Suppr超能文献

梅格斯综合征和 CA-125 升高:一例表现不典型、类似卵巢癌的罕见病例报告及文献复习。

Meigs Syndrome and Elevated CA-125: Case Report and Literature Review of an Unusual Presentation Mimicking Ovarian Cancer.

机构信息

Department of Woman, Child and General and Specialized Surgery, University of Campania "Luigi Vanvitelli", 80138 Naples, Italy.

Department of Neuroscience, Reproductive Sciences, and Dentistry, University of Naples Federico II, 80131 Naples, Italy.

出版信息

Medicina (Kaunas). 2023 Sep 19;59(9):1684. doi: 10.3390/medicina59091684.

Abstract

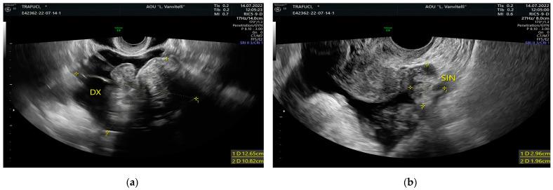
: Meigs syndrome is represented by a benign adnexal tumor, ascites, and hydrothorax. Even though the ovarian mass is often characterized by a fibroma-like origin, cancer antigen-125 (CA-125) serum levels could be elevated as in the development of ovarian cancer. Here, we present the case of a patient with Meigs syndrome and increased CA-125. : We performed systematic research for articles including similar cases in PubMed, EMBASE, and Scopus in February 2023, adopting the string of idioms: "Meigs syndrome AND Cancer antigen 125", and following the Preferred Reporting Items for Systematic Reviews and Meta-Analyses (PRISMA) statement. : Eligible records were 25. Hydrothorax was right-sided in 10 cases over 25; left-sided in two patients over 25. Concerning ascites, two patients showed more than 6 L of ascitic fluid, whereas three patients had 6 L or less. CA-125 elevation ranged from 149 IU/mL to 3803 IU/mL. Adnexal mass histotypes were: struma ovarii (12 cases), thecomas (two cases), fibrothecomas (five cases), fibromas (five cases), and one sclerosing stromal tumor (SST). : In postmenopausal women with elevated CA-125 serum levels and an adnexal mass suspicious for malignancy at ultrasound (US), ascites and pleural effusion, surgery, and histopathological examination are necessary. MS is a diagnostic option, with an excellent prognosis after exeresis of the mass.

摘要

梅格斯综合征的特征为良性附件肿瘤、腹水和胸腔积液。尽管卵巢肿块常表现为纤维瘤样起源,但癌抗原 125(CA-125)血清水平可能会升高,如同卵巢癌的发展过程一样。在此,我们报告了一例梅格斯综合征伴 CA-125 升高的患者。

我们于 2023 年 2 月在 PubMed、EMBASE 和 Scopus 中进行了包括类似病例的文章系统检索,采用了以下成语组合:“Meigs syndrome AND Cancer antigen 125”,并遵循系统评价和荟萃分析的首选报告项目(PRISMA)声明。

符合条件的记录有 25 条。25 例中,10 例胸腔积液为右侧,2 例为左侧。关于腹水,2 例患者的腹水量超过 6 L,3 例患者的腹水量为 6 L 或更少。CA-125 升高范围为 149 IU/mL 至 3803 IU/mL。附件肿块组织学类型为:卵巢甲状腺肿(12 例)、卵泡膜细胞瘤(2 例)、纤维卵泡膜细胞瘤(5 例)、纤维瘤(5 例)和 1 例硬化性间质瘤(SST)。

对于绝经后妇女,若血清 CA-125 水平升高且超声(US)检查怀疑附件肿块恶性、腹水和胸腔积液,手术和组织病理学检查是必要的。MS 是一种诊断选择,切除肿块后预后良好。

https://cdn.ncbi.nlm.nih.gov/pmc/blobs/5495/10535830/b8760460a2ce/medicina-59-01684-g001.jpg

文献AI研究员

20分钟写一篇综述,助力文献阅读效率提升50倍。

立即体验

用中文搜PubMed

大模型驱动的PubMed中文搜索引擎

马上搜索

文档翻译

学术文献翻译模型,支持多种主流文档格式。

立即体验