• 文献检索
  • 文档翻译
  • 深度研究
  • 学术资讯
  • Suppr Zotero 插件Zotero 插件
  • 邀请有礼
  • 套餐&价格
  • 历史记录
应用&插件
Suppr Zotero 插件Zotero 插件浏览器插件Mac 客户端Windows 客户端微信小程序
定价
高级版会员购买积分包购买API积分包
服务
文献检索文档翻译深度研究API 文档MCP 服务
关于我们
关于 Suppr公司介绍联系我们用户协议隐私条款
关注我们

Suppr 超能文献

核心技术专利:CN118964589B侵权必究
粤ICP备2023148730 号-1Suppr @ 2026

文献检索

告别复杂PubMed语法,用中文像聊天一样搜索,搜遍4000万医学文献。AI智能推荐,让科研检索更轻松。

立即免费搜索

文件翻译

保留排版,准确专业,支持PDF/Word/PPT等文件格式,支持 12+语言互译。

免费翻译文档

深度研究

AI帮你快速写综述,25分钟生成高质量综述,智能提取关键信息,辅助科研写作。

立即免费体验

人线粒体核糖核酸酶 P 的剪接动力学及其非核酸酶亚基的贡献。

Cleavage kinetics of human mitochondrial RNase P and contribution of its non-nuclease subunits.

机构信息

Center for Anatomy & Cell Biology, Medical University of Vienna, 1090 Vienna, Austria.

Institute of Pharmaceutical Chemistry, Philipps-University Marburg, 35037 Marburg, Germany.

出版信息

Nucleic Acids Res. 2023 Oct 27;51(19):10536-10550. doi: 10.1093/nar/gkad713.

DOI:10.1093/nar/gkad713
PMID:37779095
原文链接:https://pmc.ncbi.nlm.nih.gov/articles/PMC10602865/
Abstract

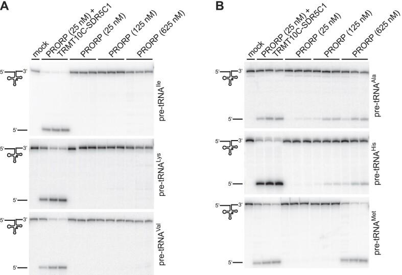
RNase P is the endonuclease responsible for the 5' processing of precursor tRNAs (pre-tRNAs). Unlike the single-subunit protein-only RNase P (PRORP) found in plants or protists, human mitochondrial RNase P is a multi-enzyme assembly that in addition to the homologous PRORP subunit comprises a methyltransferase (TRMT10C) and a dehydrogenase (SDR5C1) subunit; these proteins, but not their enzymatic activities, are required for efficient pre-tRNA cleavage. Here we report a kinetic analysis of the cleavage reaction by human PRORP and its interplay with TRMT10C-SDR5C1 including 12 different mitochondrial pre-tRNAs. Surprisingly, we found that PRORP alone binds pre-tRNAs with nanomolar affinity and can even cleave some of them at reduced efficiency without the other subunits. Thus, the ancient binding mode, involving the tRNA elbow and PRORP's PPR domain, appears basically retained by human PRORP, and its metallonuclease domain is in principle correctly folded and functional. Our findings support a model according to which the main function of TRMT10C-SDR5C1 is to direct PRORP's nuclease domain to the cleavage site, thereby increasing the rate and accuracy of cleavage. This functional dependence of human PRORP on an extra tRNA-binding protein complex likely reflects an evolutionary adaptation to the erosion of canonical structural features in mitochondrial tRNAs.

摘要

RNase P 是负责前体 tRNA(pre-tRNA)5'加工的内切核酸酶。与植物或原生生物中发现的单一亚基蛋白-only RNase P(PRORP)不同,人线粒体 RNase P 是一种多酶组装体,除了同源的 PRORP 亚基外,还包含一个甲基转移酶(TRMT10C)和一个脱氢酶(SDR5C1)亚基;这些蛋白质(但不是它们的酶活性)是有效切割 pre-tRNA 所必需的。在这里,我们报告了人 PRORP 的切割反应的动力学分析及其与 TRMT10C-SDR5C1 的相互作用,包括 12 种不同的线粒体 pre-tRNA。令人惊讶的是,我们发现 PRORP 本身以纳摩尔亲和力结合 pre-tRNA,甚至在没有其他亚基的情况下以降低的效率也能切割其中一些。因此,涉及 tRNA 弯曲和 PRORP 的 PPR 结构域的古老结合模式似乎基本上被人 PRORP 保留,其金属核酸酶结构域在原则上是正确折叠和有功能的。我们的发现支持了这样一种模型,即 TRMT10C-SDR5C1 的主要功能是将 PRORP 的核酸酶结构域引导到切割位点,从而提高切割的速度和准确性。人 PRORP 对额外的 tRNA 结合蛋白复合物的功能依赖性可能反映了对线粒体 tRNA 中典型结构特征侵蚀的进化适应。

https://cdn.ncbi.nlm.nih.gov/pmc/blobs/beb1/10602865/dc0538d9a2dd/gkad713fig8.jpg
https://cdn.ncbi.nlm.nih.gov/pmc/blobs/beb1/10602865/0769775c5fdd/gkad713figgra1.jpg
https://cdn.ncbi.nlm.nih.gov/pmc/blobs/beb1/10602865/f5009df7074f/gkad713fig1.jpg
https://cdn.ncbi.nlm.nih.gov/pmc/blobs/beb1/10602865/b2414b158130/gkad713fig2.jpg
https://cdn.ncbi.nlm.nih.gov/pmc/blobs/beb1/10602865/bd9e02cb6834/gkad713fig3.jpg
https://cdn.ncbi.nlm.nih.gov/pmc/blobs/beb1/10602865/53b037899aba/gkad713fig4.jpg
https://cdn.ncbi.nlm.nih.gov/pmc/blobs/beb1/10602865/584ce1abf7b8/gkad713fig5.jpg
https://cdn.ncbi.nlm.nih.gov/pmc/blobs/beb1/10602865/22e2924155bb/gkad713fig6.jpg
https://cdn.ncbi.nlm.nih.gov/pmc/blobs/beb1/10602865/7dce7f93bcfe/gkad713fig7.jpg
https://cdn.ncbi.nlm.nih.gov/pmc/blobs/beb1/10602865/dc0538d9a2dd/gkad713fig8.jpg
https://cdn.ncbi.nlm.nih.gov/pmc/blobs/beb1/10602865/0769775c5fdd/gkad713figgra1.jpg
https://cdn.ncbi.nlm.nih.gov/pmc/blobs/beb1/10602865/f5009df7074f/gkad713fig1.jpg
https://cdn.ncbi.nlm.nih.gov/pmc/blobs/beb1/10602865/b2414b158130/gkad713fig2.jpg
https://cdn.ncbi.nlm.nih.gov/pmc/blobs/beb1/10602865/bd9e02cb6834/gkad713fig3.jpg
https://cdn.ncbi.nlm.nih.gov/pmc/blobs/beb1/10602865/53b037899aba/gkad713fig4.jpg
https://cdn.ncbi.nlm.nih.gov/pmc/blobs/beb1/10602865/584ce1abf7b8/gkad713fig5.jpg
https://cdn.ncbi.nlm.nih.gov/pmc/blobs/beb1/10602865/22e2924155bb/gkad713fig6.jpg
https://cdn.ncbi.nlm.nih.gov/pmc/blobs/beb1/10602865/7dce7f93bcfe/gkad713fig7.jpg
https://cdn.ncbi.nlm.nih.gov/pmc/blobs/beb1/10602865/dc0538d9a2dd/gkad713fig8.jpg

相似文献

1
Cleavage kinetics of human mitochondrial RNase P and contribution of its non-nuclease subunits.人线粒体核糖核酸酶 P 的剪接动力学及其非核酸酶亚基的贡献。
Nucleic Acids Res. 2023 Oct 27;51(19):10536-10550. doi: 10.1093/nar/gkad713.
2
The protein-only RNase Ps, endonucleases that cleave pre-tRNA: Biological relevance, molecular architectures, substrate recognition and specificity, and protein interactomes.仅含蛋白质的核糖核酸酶P,即切割前体tRNA的核酸内切酶:生物学相关性、分子结构、底物识别与特异性以及蛋白质相互作用组
Wiley Interdiscip Rev RNA. 2024 Mar-Apr;15(2):e1836. doi: 10.1002/wrna.1836.
3
Molecular recognition of pre-tRNA by protein-only Ribonuclease P.仅由蛋白质组成的核糖核酸酶P对前体tRNA的分子识别
RNA. 2017 Dec;23(12):1860-1873. doi: 10.1261/rna.061457.117. Epub 2017 Sep 5.
4
Bi-allelic variants in the mitochondrial RNase P subunit PRORP cause mitochondrial tRNA processing defects and pleiotropic multisystem presentations.线粒体 RNA 酶 P 亚基 PRORP 的双等位基因变异导致线粒体 tRNA 加工缺陷和多系统表现的多效性。
Am J Hum Genet. 2021 Nov 4;108(11):2195-2204. doi: 10.1016/j.ajhg.2021.10.002. Epub 2021 Oct 28.
5
Structural insight into the human mitochondrial tRNA purine N1-methyltransferase and ribonuclease P complexes.人线粒体 tRNA 嘌呤 N1-甲基转移酶和核糖核酸酶 P 复合物的结构见解。
J Biol Chem. 2018 Aug 17;293(33):12862-12876. doi: 10.1074/jbc.RA117.001286. Epub 2018 Jun 7.
6
Interplay between substrate recognition, 5' end tRNA processing and methylation activity of human mitochondrial RNase P.人线粒体 RNA 酶 P 的底物识别、5'端 tRNA 加工和甲基化活性之间的相互作用。
RNA. 2019 Dec;25(12):1646-1660. doi: 10.1261/rna.069310.118. Epub 2019 Aug 27.
7
Structural basis of RNA processing by human mitochondrial RNase P.人线粒体核糖核酸酶 P 进行 RNA 加工的结构基础。
Nat Struct Mol Biol. 2021 Sep;28(9):713-723. doi: 10.1038/s41594-021-00637-y. Epub 2021 Sep 6.
8
Of P and Z: mitochondrial tRNA processing enzymes.关于P和Z:线粒体tRNA加工酶。
Biochim Biophys Acta. 2012 Sep-Oct;1819(9-10):1017-26. doi: 10.1016/j.bbagrm.2011.11.003. Epub 2011 Nov 23.
9
Analysis of the Cleavage Mechanism by Protein-Only RNase P Using Precursor tRNA Substrates with Modifications at the Cleavage Site.利用在切割位点具有修饰的前体tRNA底物对仅含蛋白质的核糖核酸酶P的切割机制进行分析。
J Mol Biol. 2016 Dec 4;428(24 Pt B):4917-4928. doi: 10.1016/j.jmb.2016.10.020. Epub 2016 Oct 18.
10
Biophysical analysis of protein-only RNase P alone and in complex with tRNA provides a refined model of tRNA binding.对单独的仅蛋白质核糖核酸酶P以及与转运核糖核酸(tRNA)形成复合物的该酶进行生物物理分析,得出了一个更精确的tRNA结合模型。
J Biol Chem. 2017 Aug 25;292(34):13904-13913. doi: 10.1074/jbc.M117.782078. Epub 2017 Jul 10.

引用本文的文献

1
FASTKD5 processes mitochondrial pre-mRNAs at noncanonical cleavage sites.FASTKD5在非经典切割位点处理线粒体前体mRNA。
Nucleic Acids Res. 2025 Jul 8;53(13). doi: 10.1093/nar/gkaf665.
2
Tangled but ordered human mitochondrial tRNA maturation.复杂而有序的人类线粒体tRNA成熟过程
Sci China Life Sci. 2025 Jan 14. doi: 10.1007/s11427-024-2782-1.
3
Molecular basis of human nuclear and mitochondrial tRNA 3' processing.人类细胞核和线粒体tRNA 3'加工的分子基础。

本文引用的文献

1
Organization and expression of the mammalian mitochondrial genome.哺乳动物线粒体基因组的组织与表达。
Nat Rev Genet. 2022 Oct;23(10):606-623. doi: 10.1038/s41576-022-00480-x. Epub 2022 Apr 22.
2
Bi-allelic variants in the mitochondrial RNase P subunit PRORP cause mitochondrial tRNA processing defects and pleiotropic multisystem presentations.线粒体 RNA 酶 P 亚基 PRORP 的双等位基因变异导致线粒体 tRNA 加工缺陷和多系统表现的多效性。
Am J Hum Genet. 2021 Nov 4;108(11):2195-2204. doi: 10.1016/j.ajhg.2021.10.002. Epub 2021 Oct 28.
3
Structural basis of RNA processing by human mitochondrial RNase P.
Nat Struct Mol Biol. 2025 Apr;32(4):613-624. doi: 10.1038/s41594-024-01445-w. Epub 2025 Jan 2.
4
Structural basis of 3'-tRNA maturation by the human mitochondrial RNase Z complex.人线粒体核糖核酸酶Z复合物对3'-tRNA成熟的结构基础
EMBO J. 2024 Dec;43(24):6573-6590. doi: 10.1038/s44318-024-00297-w. Epub 2024 Nov 8.
5
Post-transcriptional methylation of mitochondrial-tRNA differentially contributes to mitochondrial pathology.线粒体 tRNA 的转录后甲基化对线粒体病理学有不同的贡献。
Nat Commun. 2024 Oct 18;15(1):9008. doi: 10.1038/s41467-024-53318-x.
6
TRMT10C-mediated m7G modification of circFAM126A inhibits lung cancer growth by regulating cellular glycolysis.TRMT10C 介导的 circFAM126A 的 m7G 修饰通过调节细胞糖酵解抑制肺癌生长。
Cell Biol Toxicol. 2024 Sep 18;40(1):78. doi: 10.1007/s10565-024-09918-w.
7
Mitochondrial Genome-Encoded Long Noncoding RNA (Lnc) and Mitochondrial Ribonucleases in Diabetic Retinopathy.糖尿病视网膜病变中的线粒体基因组编码长链非编码RNA(Lnc)和线粒体核糖核酸酶
Biomedicines. 2024 Jul 23;12(8):1637. doi: 10.3390/biomedicines12081637.
8
Structural basis for human mitochondrial tRNA maturation.人类线粒体 tRNA 成熟的结构基础。
Nat Commun. 2024 Jun 1;15(1):4683. doi: 10.1038/s41467-024-49132-0.
9
The making and breaking of tRNAs by ribonucleases.tRNA 的核糖核酸酶合成与断裂。
Trends Genet. 2024 Jun;40(6):511-525. doi: 10.1016/j.tig.2024.03.007. Epub 2024 Apr 18.
10
The protein-only RNase Ps, endonucleases that cleave pre-tRNA: Biological relevance, molecular architectures, substrate recognition and specificity, and protein interactomes.仅含蛋白质的核糖核酸酶P,即切割前体tRNA的核酸内切酶:生物学相关性、分子结构、底物识别与特异性以及蛋白质相互作用组
Wiley Interdiscip Rev RNA. 2024 Mar-Apr;15(2):e1836. doi: 10.1002/wrna.1836.
人线粒体核糖核酸酶 P 进行 RNA 加工的结构基础。
Nat Struct Mol Biol. 2021 Sep;28(9):713-723. doi: 10.1038/s41594-021-00637-y. Epub 2021 Sep 6.
4
Pentatricopeptide repeats of protein-only RNase P use a distinct mode to recognize conserved bases and structural elements of pre-tRNA.蛋白核酶 P 的五肽重复使用独特的模式识别前 tRNA 的保守碱基和结构元件。
Nucleic Acids Res. 2020 Dec 2;48(21):11815-11826. doi: 10.1093/nar/gkaa627.
5
Integrative analyses of the RNA modification machinery reveal tissue- and cancer-specific signatures.RNA 修饰机制的综合分析揭示了组织和癌症特异性特征。
Genome Biol. 2020 May 7;21(1):97. doi: 10.1186/s13059-020-02009-z.
6
Concerted regulation of mitochondrial and nuclear non-coding RNAs by a dual-targeted RNase Z.双重靶向 RNA 酶 Z 对线粒体和核非编码 RNA 的协同调控
EMBO Rep. 2018 Oct;19(10). doi: 10.15252/embr.201846198. Epub 2018 Aug 20.
7
Mitochondrial transcription and translation: overview.线粒体转录和翻译:概述。
Essays Biochem. 2018 Jul 20;62(3):309-320. doi: 10.1042/EBC20170102.
8
Minimal and RNA-free RNase P in .无 RNA 和最小化的 RNase P 在... 中。
Proc Natl Acad Sci U S A. 2017 Oct 17;114(42):11121-11126. doi: 10.1073/pnas.1707862114. Epub 2017 Oct 3.
9
The MRPP1/MRPP2 complex is a tRNA-maturation platform in human mitochondria.MRPP1/MRPP2复合物是人类线粒体中的一个tRNA成熟平台。
Nucleic Acids Res. 2017 Dec 1;45(21):12469-12480. doi: 10.1093/nar/gkx902.
10
Biophysical analysis of protein-only RNase P alone and in complex with tRNA provides a refined model of tRNA binding.对单独的仅蛋白质核糖核酸酶P以及与转运核糖核酸(tRNA)形成复合物的该酶进行生物物理分析,得出了一个更精确的tRNA结合模型。
J Biol Chem. 2017 Aug 25;292(34):13904-13913. doi: 10.1074/jbc.M117.782078. Epub 2017 Jul 10.