中常见热损伤、出血、血栓形成、白细胞浸润和充血。在分别存活至 ED 第 14 天的 30 秒和 60 秒组的 33.3%和 50%的胚胎中,Ki67 染色完全缺失。

结论

CAM 模型是一种可行且适合肿瘤 RFA 的研究模型,与其他动物模型相比具有许多优势。它提供了在标准化条件下进行体内研究的机会。需要进一步研究以优化该模型进行肿瘤消融,以探索有前途但未经提炼的策略,如 RFA 与免疫疗法的联合。

重要性声明

鸡胚绒毛尿囊膜模型允许在标准化条件下进行肿瘤射频消融的体内研究,这可能有助于增强对联合治疗的理解,同时符合“三 R”原则,确保动物福利。

关键点

  1. 绒毛尿囊膜模型对于肿瘤射频消融是可行且适用的。

  2. 射频消融通常能减少 Ki67 染色,但不能完全消除。

  3. 组织学评估显示的结果与人类射频消融后的变化相当。

  4. 绒毛尿囊膜模型经过优化后可用于联合治疗的研究。

https://cdn.ncbi.nlm.nih.gov/pmc/blobs/986c/10519884/842f2bca87bb/41747_2023_368_Fig1_HTML.jpg

文献AI研究员

20分钟写一篇综述,助力文献阅读效率提升50倍。

立即体验

用中文搜PubMed

大模型驱动的PubMed中文搜索引擎

马上搜索

文档翻译

学术文献翻译模型,支持多种主流文档格式。

立即体验