• 文献检索
  • 文档翻译
  • 深度研究
  • 学术资讯
  • Suppr Zotero 插件Zotero 插件
  • 邀请有礼
  • 套餐&价格
  • 历史记录
应用&插件
Suppr Zotero 插件Zotero 插件浏览器插件Mac 客户端Windows 客户端微信小程序
定价
高级版会员购买积分包购买API积分包
服务
文献检索文档翻译深度研究API 文档MCP 服务
关于我们
关于 Suppr公司介绍联系我们用户协议隐私条款
关注我们

Suppr 超能文献

核心技术专利:CN118964589B侵权必究
粤ICP备2023148730 号-1Suppr @ 2026

文献检索

告别复杂PubMed语法,用中文像聊天一样搜索,搜遍4000万医学文献。AI智能推荐,让科研检索更轻松。

立即免费搜索

文件翻译

保留排版,准确专业,支持PDF/Word/PPT等文件格式,支持 12+语言互译。

免费翻译文档

深度研究

AI帮你快速写综述,25分钟生成高质量综述,智能提取关键信息,辅助科研写作。

立即免费体验

使用优化的体内牙槽嵴裂模型评估用于骨再生的颗粒状骨替代物

Evaluation of a Granular Bone Substitute for Bone Regeneration Using an Optimized In Vivo Alveolar Cleft Model.

作者信息

Destrez Alban, Colin Emilien, Testelin Sylvie, Devauchelle Bernard, Dakpé Stéphanie, Naudot Marie

机构信息

UR 7516 CHIMERE, University of Picardie Jules Verne, Chemin du Thil, CS 52501, 80025 Amiens, France.

Maxillofacial Surgery Department, Amiens University Hospital, Rond-point du Pr Christian Cabrol, 80054 Amiens, France.

出版信息

Bioengineering (Basel). 2023 Sep 2;10(9):1035. doi: 10.3390/bioengineering10091035.

DOI:10.3390/bioengineering10091035
PMID:37760137
原文链接:https://pmc.ncbi.nlm.nih.gov/articles/PMC10525109/
Abstract

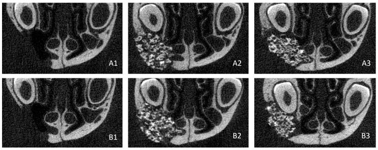
Alveolar cleft is a common congenital deformity that requires surgical intervention, notably using autologous bone grafts in young children. Bone substitutes, in combination with mesenchymal stem cells (MSCs), have shown promise in the repair of these defects. This study aimed to evaluate the regenerative capabilities of a granular bone substitute using an optimized alveolar cleft model. Thirty-six rats underwent a surgical procedure for the creation of a defect filled with a fragment of silicone. After 5 weeks, the silicone was removed and the biomaterial, with or without Wharton's jelly MSCs, was put into the defect, except for the control group. The rats underwent μCT scans immediately and after 4 and 8 weeks. Analyses showed a statistically significant improvement in bone regeneration in the two treatment groups compared with control at weeks 4 and 8, both for bone volume (94.64% ± 10.71% and 91.33% ± 13.30%, vs. 76.09% ± 7.99%) and mineral density (96.13% ± 24.19% and 93.01% ± 27.04%, vs. 51.64% ± 16.51%), but without having fully healed. This study validates our optimized alveolar cleft model in rats, but further work is needed to allow for the use of this granular bone substitute in the treatment of bone defects.

摘要

牙槽嵴裂是一种常见的先天性畸形,需要手术干预,尤其是对幼儿使用自体骨移植。骨替代物与间充质干细胞(MSCs)联合使用,在修复这些缺损方面已显示出前景。本研究旨在使用优化的牙槽嵴裂模型评估颗粒状骨替代物的再生能力。36只大鼠接受了手术,制造一个填充有硅酮碎片的缺损。5周后,取出硅酮,除对照组外,将生物材料(含或不含脐带华通氏胶间充质干细胞)放入缺损处。大鼠在即刻、4周和8周后进行μCT扫描。分析显示,在第4周和第8周时,两个治疗组的骨再生与对照组相比有统计学上的显著改善,无论是骨体积(分别为94.64%±10.71%和91.33%±13.30%,对照组为76.09%±7.99%)还是矿物质密度(分别为96.13%±24.19%和93.01%±27.04%,对照组为51.64%±16.51%),但均未完全愈合。本研究验证了我们在大鼠中优化的牙槽嵴裂模型,但需要进一步开展工作,以便将这种颗粒状骨替代物用于治疗骨缺损。

https://cdn.ncbi.nlm.nih.gov/pmc/blobs/0111/10525109/c8f332763083/bioengineering-10-01035-g007.jpg
https://cdn.ncbi.nlm.nih.gov/pmc/blobs/0111/10525109/c49fdb3809e8/bioengineering-10-01035-g0A1.jpg
https://cdn.ncbi.nlm.nih.gov/pmc/blobs/0111/10525109/e7162cda6170/bioengineering-10-01035-g0A2.jpg
https://cdn.ncbi.nlm.nih.gov/pmc/blobs/0111/10525109/3293fc773621/bioengineering-10-01035-g001.jpg
https://cdn.ncbi.nlm.nih.gov/pmc/blobs/0111/10525109/32fe5e2f37b3/bioengineering-10-01035-g002.jpg
https://cdn.ncbi.nlm.nih.gov/pmc/blobs/0111/10525109/e6d26ed13a1a/bioengineering-10-01035-g003.jpg
https://cdn.ncbi.nlm.nih.gov/pmc/blobs/0111/10525109/c2d3566125f1/bioengineering-10-01035-g004.jpg
https://cdn.ncbi.nlm.nih.gov/pmc/blobs/0111/10525109/ec7a0ec33dac/bioengineering-10-01035-g005.jpg
https://cdn.ncbi.nlm.nih.gov/pmc/blobs/0111/10525109/8c580fa6e212/bioengineering-10-01035-g006.jpg
https://cdn.ncbi.nlm.nih.gov/pmc/blobs/0111/10525109/c8f332763083/bioengineering-10-01035-g007.jpg
https://cdn.ncbi.nlm.nih.gov/pmc/blobs/0111/10525109/c49fdb3809e8/bioengineering-10-01035-g0A1.jpg
https://cdn.ncbi.nlm.nih.gov/pmc/blobs/0111/10525109/e7162cda6170/bioengineering-10-01035-g0A2.jpg
https://cdn.ncbi.nlm.nih.gov/pmc/blobs/0111/10525109/3293fc773621/bioengineering-10-01035-g001.jpg
https://cdn.ncbi.nlm.nih.gov/pmc/blobs/0111/10525109/32fe5e2f37b3/bioengineering-10-01035-g002.jpg
https://cdn.ncbi.nlm.nih.gov/pmc/blobs/0111/10525109/e6d26ed13a1a/bioengineering-10-01035-g003.jpg
https://cdn.ncbi.nlm.nih.gov/pmc/blobs/0111/10525109/c2d3566125f1/bioengineering-10-01035-g004.jpg
https://cdn.ncbi.nlm.nih.gov/pmc/blobs/0111/10525109/ec7a0ec33dac/bioengineering-10-01035-g005.jpg
https://cdn.ncbi.nlm.nih.gov/pmc/blobs/0111/10525109/8c580fa6e212/bioengineering-10-01035-g006.jpg
https://cdn.ncbi.nlm.nih.gov/pmc/blobs/0111/10525109/c8f332763083/bioengineering-10-01035-g007.jpg

相似文献

1
Evaluation of a Granular Bone Substitute for Bone Regeneration Using an Optimized In Vivo Alveolar Cleft Model.使用优化的体内牙槽嵴裂模型评估用于骨再生的颗粒状骨替代物
Bioengineering (Basel). 2023 Sep 2;10(9):1035. doi: 10.3390/bioengineering10091035.
2
Wharton's Jelly for Augmented Cleft Palate Repair in a Rat Critical-Size Alveolar Bone Defect Model.富血小板纤维蛋白在大鼠临界尺寸牙槽骨缺损模型中增强腭裂修复的作用。
Tissue Eng Part A. 2020 Jun;26(11-12):591-601. doi: 10.1089/ten.TEA.2019.0254. Epub 2019 Dec 26.
3
Construction of a Pig Alveolar Cleft Model in Imitation of Cleft Lip and Palate Congenital Deformity.构建模仿唇腭裂先天性畸形的猪牙槽裂模型。
Tissue Eng Part C Methods. 2022 Mar;28(3):127-135. doi: 10.1089/ten.TEC.2022.0019.
4
Bone regeneration using composite non-demineralized xenogenic dentin with beta-tricalcium phosphate in experimental alveolar cleft repair in a rabbit model.使用复合非脱矿异种牙本质与β-磷酸三钙在兔牙槽裂修复实验中进行骨再生。
J Transl Med. 2017 Dec 23;15(1):263. doi: 10.1186/s12967-017-1369-3.
5
Efficacy of tissue engineered bone grafts containing mesenchymal stromal cells for cleft alveolar osteoplasty in a rat model.含间充质基质细胞的组织工程骨移植物用于大鼠牙槽裂骨成形术的疗效
J Craniomaxillofac Surg. 2014 Oct;42(7):1277-85. doi: 10.1016/j.jcms.2014.03.010. Epub 2014 Apr 4.
6
Application of tissue-engineered bone grafts for alveolar cleft osteoplasty in a rodent model.组织工程化骨移植物在啮齿动物模型牙槽裂整复术中的应用。
Clin Oral Investig. 2017 Nov;21(8):2521-2534. doi: 10.1007/s00784-017-2050-1. Epub 2017 Jan 18.
7
Micro-structured calcium phosphate ceramic for donor site repair after harvesting chin bone for grafting alveolar clefts in children.用于儿童牙槽嵴裂植骨取颏骨后供区修复的微结构磷酸钙陶瓷。
J Craniomaxillofac Surg. 2014 Jul;42(5):460-8. doi: 10.1016/j.jcms.2013.05.042. Epub 2013 Jul 10.
8
Enhancement of the repair of dog alveolar cleft by an autologous iliac bone, bone marrow-derived mesenchymal stem cell, and platelet-rich fibrin mixture.自体髂骨、骨髓间充质干细胞和富血小板纤维蛋白混合物对犬牙槽嵴裂修复的增强作用。
Plast Reconstr Surg. 2015 May;135(5):1405-1412. doi: 10.1097/PRS.0000000000001166.
9
Evaluation of density, volume, height and rate of bone resorption of substitutes of autologous bone grafts for the repair of alveolar clefts in humans: A systematic review.自体骨移植替代物修复人类牙槽嵴裂的骨密度、体积、高度及骨吸收速率评估:一项系统评价
Heliyon. 2020 Sep 4;6(9):e04646. doi: 10.1016/j.heliyon.2020.e04646. eCollection 2020 Sep.
10
Secondary repair of alveolar clefts using human mesenchymal stem cells.使用人间充质干细胞对牙槽嵴裂进行二期修复。
Oral Surg Oral Med Oral Pathol Oral Radiol Endod. 2009 Aug;108(2):e1-6. doi: 10.1016/j.tripleo.2009.03.040.

引用本文的文献

1
Novel Approaches for the Treatment of Maxillofacial Defects.治疗颌面缺损的新方法。
Bioengineering (Basel). 2024 Oct 2;11(10):995. doi: 10.3390/bioengineering11100995.
2
Characterization and functional prediction of the dental plaque microbiome in patients with alveolar clefts.牙槽裂患者口腔菌斑微生物组的特征分析与功能预测。
Front Cell Infect Microbiol. 2024 May 10;14:1361206. doi: 10.3389/fcimb.2024.1361206. eCollection 2024.

本文引用的文献

1
The Rule of 10s for Cleft Repair: A Historical Review of the Literature.《裂隙修复的 10 法则:文献回顾》
J Craniofac Surg. 2023 May 1;34(3):884-887. doi: 10.1097/SCS.0000000000008994. Epub 2022 Sep 6.
2
Therapeutic Efficacy of Bromelain in Alveolar Ridge Preservation.菠萝蛋白酶在牙槽嵴保存中的治疗效果。
Antibiotics (Basel). 2022 Nov 3;11(11):1542. doi: 10.3390/antibiotics11111542.
3
Alveolar Bone Remodeling with or without Collagen Filling of the Extraction Socket: A High-Resolution X-ray Tomography Animal Study.
拔牙窝有无胶原填充情况下的牙槽骨重塑:一项高分辨率X线断层扫描动物研究
J Clin Med. 2022 Apr 29;11(9):2493. doi: 10.3390/jcm11092493.
4
Construction of a Pig Alveolar Cleft Model in Imitation of Cleft Lip and Palate Congenital Deformity.构建模仿唇腭裂先天性畸形的猪牙槽裂模型。
Tissue Eng Part C Methods. 2022 Mar;28(3):127-135. doi: 10.1089/ten.TEC.2022.0019.
5
Stem Cells and Their Derivatives-Implications for Alveolar Bone Regeneration: A Comprehensive Review.干细胞及其衍生物在牙槽骨再生中的应用:全面综述。
Int J Mol Sci. 2021 Oct 29;22(21):11746. doi: 10.3390/ijms222111746.
6
Physical characterization of biphasic bioceramic materials with different granulation sizes and their influence on bone repair and inflammation in rat calvaria.不同粒度双相生物陶瓷材料的物理特性及其对大鼠颅骨骨修复和炎症的影响。
Sci Rep. 2021 Feb 24;11(1):4484. doi: 10.1038/s41598-021-84033-y.
7
The combination of a poly-caprolactone/nano-hydroxyapatite honeycomb scaffold and mesenchymal stem cells promotes bone regeneration in rat calvarial defects.聚己内酯/纳米羟基磷灰石蜂巢支架与间充质干细胞联合促进大鼠颅骨缺损骨再生。
J Tissue Eng Regen Med. 2020 Nov;14(11):1570-1580. doi: 10.1002/term.3114. Epub 2020 Sep 15.
8
Tamoxifen exposure induces cleft palate in mice.他莫昔芬暴露导致小鼠腭裂。
Br J Oral Maxillofac Surg. 2021 Jan;59(1):52-57. doi: 10.1016/j.bjoms.2020.07.009. Epub 2020 Jul 25.
9
An Alginate-Based Hydrogel with a High Angiogenic Capacity and a High Osteogenic Potential.一种具有高血管生成能力和高成骨潜力的海藻酸盐基水凝胶。
Biores Open Access. 2020 Jun 5;9(1):174-182. doi: 10.1089/biores.2020.0010. eCollection 2020.
10
Functional Validation of a New Alginate-based Hydrogel Scaffold Combined with Mesenchymal Stem Cells in a Rat Hard Palate Cleft Model.新型藻酸盐基水凝胶支架与间充质干细胞联合应用于大鼠硬腭裂模型的功能验证
Plast Reconstr Surg Glob Open. 2020 Apr 29;8(4):e2743. doi: 10.1097/GOX.0000000000002743. eCollection 2020 Apr.