Suppr超能文献

作为抗微生物和抗生物膜剂的C-10肉豆蔻醚内酯化合物的分子对接研究 针对……

Molecular Docking Study of the C-10 Massoia Lactone Compound as an Antimicrobial and Antibiofilm Agent against .

作者信息

Hamzah Hasyrul, Nuryastuti Titik, Rahmah Widya, Chabib Lutfi, Syamsul Eka Siswanto, Lestari Dwi, Jabbar Asriullah, Tunjung Pratiwi Sylvia Utami

机构信息

Faculty of Medicine, Public Health and Nursing, Universitas Gadjah Mada, Yogyakarta 55281, Indonesia.

Faculty of Pharmacy, Universitas Muhammadiyah Kalimantan Timur, Samarinda, Kalimantan Timur 75124, Indonesia.

出版信息

ScientificWorldJournal. 2023 Sep 19;2023:6697124. doi: 10.1155/2023/6697124. eCollection 2023.

Abstract

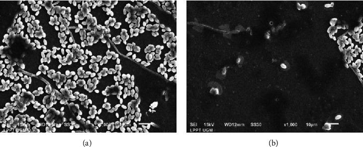
Antimicrobial resistance is now considered a global health problem because it reduces the effectiveness of antimicrobial drugs. According to the World Health Organization (WHO), the highest mortality rate is associated with infections caused by multidrug-resistant microorganisms, with approximately 700,000 deaths worldwide each year. The aim of this study was to determine the potential of C-10 massoia lactone to inhibit the growth of fungi and biofilm, and molecular docking studies were performed to determine the nature of the inhibition. The study was conducted using the microdilution method for antifungal and antibiofilm testing and designed with a molecular docking approach. Furthermore, an analysis using the scanning electron microscope (SEM) was performed to evaluate the mechanism of effect. The results obtained showed that C-10 massoia lactone can inhibit the growth of fungi by 84.21% w/v. Meanwhile, the growth of biofilm in the intermediate phase was 80.23% w/v and in the mature phase was 74.23% w/v. SEM results showed that C-10 massoia lactone damaged the EPS matrix of so that hyphal formation was hindered due to damage to fungal cells, resulting in a decrease in attachment, density, and lysis of fungal cells. Based on molecular docking tests, C-10 massoia lactone was able to inhibit biofilm formation without affecting microbial growth, while docking C-10 massoia lactone showed a significant binding and has the potential as an antifungal agent. In conclusion, the C-10 massoia lactone compound has the potential as an antibiofilm against , so it can become a new antibiofilm agent.

摘要

抗菌药物耐药性如今被视为一个全球性的健康问题,因为它会降低抗菌药物的有效性。根据世界卫生组织(WHO)的数据,最高死亡率与多重耐药微生物引起的感染相关,全球每年约有70万人死亡。本研究的目的是确定C-10肉豆蔻醚内酯抑制真菌生长和生物膜形成的潜力,并进行分子对接研究以确定抑制的性质。该研究采用微量稀释法进行抗真菌和抗生物膜测试,并采用分子对接方法进行设计。此外,还使用扫描电子显微镜(SEM)进行分析以评估作用机制。所得结果表明,C-10肉豆蔻醚内酯可抑制真菌生长,抑制率为84.21%(w/v)。同时,生物膜在中间阶段的生长抑制率为80.23%(w/v),在成熟阶段为74.23%(w/v)。SEM结果表明,C-10肉豆蔻醚内酯破坏了[此处原文可能缺失相关生物名称]的EPS基质,导致由于真菌细胞受损而阻碍了菌丝形成,从而导致真菌细胞的附着、密度和裂解减少。基于分子对接测试,C-10肉豆蔻醚内酯能够抑制生物膜形成而不影响微生物生长,同时对接C-10肉豆蔻醚内酯显示出显著的结合,具有作为抗真菌剂的潜力。总之,C-10肉豆蔻醚内酯化合物具有作为抗[此处原文可能缺失相关生物名称]生物膜剂的潜力,因此可以成为一种新型抗生物膜剂。

https://cdn.ncbi.nlm.nih.gov/pmc/blobs/0f36/10522437/fc0baf0d8323/TSWJ2023-6697124.001.jpg

文献AI研究员

20分钟写一篇综述,助力文献阅读效率提升50倍。

立即体验

用中文搜PubMed

大模型驱动的PubMed中文搜索引擎

马上搜索

文档翻译

学术文献翻译模型,支持多种主流文档格式。

立即体验