Suppr超能文献

一例以胸腔和心包积液为表现的非典型梅格斯综合征病例。

A Case of Atypical Meig's Syndrome Presenting With Pleural and Pericardial Effusion.

作者信息

Mir Marwa, Gnakou Bella A, Shaaban Hamid, Guron Gunwant, Jamil Zafar

机构信息

Internal Medicine, Saint Michael's Medical Center, Newark, USA.

Internal Medicine, Morristown Medical Center, Morristown, USA.

出版信息

Cureus. 2025 Jan 25;17(1):e77976. doi: 10.7759/cureus.77976. eCollection 2025 Jan.

Abstract

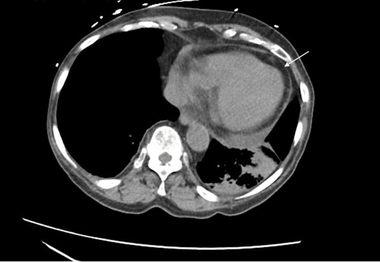
Meigs syndrome is a rare condition characterized by the triad of benign ovarian tumors, ascites, and pleural effusion. However, concurrent presentation with both pleural and pericardial effusions is exceedingly rare. This paper presents a unique case of Meigs syndrome in a 75-year-old African American female patient with a history of anemia who was admitted for a left femur fracture secondary to a fall.  In addition to her orthopedic injury, the patient exhibited intermittent abdominal fullness and discomfort, prompting a thorough diagnostic evaluation. Physical examination was unremarkable, and laboratory investigations revealed microcytic anemia with normal renal and hepatic function tests. Unexpectedly, imaging studies revealed the presence of a large lobulated enhancing mass lesion arising from the terminal ileum, with no evidence of ascites. Computed tomography (CT) imaging also revealed bilateral pleural effusions and a mild pericardial effusion. Initial diagnostic evaluations yielded no significant findings with normal CA-125 and CEA levels and no abnormalities in peripheral blood.  The pathophysiology underlying the development of pleural and pericardial effusions in Meigs syndrome remains unclear but is thought to involve lymphatic obstruction and increased vascular permeability secondary to the ovarian tumor.  In conclusion, this case underscores the importance of recognizing variant presentations of Meigs syndrome, particularly in the context of concurrent pleural and pericardial effusions, which may pose diagnostic challenges but warrant prompt identification and management to optimize patient outcomes.

摘要

梅格斯综合征是一种罕见病症,其特征为良性卵巢肿瘤、腹水和胸腔积液三联征。然而,同时出现胸腔积液和心包积液的情况极为罕见。本文介绍了一例独特的梅格斯综合征病例,患者为一名75岁非裔美国女性,有贫血病史,因跌倒导致左股骨骨折入院。除了骨科损伤外,患者还表现出间歇性腹部胀满和不适,促使进行全面的诊断评估。体格检查无异常,实验室检查显示小细胞性贫血,肾功能和肝功能检查正常。出乎意料的是,影像学研究显示回肠末端有一个大的分叶状强化肿块病变,无腹水迹象。计算机断层扫描(CT)成像还显示双侧胸腔积液和轻度心包积液。初步诊断评估未发现明显异常,CA - 125和CEA水平正常,外周血无异常。梅格斯综合征中胸腔积液和心包积液形成的病理生理机制尚不清楚,但认为与卵巢肿瘤继发的淋巴管阻塞和血管通透性增加有关。总之,该病例强调了认识梅格斯综合征变异表现的重要性,特别是在同时出现胸腔积液和心包积液的情况下,这可能带来诊断挑战,但需要及时识别和处理以优化患者预后。

https://cdn.ncbi.nlm.nih.gov/pmc/blobs/a782/11849800/e516ac762fb9/cureus-0017-00000077976-i01.jpg

文献AI研究员

20分钟写一篇综述,助力文献阅读效率提升50倍。

立即体验

用中文搜PubMed

大模型驱动的PubMed中文搜索引擎

马上搜索

文档翻译

学术文献翻译模型,支持多种主流文档格式。

立即体验