Bahadure Sweta D, Noman Obaid, Jaiswal Neha, Bandre Gulshan, Akulwar Anil
Department of Pathology, Datta Meghe Medical College, Datta Meghe Institute of Higher Education and Research (Deemed to be University), Wardha, IND.
Department of Microbiology, Jawaharlal Nehru Medical College, Datta Meghe Institute of Higher Education and Research (Deemed to be University), Wardha, IND.
Cureus. 2023 Sep 1;15(9):e44545. doi: 10.7759/cureus.44545. eCollection 2023 Sep.
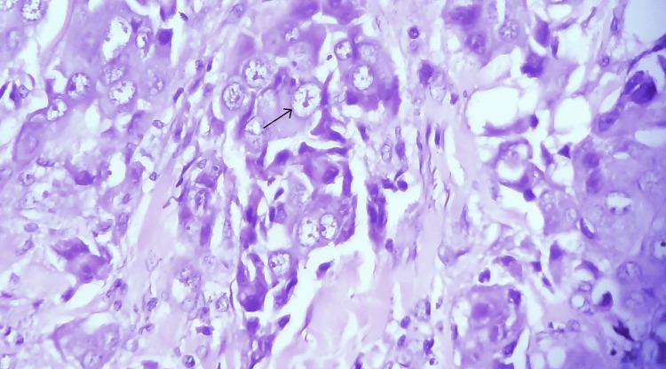
A rare inflammatory breast disorder called lymphocytic mastitis is characterized by lymphocyte infiltrates in the mammary parenchyma. Due to their rarity, incidental observations of invasive ductal carcinoma in lymphocytic mastitis present diagnostic and management challenges. We present a case of a 52-year-old female with a history of painfully swollen breasts for three months who underwent a core needle biopsy, consistent with lymphocytic mastitis on histopathology. Due to persistent and worsening symptoms, a mastectomy was performed. During the examination, an incidental finding of infiltrating ductal carcinoma was identified in the mastectomy specimen. This unexpected discovery led to further investigations and altered the patient's treatment plan. The detection of invasive ductal carcinoma in the presence of lymphocytic mastitis highlights the importance of continuous surveillance and thorough examination. In the circumstances of lymphocytic mastitis, it is vital to take the likelihood of concurrent malignancy into account, especially when symptoms persist or reappear after appropriate management. This case report seeks to raise awareness among physicians of this exceptional association and drive further research that will explain its pathophysiology while enhancing management strategies.
一种罕见的乳腺炎性疾病,称为淋巴细胞性乳腺炎,其特征是乳腺实质中有淋巴细胞浸润。由于其罕见性,淋巴细胞性乳腺炎中偶然发现的浸润性导管癌在诊断和治疗方面存在挑战。我们报告一例52岁女性,有乳房疼痛性肿胀3个月的病史,她接受了粗针活检,组织病理学结果符合淋巴细胞性乳腺炎。由于症状持续且加重,遂行乳房切除术。在检查过程中,在乳房切除标本中偶然发现浸润性导管癌。这一意外发现导致了进一步的检查,并改变了患者的治疗方案。在淋巴细胞性乳腺炎的情况下检测到浸润性导管癌,凸显了持续监测和全面检查的重要性。在淋巴细胞性乳腺炎的情况下,考虑到同时存在恶性肿瘤的可能性至关重要,尤其是在适当治疗后症状持续或再次出现时。本病例报告旨在提高医生对这种特殊关联的认识,并推动进一步的研究,以解释其病理生理学,同时加强管理策略。