Suppr超能文献

脑假性肿瘤综合征合并巨大腹膜后囊肿 1 例报告

A Case Report of Pseudotumor Cerebri Syndrome with a Huge Retroperitoneal Cyst.

机构信息

Department of Neurology, Chonnam National University Hospital, Chonnam National University Medical School, Gwangju 61469, Republic of Korea.

National Research Center for Dementia, Gwangju 61469, Republic of Korea.

出版信息

Medicina (Kaunas). 2023 Aug 29;59(9):1573. doi: 10.3390/medicina59091573.

Abstract

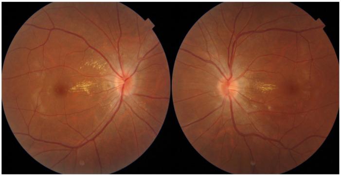
: Aside from primary pseudotumor cerebri syndrome (PTCS) with an unknown etiology (i.e., idiopathic intracranial hypertension), which typically occurs in association with obesity, several conditions including cerebral venous abnormalities, drug use, and hormonal imbalance may be a secondary cause of PTCS. However, a focal space-occupying lesion outside of the brain as a cause of PTCS has rarely been reported. : A previously healthy 34-year-old man presented with blurred vision for three weeks. The patient had a three-month preceding history of worsening headache. On admission, he was hypertensive (160/90 mmHg) and underweight with a body mass index of 18.4 kg/m. Fundus examination documented papilledema in both eyes. Neurological examination was unremarkable except for mild nuchal rigidity, and results of routine serologic testing were normal. Gadolinium-enhanced brain magnetic resonance imaging revealed bilateral posterior scleral flattening, suggesting intracranial hypertension. There was no other abnormal brain parenchymal lesion or meningeal enhancement. Cerebrospinal fluid (CSF) assay showed a markedly increased opening pressure (30.0 cmHO) with normal CSF composition. A tentative diagnosis of PTCS was made based on ophthalmological, neuroradiological, and laboratory findings. During differential diagnosis, abdomen computed tomography demonstrated a huge benign cystic lesion (14.7 × 10.6 × 16.4 cm) in the right retroperitoneal space, which originated from the mesentery and resulted in hydronephrosis and renovascular hypertension due to external compression of the right kidney. Other evaluations were unremarkable. After successful surgical removal of the cyst, clinical symptoms such as headache, blurred vision, and papilledema on fundus examination were markedly improved, and blood pressure was normalized during the three-month follow-up period. : A large retroperitoneal cyst that can increase intra-abdominal pressure could be a rare cause of PTCS. Therefore, meticulous evaluation is warranted for patients with PTCS, especially those without known risk factors.

摘要

除了病因不明的原发性假性脑瘤综合征(PTCS)(即特发性颅内高压),通常与肥胖有关外,一些包括脑静脉异常、药物使用和激素失衡等情况也可能是 PTCS 的继发原因。然而,作为 PTCS 病因的脑外局灶性占位性病变很少有报道。

一位先前健康的 34 岁男性,因三周视力模糊就诊。患者在三个月前有头痛加重病史。入院时,他患有高血压(160/90mmHg)且体重过轻,体重指数为 18.4kg/m²。眼底检查发现双眼视乳头水肿。除了轻度颈项强直外,神经系统检查无异常,常规血清学检查结果正常。钆增强脑磁共振成像显示双侧球后巩膜扁平,提示颅内压增高。没有其他异常脑实质病变或脑膜强化。脑脊液(CSF)检查显示明显升高的开放压力(30.0cmH₂O),CSF 成分正常。根据眼科、神经影像学和实验室检查结果,初步诊断为 PTCS。在鉴别诊断过程中,腹部计算机断层扫描显示右腹膜后间隙有一个巨大的良性囊性病变(14.7×10.6×16.4cm),来源于肠系膜,导致右肾受压引起肾盂积水和肾血管性高血压。其他检查无异常。囊性病变成功手术后,头痛、视力模糊和眼底视乳头水肿等临床症状明显改善,血压在三个月的随访期间恢复正常。

一个可以增加腹内压的巨大腹膜后囊肿可能是 PTCS 的罕见原因。因此,对于 PTCS 患者,尤其是那些没有已知危险因素的患者,需要进行细致的评估。

https://cdn.ncbi.nlm.nih.gov/pmc/blobs/5668/10537039/1aac85c90033/medicina-59-01573-g001.jpg

文献AI研究员

20分钟写一篇综述,助力文献阅读效率提升50倍。

立即体验

用中文搜PubMed

大模型驱动的PubMed中文搜索引擎

马上搜索

文档翻译

学术文献翻译模型,支持多种主流文档格式。

立即体验