Suppr超能文献

FTO 通过消除 TNIP1 的 m6A 甲基化来促进糖尿病引起的血管内皮功能障碍与炎症相关。

FTO fuels diabetes-induced vascular endothelial dysfunction associated with inflammation by erasing m6A methylation of TNIP1.

机构信息

Department of Ophthalmology, Shanghai General Hospital, Shanghai Jiao Tong University School of Medicine, National Clinical Research Center for Eye Diseases, Shanghai Key Laboratory of Ocular Fundus Diseases, Shanghai Engineering Center for Visual Science and Photomedicine, Shanghai Engineering Center for Precise Diagnosis and Treatment of Eye Diseases, Shanghai, China.

Shanghai Eye Diseases Prevention and Treatment Center, Shanghai Eye Hospital, Shanghai General Hospital, National Clinical Research Center for Eye Diseases, Shanghai Key Laboratory of Ocular Fundus Diseases, Shanghai, China.

出版信息

J Clin Invest. 2023 Oct 2;133(19):e160517. doi: 10.1172/JCI160517.

Abstract

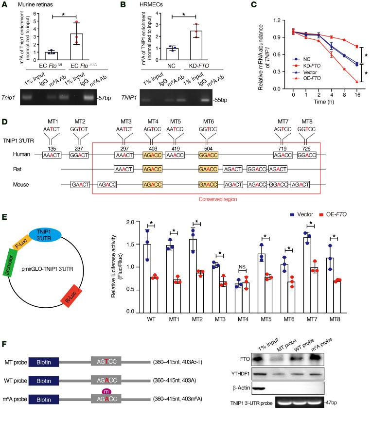
Endothelial dysfunction is a critical and initiating factor of the vascular complications of diabetes. Inflammation plays an important role in endothelial dysfunction regulated by epigenetic modifications. N6-methyladenosine (m6A) is one of the most prevalent epigenetic modifications in eukaryotic cells. In this research, we identified an m6A demethylase, fat mass and obesity-associated protein (FTO), as an essential epitranscriptomic regulator in diabetes-induced vascular endothelial dysfunction. We showed that enhanced FTO reduced the global level of m6A in hyperglycemia. FTO knockdown in endothelial cells (ECs) resulted in less inflammation and compromised ability of migration and tube formation. Compared with EC Ftofl/fl diabetic mice, EC-specific Fto-deficient (EC FtoΔ/Δ) diabetic mice displayed less retinal vascular leakage and acellular capillary formation. Furthermore, methylated RNA immunoprecipitation sequencing (MeRIP-Seq) combined with RNA-Seq indicated that Tnip1 served as a downstream target of FTO. Luciferase activity assays and RNA pull-down demonstrated that FTO repressed TNIP1 mRNA expression by erasing its m6A methylation. In addition, TNIP1 depletion activated NF-κB and other inflammatory factors, which aggravated retinal vascular leakage and acellular capillary formation, while sustained expression of Tnip1 by intravitreal injection of adeno-associated virus alleviated endothelial impairments. These findings suggest that the FTO-TNIP1-NF-κB network provides potential targets to treat diabetic vascular complications.

摘要

内皮功能障碍是糖尿病血管并发症的关键和起始因素。炎症在受表观遗传修饰调控的内皮功能障碍中发挥重要作用。N6-甲基腺苷(m6A)是真核细胞中最普遍的表观遗传修饰之一。在这项研究中,我们鉴定了一种 m6A 去甲基酶,肥胖相关蛋白(FTO),作为糖尿病诱导的血管内皮功能障碍中重要的转录后调控因子。我们发现,增强的 FTO 降低了高血糖中 m6A 的整体水平。内皮细胞(ECs)中的 FTO 敲低导致炎症减少,迁移和管状形成能力受损。与 EC Ftofl/fl 糖尿病小鼠相比,EC 特异性 Fto 缺失(EC FtoΔ/Δ)糖尿病小鼠的视网膜血管渗漏和无细胞毛细血管形成减少。此外,甲基化 RNA 免疫沉淀测序(MeRIP-Seq)结合 RNA-Seq 表明 Tnip1 是 FTO 的下游靶标。荧光素酶活性测定和 RNA 下拉实验表明,FTO 通过消除其 m6A 甲基化来抑制 TNIP1 mRNA 的表达。此外,TNIP1 的耗竭激活了 NF-κB 和其他炎症因子,加重了视网膜血管渗漏和无细胞毛细血管形成,而通过玻璃体内注射腺相关病毒持续表达 Tnip1 则减轻了内皮损伤。这些发现表明,FTO-TNIP1-NF-κB 网络为治疗糖尿病血管并发症提供了潜在的靶点。

https://cdn.ncbi.nlm.nih.gov/pmc/blobs/27d2/10541204/ab66608a4bc8/jci-133-160517-g223.jpg

文献AI研究员

20分钟写一篇综述,助力文献阅读效率提升50倍。

立即体验

用中文搜PubMed

大模型驱动的PubMed中文搜索引擎

马上搜索

文档翻译

学术文献翻译模型,支持多种主流文档格式。

立即体验